| UNIPROT | P42771 |
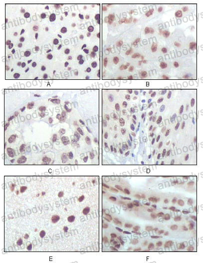
Anti-CDKN2A/p16INK4a Antibody (R3K93) (RHE37705)
Реактивность подтвержденная:
человек, мышь, крыса, кролик
Источник (хозяин):
мышь
Валидировано для:
IHC
Характеристики
Техническое описание
| Русское название | RHE37705 Моноклональное антитело к CDKN2A/p16INK4a (R3K93) <AntibodySystem,Китай> |
| Каталожный номер | RHE37705 |
| Название антигена | Cyclin Dependent Kinase Inhibitor 2A (CDKN2A) |
| UNIPROT | P42771 |
| Английские синонимы | P16, ARF, CDK4I, CMM2, INK4, INK4a, MLM, MTS1, TP16, P14, P14ARF, P16INK4a, P19, Melanoma P16, Cyclin-dependent kinase 4 inhibitor A, Multiple tumor suppressor 1 |
Реактивность подтвержденная Нужна другая реактивность? |
человек, мышь, крыса, кролик |
| Источник (хозяин) | мышь |
| Изотип | IgG1 |
| Клональность | моноклональное |
| Клон | R3K93 |
| Рекомбинантное | да |
| Готовое к использованию | нет |
| Концентрация | 1 мг/мл |
| Конъюгат | нет |
| Валидировано для | IHC Иммуногистохимия |
| Рекомендуемые разведения | IHC: 1:100-1:500 |
| Метод очистки | Очистка с белками A/G из супернатанта клеточной культуры |
| Чистота | >95% |
| Состав буфера | 0.01M PBS, pH 7.4, 0.05% натрия азид |
| Условия хранения | Хранить при 4°C не более 1-2 недель. Хранить при -20°C - 12 месяцев |
| Срок хранения | 12 месяцев |
| Производитель | AntibodySystem |
| Ссылка на страницу товара на сайте производителя | https://www.antibodysystem.com/product/35666.html |
|
Артикул
|
Наименование |
Производитель
|
|---|
|
Артикул
|
Наименование |
Производитель
|
|---|
|
Артикул
|
Наименование |
Производитель
|
|---|
|
Артикул
|
Наименование |
Производитель
|
|---|
|
Артикул
|
Наименование |
Производитель
|
|---|
|
Артикул
|
Наименование |
Производитель
|
|---|
Акции и предложения
Популярные продукты:
Polyclonal Antibody to Fatty Acid Desaturase 3 (FADS3) (PAF418Hu01)
Источник (хозяин): кролик
Реактивность подтвержденная: человек
Валидировано для: WB
Реактивность подтвержденная: человек
Валидировано для: WB
Mouse Calsyntenin 3(CLSTN3) ELISA kit (E03C1818)
Организм: мышь
Canine Cyclin H(CCNH) ELISA kit (E08C1160)
Организм: собака
Guinea Pig Cyclin I(CCNI) ELISA kit (E05C1161)
Организм: морская свинка

