Ваш браузер устарел и не обеспечивает полноценную и безопасную работу с сайтом. Пожалуйста обновите браузер чтобы улучшить взаимодействие с сайтом.
Мы обновили сайт, попробуйте новые функции в личном кабинете!

+7 (495) 798-02-48

Anti-CDK6 Antibody (R2B72) (RHF82102)

Реактивность подтвержденная: человек
Источник (хозяин): кролик
Валидировано для:
FCM
IF
IHC
WB
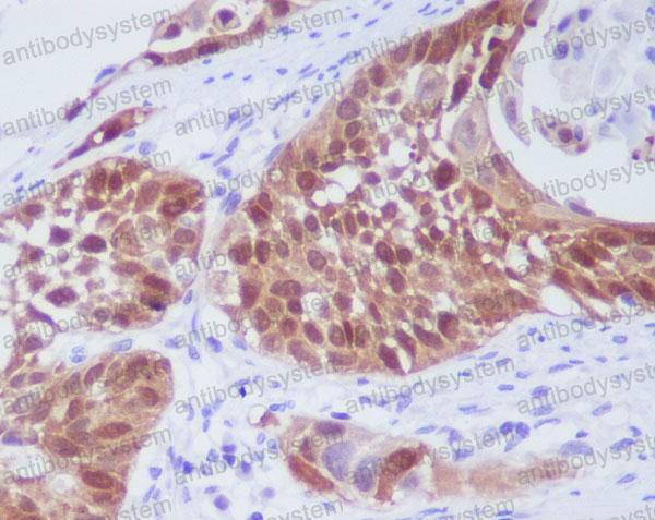
Валидация AntibodySystem RHF82102
Валидация AntibodySystem RHF82102
Immunohistochemical analysis of paraffin-embedded human lung cancer, using CDK6 Antibody.
Валидация IF - AntibodySystem RHF82102
Валидация IF - AntibodySystem RHF82102
Immunofluorescent analysis of K562 cells, using CDK6 Antibody.
Валидация AntibodySystem RHF82102 (2685)
Валидация AntibodySystem RHF82102 (2685)
Immunohistochemical analysis of paraffin-embedded human lung cancer, using CDK6 Antibody.
Валидация IF - AntibodySystem RHF82102 (1104)
Валидация IF - AntibodySystem RHF82102 (1104)
Immunofluorescent analysis of K562 cells, using CDK6 Antibody.
Валидация AntibodySystem RHF82102
Валидация IF - AntibodySystem RHF82102
Валидация AntibodySystem RHF82102 (2685)
Валидация IF - AntibodySystem RHF82102 (1104)
Ближайшая поставка
29.05.26
Характеристики
Техническое описание
Русское название RHF82102 Моноклональное антитело к CDK6 (R2B72) <AntibodySystem,Китай>
Каталожный номер RHF82102
Название антигена Cyclin Dependent Kinase 6 (CDK6)
UNIPROT Q00534
Английские синонимы PLSTIRE, Cell division protein kinase 6, Serine/threonine-protein kinase PLSTIRE
Реактивность подтвержденная
Нужна другая реактивность?
человек
Источник (хозяин) кролик
Изотип IgG
Клональность моноклональное
Клон R2B72
Рекомбинантное да
Готовое к использованию нет
Концентрация 1 мг/мл
Конъюгат нет
Валидировано для
FCM
IF
IHC
WB
Проточная цитометрия; Иммунофлуоресценция; Иммуногистохимия; Вестерн-блоттинг
Рекомендуемые разведения FCM: 1:20-1:100, IF: 1:50-1:200, IHC: 1:100-1:200, WB: 1:1000-1:5000
Метод очистки Очистка с белками A/G из супернатанта клеточной культуры
Чистота >95%
Состав буфера 0.01M PBS, pH 7.4, 0.05% БСА, 50% глицерин, 0.05% азид натрия
Условия доставки термобокс с аккумуляторами холода
Условия хранения Хранить при -20 С -12 месяцев
Срок хранения 12 месяцев
Производитель AntibodySystem
Ссылка на страницу товара на сайте производителя https://www.antibodysystem.com/product/32200.html

Назначение

моноклональное антитело от производителя AntibodySystem к Cyclin Dependent Kinase 6 (CDK6) источник — кролик предназначено для детекции целевого антигена в биологических образцах. Продукт характеризуется подтвержденной реактивностью к человек.

Преимущества

  • Высокая специфичность и аффинность
  • Концентрация: 1 мг/мл
  • Оптимизированный состав буфера: 0.01M PBS, pH 7.4, 0.05% БСА, 50% глицерин, 0.05% азид натрия
  • Стабильность: 12 месяцев

Применение в исследованиях

Антитело валидировано для методов: FCM, IF, IHC, WB. Подходит для научных исследований в области иммунологии, клеточной биологии и молекулярной диагностики.

Условия хранения

Срок годности: 12 месяцев. Хранить при -20 С -12 месяцев. Рекомендуется соблюдать температурный режим при транспортировке и хранении.
UNIPROT Q00534
Артикул
Наименование
Производитель
Артикул
Наименование
Производитель

С нами успешно сотрудничают:

Московский государственный университет им. Ломоносова
Московский государственный университет им. Ломоносова
Московский государственный университет им. Ломоносова
МФТИ
МФТИ
МФТИ
Центр вирусологии и биотехнологии „Вектор“
Центр вирусологии и биотехнологии „Вектор“
Центр вирусологии и биотехнологии „Вектор“
Институт физиологии имени Павлова
Институт физиологии имени Павлова
Институт физиологии имени Павлова
Сеченовский университет
Сеченовский университет
Сеченовский университет
Исследовательский центр им. Алмазова
Исследовательский центр им. Алмазова
Исследовательский центр им. Алмазова
BIOCAD
BIOCAD
BIOCAD
Университет Сириус
Университет Сириус
Университет Сириус
Р-Фарм
Р-Фарм
Р-Фарм
Сколтех
Сколтех
Сколтех
Курчатовский институт
Курчатовский институт
Курчатовский институт
ИБХ РАН
ИБХ РАН
ИБХ РАН
НИЦ эпидемиологии и микробиологии им. Н.Ф.Гамалеи
НИЦ эпидемиологии и микробиологии им. Н.Ф.Гамалеи
НИЦ эпидемиологии и микробиологии им. Н.Ф.Гамалеи
Томский НИМЦ
Томский НИМЦ
Томский НИМЦ
ФИЦ ВИЖ имени Л.К. Эрнста
ФИЦ ВИЖ имени Л.К. Эрнста
ФИЦ ВИЖ имени Л.К. Эрнста
Фонд "Наука - Детям"
Фонд "Наука - Детям"
Фонд "Наука - Детям"
Институт цитологии и генетики СО РАН
Институт цитологии и генетики СО РАН
Институт цитологии и генетики СО РАН
Генериум
Генериум
Генериум

Новости

0
0
0