| UNIPROT | P0DN86 |
Anti-CGB3/CGB Antibody (R3B97) (RHC71105)
Реактивность подтвержденная:
человек
Источник (хозяин):
мышь
Валидировано для:
IHC
Характеристики
Техническое описание
| Русское название | RHC71105 Моноклональное антитело к CGB3/CGB (R3B97) <AntibodySystem,Китай> |
| Каталожный номер | RHC71105 |
| Название антигена | Chorionic Gonadotropin Beta Polypeptide (CGb) |
| UNIPROT | P0DN86 |
| Английские синонимы | CG-B, CGB3, hCGB, HCG, CGb5, CGb7, CGb8, Choriogonadotropin subunit beta |
Реактивность подтвержденная Нужна другая реактивность? |
человек |
| Источник (хозяин) | мышь |
| Изотип | IgG1 |
| Клональность | моноклональное |
| Клон | R3B97 |
| Рекомбинантное | да |
| Готовое к использованию | нет |
| Концентрация | 1 мг/мл |
| Конъюгат | нет |
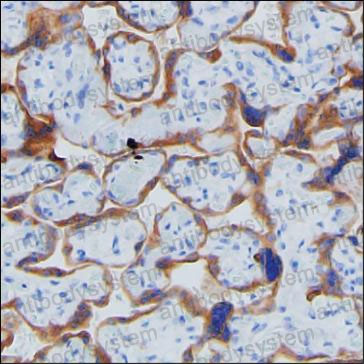
| Валидировано для | IHC Иммуногистохимия |
| Рекомендуемые разведения | IHC: 1:500 |
| Метод очистки | Очистка с белками A/G из супернатанта клеточной культуры |
| Чистота | >95% |
| Состав буфера | 0.01M PBS, pH 7.4, 0.05% натрия азид |
| Условия доставки | термобокс с аккумуляторами холода |
| Условия хранения | Хранить при 4°C не более 1-2 недель. Хранить при -20°C - 12 месяцев |
| Срок хранения | 12 месяцев |
| Производитель | AntibodySystem |
| Ссылка на страницу товара на сайте производителя | https://www.antibodysystem.com/product/34878.html |
|
Артикул
|
Наименование |
Производитель
|
|---|
Акции и предложения
Популярные продукты:
Porcine Sex Determining Region Y Box Protein 9 ELISA kit (E07S0149)
Организм: свинья
Bovine glucagon-like peptide-1 receptor ELISA kit (E11G0624)
Организм: корова
Bovine Corneodesmosin ELISA kit (E11C0406)
Организм: корова
Mouse B Cell Activation Factor ELISA kit (E03B0309)
Организм: мышь

