| UNIPROT | P10645 |
Anti-CHGA Antibody (R3C20) (RHC82705)
Реактивность подтвержденная:
человек
Источник (хозяин):
мышь
Валидировано для:
ELISA
FCM
IHC
WB
Характеристики
Техническое описание
| Русское название | RHC82705 Моноклональное антитело к CHGA (R3C20) <AntibodySystem,Китай> |
| Каталожный номер | RHC82705 |
| Название антигена | Chromogranin A (CHGA) |
| UNIPROT | P10645 |
| Английские синонимы | CGA, SP-I, Parathyroid Secretory Protein 1, Vasostatin, Pancreastatin, Parastatin, Pituitary secretory protein I |
| Русские синонимы | вазостатин |
Реактивность подтвержденная Нужна другая реактивность? |
человек |
| Источник (хозяин) | мышь |
| Изотип | IgG2b |
| Клональность | моноклональное |
| Клон | R3C20 |
| Рекомбинантное | да |
| Готовое к использованию | нет |
| Концентрация | 1 мг/мл |
| Конъюгат | нет |
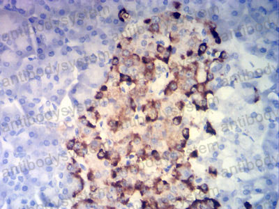
| Валидировано для | ELISA FCM IHC WB Иммуноферментный анализ; Проточная цитометрия; Иммуногистохимия; Вестерн-блоттинг |
| Рекомендуемые разведения | ELISA: 1:10000, FCM: 1:200-1:400, IHC: 1:200-1:1000, WB: 1:500-1:2000 |
| Метод очистки | Очистка с белками A/G из супернатанта клеточной культуры |
| Чистота | >95% |
| Состав буфера | 0.01M PBS, pH 7.4, 0.05% натрия азид |
| Условия доставки | термобокс с аккумуляторами холода |
| Условия хранения | Хранить при 4°C не более 1-2 недель. Хранить при -20°C - 12 месяцев |
| Срок хранения | 12 месяцев |
| Производитель | AntibodySystem |
| Ссылка на страницу товара на сайте производителя | https://www.antibodysystem.com/product/34900.html |
|
Артикул
|
Наименование |
Производитель
|
|---|
|
Артикул
|
Наименование |
Производитель
|
|---|
|
Артикул
|
Наименование |
Производитель
|
|---|
|
Артикул
|
Наименование |
Производитель
|
|---|
|
Артикул
|
Наименование |
Производитель
|
|---|
|
Артикул
|
Наименование |
Производитель
|
|---|
|
Артикул
|
Наименование |
Производитель
|
|---|
Акции и предложения
Популярные продукты:
ELISA Kit DIY Materials for Retinoic Acid Receptor Alpha (RARa) (KSA976Hu01)
Организм: человек
Диапазон определения: 0.156-10 нг/мл
Чувствительность: 0.064 нг/мл
Диапазон определения: 0.156-10 нг/мл
Чувствительность: 0.064 нг/мл
Guinea Pig Secretagogin ELISA kit (E05S0807)
Организм: морская свинка
Chicken Calcyphosin 2(CAPS2) ELISA kit (E12C1371)
Организм: курица
Bovine Calcyphosin 2(CAPS2) ELISA kit (E11C1371)
Организм: корова
Sheep Catenin delta 2(CTNND2) ELISA kit (E14C2154)
Организм: овца
Canine Catenin delta 2(CTNND2) ELISA kit (E08C2154)
Организм: собака

