| UNIPROT | Q14011 |
Anti-CIRBP Antibody (R3T04) (RHG69002)
Реактивность подтвержденная:
человек
Источник (хозяин):
мышь
Валидировано для:
ELISA
IHC
WB
Характеристики
Техническое описание
| Русское название | RHG69002 Моноклональное антитело к CIRBP (R3T04) <AntibodySystem,Китай> |
| Каталожный номер | RHG69002 |
| Название антигена | Cold Inducible RNA Binding Protein (CIRBP) |
| UNIPROT | Q14011 |
| Английские синонимы | CIRP, A18HNRNP, Glycine-Rich RNA Binding Protein |
Реактивность подтвержденная Нужна другая реактивность? |
человек |
| Источник (хозяин) | мышь |
| Изотип | IgG1 |
| Клональность | моноклональное |
| Клон | R3T04 |
| Рекомбинантное | да |
| Готовое к использованию | нет |
| Концентрация | 1 мг/мл |
| Конъюгат | нет |
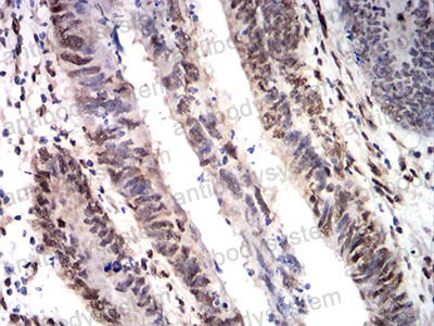
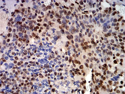
| Валидировано для | ELISA IHC WB Иммуноферментный анализ; Иммуногистохимия; Вестерн-блоттинг |
| Рекомендуемые разведения | ELISA: 1:10000, IHC: 1:200-1:1000, WB: 1:500-1:2000 |
| Метод очистки | Очистка с белками A/G из супернатанта клеточной культуры |
| Чистота | >95% |
| Состав буфера | 0.01M PBS, pH 7.4, 0.05% натрия азид |
| Условия хранения | Хранить при 4°C не более 1-2 недель. Хранить при -20°C - 12 месяцев |
| Срок хранения | 12 месяцев |
| Производитель | AntibodySystem |
| Ссылка на страницу товара на сайте производителя | https://www.antibodysystem.com/product/36368.html |
|
Артикул
|
Наименование |
Производитель
|
|---|
|
Артикул
|
Наименование |
Производитель
|
|---|
Акции и предложения
Популярные продукты:
Recombinant Mouse CIRBP Protein, N-His-SUMO (YMG69001)
Источник (хозяин): E.coli
Организм: мышь
Фрагмент: Ala2-Glu172
Теги: N-His-SUMO
Биоактивность: нет
Организм: мышь
Фрагмент: Ala2-Glu172
Теги: N-His-SUMO
Биоактивность: нет
Recombinant Human MCL1 Protein, N-His (YHG13401)
Источник (хозяин): E.coli
Организм: человек
Фрагмент: Arg6-Ile328
Теги: N-His
Биоактивность: нет
Организм: человек
Фрагмент: Arg6-Ile328
Теги: N-His
Биоактивность: нет
Anti-FBLN5 Antibody (R3X32) (RHJ74001)
Источник (хозяин): мышь
Реактивность подтвержденная: человек
Валидировано для: IHC
Реактивность подтвержденная: человек
Валидировано для: IHC
Anti-GRIK4 Antibody (R3U22) (RHH24202)
Источник (хозяин): мышь
Реактивность подтвержденная: человек
Валидировано для: ELISA, FCM, IF, IHC
Реактивность подтвержденная: человек
Валидировано для: ELISA, FCM, IF, IHC
Anti-CIRBP Antibody (R3T04) (RHG69002)
Источник (хозяин): мышь
Реактивность подтвержденная: человек
Валидировано для: ELISA, IHC, WB
Реактивность подтвержденная: человек
Валидировано для: ELISA, IHC, WB
Anti-MCL1 Antibody (R2D13) (RHG13401)
Источник (хозяин): кролик
Реактивность подтвержденная: человек, крыса
Валидировано для: IF, IP, WB
Реактивность подтвержденная: человек, крыса
Валидировано для: IF, IP, WB

