| UNIPROT | P46108 |
Anti-CRK Antibody (R3L52) (RHE47602)
Реактивность подтвержденная:
человек
Источник (хозяин):
мышь
Валидировано для:
ELISA
FCM
IF
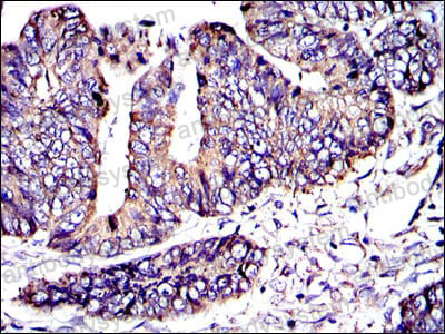
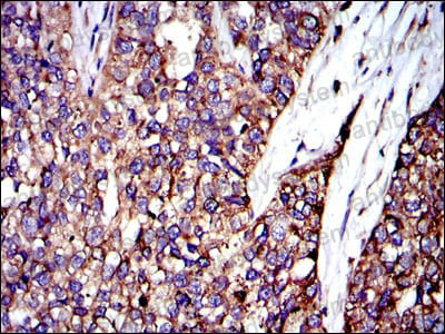
IHC
Характеристики
Техническое описание
| Русское название | RHE47602 Моноклональное антитело к CRK (R3L52) <AntibodySystem,Китай> |
| Каталожный номер | RHE47602 |
| Название антигена | V-Crk Sarcoma Virus CT10 Oncogene Homolog (CRK) |
| UNIPROT | P46108 |
| Английские синонимы | CRKII, p38, Proto-oncogene c-Crk |
Реактивность подтвержденная Нужна другая реактивность? |
человек |
| Источник (хозяин) | мышь |
| Изотип | IgG2b |
| Клональность | моноклональное |
| Клон | R3L52 |
| Рекомбинантное | да |
| Готовое к использованию | нет |
| Концентрация | 1 мг/мл |
| Конъюгат | нет |
| Валидировано для | ELISA FCM IF IHC Иммуноферментный анализ; Проточная цитометрия; Иммунофлуоресценция; Иммуногистохимия |
| Рекомендуемые разведения | ELISA: 1:10000, FCM: 1:200-1:400, IF: 1:200-1:1000, IHC: 1:200-1:1000 |
| Метод очистки | Очистка с белками A/G из супернатанта клеточной культуры |
| Чистота | >95% |
| Состав буфера | 0.01M PBS, pH 7.4, 0.05% натрия азид |
| Условия хранения | Хранить при 4°C не более 1-2 недель. Хранить при -20°C - 12 месяцев |
| Срок хранения | 12 месяцев |
| Производитель | AntibodySystem |
| Ссылка на страницу товара на сайте производителя | https://www.antibodysystem.com/product/35724.html |
|
Артикул
|
Наименование |
Производитель
|
|---|
|
Артикул
|
Наименование |
Производитель
|
|---|
|
Артикул
|
Наименование |
Производитель
|
|---|
Акции и предложения
Популярные продукты:
Guinea Pig Omentin ELISA kit (E05O0010)
Организм: морская свинка
Guinea Pig Protein ADP ribosylarginine] hydrolase(ADPRH) ELISA kit (E05P0222)
Организм: морская свинка
Porcine Adenosine receptor A2a(ADORA2A) ELISA kit (E07A1280)
Организм: свинья
Human Cystine/glutamate transporter(SLC7A11) ELISA kit (E01C2441)
Организм: человек
Диапазон определения: 50-1000 пг/мл
Чувствительность: 1 пг/мл
Диапазон определения: 50-1000 пг/мл
Чувствительность: 1 пг/мл

