| UNIPROT | Q53EZ4 |
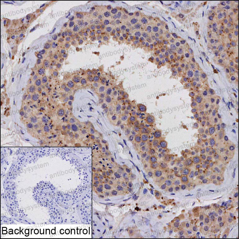
Anti-CEP55 Antibody (R3U86) (RHH87102)
Реактивность подтвержденная:
человек
Источник (хозяин):
мышь
Валидировано для:
IHC
Характеристики
Техническое описание
| Русское название | RHH87102 Моноклональное антитело к CEP55 (R3U86) <AntibodySystem,Китай> |
| Каталожный номер | RHH87102 |
| Название антигена | Centrosomal Protein 55kDa (CEP55) |
| UNIPROT | Q53EZ4 |
| Английские синонимы | CT111, URCC6, C10orf3, Cancer/Testis Antigen 111, Up-regulated in colon cancer 6 |
Реактивность подтвержденная Нужна другая реактивность? |
человек |
| Источник (хозяин) | мышь |
| Изотип | IgG1 |
| Клональность | моноклональное |
| Клон | R3U86 |
| Рекомбинантное | да |
| Готовое к использованию | нет |
| Концентрация | 1 мг/мл |
| Конъюгат | нет |
| Валидировано для | IHC Иммуногистохимия |
| Рекомендуемые разведения | IHC: 1:50-1:250 |
| Метод очистки | Очистка с белками A/G из супернатанта клеточной культуры |
| Чистота | >95% |
| Состав буфера | 0.01M PBS, pH 7.4, 0.05% натрия азид |
| Условия хранения | Хранить при 4°C не более 1-2 недель. Хранить при -20°C - 12 месяцев |
| Срок хранения | 12 месяцев |
| Производитель | AntibodySystem |
| Ссылка на страницу товара на сайте производителя | https://www.antibodysystem.com/product/36549.html |
|
Артикул
|
Наименование |
Производитель
|
|---|
|
Артикул
|
Наименование |
Производитель
|
|---|
|
Артикул
|
Наименование |
Производитель
|
|---|
|
Артикул
|
Наименование |
Производитель
|
|---|
Акции и предложения
Популярные продукты:
Anti-Interleukin 7 (IL7) Monoclonal Antibody (FAA662Hu04)
Источник (хозяин): мышь
Реактивность подтвержденная: человек
Валидировано для: FCM
Реактивность подтвержденная: человек
Валидировано для: FCM
Human cytochrome c 1 (CYC1) ELISA kit (E01C2214)
Организм: человек
Canine Alpha L fucosidase ELISA kit (E08A0760)
Организм: собака
Canine UMP CMP kinase(CMPK1) ELISA kit (E08U0036)
Организм: собака
Chicken Cartilage matrix protein ELISA kit (E12C0070)
Организм: курица

