| UNIPROT | Q99828 |
Anti-CIB1 Antibody (R3W13) (RHJ47201)
Реактивность подтвержденная:
человек
Источник (хозяин):
мышь
Валидировано для:
IHC
WB
Характеристики
Техническое описание
| Русское название | RHJ47201 Моноклональное антитело к CIB1 (R3W13) <AntibodySystem,Китай> |
| Каталожный номер | RHJ47201 |
| Название антигена | Calcium And Integrin Binding Protein 1 (CIB1) |
| UNIPROT | Q99828 |
| Английские синонимы | CIB, KIP, SIP2-28, CIBP, PRKDCIP, Calmyrin, DNA-PKcs-interacting protein, Kinase-interacting protein, SNK-interacting protein 2-28 |
Реактивность подтвержденная Нужна другая реактивность? |
человек |
| Источник (хозяин) | мышь |
| Изотип | IgG1 |
| Клональность | моноклональное |
| Клон | R3W13 |
| Рекомбинантное | да |
| Готовое к использованию | нет |
| Концентрация | 1 мг/мл |
| Конъюгат | нет |
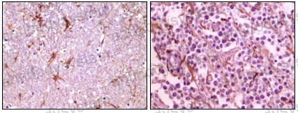
| Валидировано для | IHC WB Иммуногистохимия; Вестерн-блоттинг |
| Рекомендуемые разведения | IHC: 1:200-1:1000, WB: 1:500-1:2000 |
| Метод очистки | Очистка с белками A/G из супернатанта клеточной культуры |
| Чистота | >95% |
| Состав буфера | 0.01M PBS, pH 7.4, 0.05% натрия азид |
| Условия хранения | Хранить при 4°C не более 1-2 недель. Хранить при -20°C - 12 месяцев |
| Срок хранения | 12 месяцев |
| Производитель | AntibodySystem |
| Ссылка на страницу товара на сайте производителя | https://www.antibodysystem.com/product/36674.html |
|
Артикул
|
Наименование |
Производитель
|
|---|
|
Артикул
|
Наименование |
Производитель
|
|---|
Акции и предложения
Популярные продукты:
Monoclonal Antibody to Cathepsin B (CTSB) (MAC964Hu27)
Источник (хозяин): мышь
Реактивность подтвержденная: человек
Валидировано для: WB
Реактивность подтвержденная: человек
Валидировано для: WB
Sheep Anamorsin(CIAPIN1) ELISA kit (E14A1813)
Организм: овца
Canine Anamorsin(CIAPIN1) ELISA kit (E08A1813)
Организм: собака
Chicken Androgen Receptor ELISA kit (E12A0636)
Организм: курица

