| UNIPROT | P19784 |
Anti-CSNK2A2 Antibody (R3F43) (RHD35301)
Реактивность подтвержденная:
человек, мышь, крыса, кролик, обезьяна
Источник (хозяин):
мышь
Валидировано для:
ELISA
FCM
IHC
WB
Характеристики
Техническое описание
| Русское название | RHD35301 Моноклональное антитело к CSNK2A2 (R3F43) <AntibodySystem,Китай> |
| Каталожный номер | RHD35301 |
| Название антигена | Casein Kinase 2 Alpha 2 (CSNK2a2) |
| UNIPROT | P19784 |
| Английские синонимы | CSNK2A1, CK2A2, Casein kinase II subunit alpha""" |
Реактивность подтвержденная Нужна другая реактивность? |
человек, мышь, крыса, кролик, обезьяна |
| Источник (хозяин) | мышь |
| Изотип | IgG1 |
| Клональность | моноклональное |
| Клон | R3F43 |
| Рекомбинантное | да |
| Готовое к использованию | нет |
| Концентрация | 1 мг/мл |
| Конъюгат | нет |
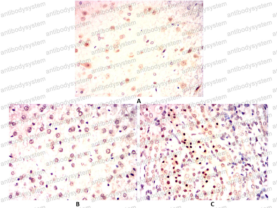
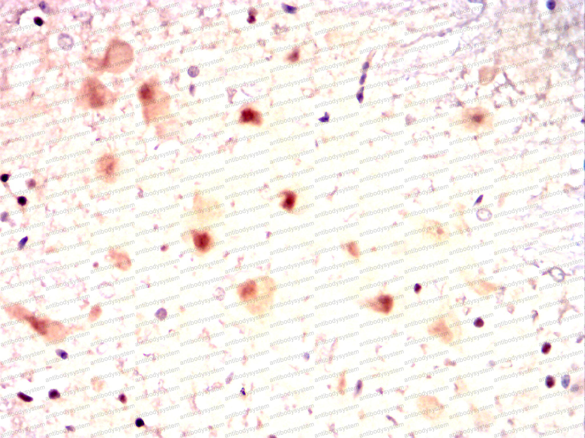
| Валидировано для | ELISA FCM IHC WB Иммуноферментный анализ; Проточная цитометрия; Иммуногистохимия; Вестерн-блоттинг |
| Рекомендуемые разведения | ELISA: 1:10000, FCM: 1:200-1:400, IHC: 1:100-1:500, WB: 1:500-1:2000 |
| Метод очистки | Очистка с белками A/G из супернатанта клеточной культуры |
| Чистота | >95% |
| Состав буфера | 0.01M PBS, pH 7.4, 0.05% натрия азид |
| Условия доставки | термобокс с аккумуляторами холода |
| Условия хранения | Хранить при 4°C не более 1-2 недель. Хранить при -20°C - 12 месяцев |
| Срок хранения | 12 месяцев |
| Производитель | AntibodySystem |
| Ссылка на страницу товара на сайте производителя | https://www.antibodysystem.com/product/35220.html |
|
Артикул
|
Наименование |
Производитель
|
|---|
Акции и предложения
Популярные продукты:
Nitric Oxide (NO) Colorimetric Assay Kit (E-BC-K035-S)
Организм: для всех
Диапазон определения: 0.97-700 мкмоль/л
Чувствительность: 0.97 мкмоль/л
Диапазон определения: 0.97-700 мкмоль/л
Чувствительность: 0.97 мкмоль/л
Anti-Vitamin D Binding Protein (DBP) Monoclonal Antibody (FAB810Ra08)
Источник (хозяин): мышь
Реактивность подтвержденная: крыса
Валидировано для: FCM
Реактивность подтвержденная: крыса
Валидировано для: FCM
ELISA Kit DIY Materials for TEA Domain Family, Member 1 (TEAD1) (KSM351Hu01)
Организм: человек
Диапазон определения: 0.156-10 нг/мл
Чувствительность: 0.054 нг/мл
Диапазон определения: 0.156-10 нг/мл
Чувствительность: 0.054 нг/мл
ELISA Kit DIY Materials for Gamma-cystathionase (CTH) (KSB538Ra01)
Организм: крыса
Диапазон определения: 0.312-20 нг/мл
Чувствительность: 0.117 нг/мл
Диапазон определения: 0.312-20 нг/мл
Чувствительность: 0.117 нг/мл
ELISA Kit for Collapsin Response Mediator Protein 5 (CRMP5) (SEE668Hu)
Организм: человек
Диапазон определения: 0.156-10 нг/мл
Чувствительность: 6.2 пг/мл
Диапазон определения: 0.156-10 нг/мл
Чувствительность: 6.2 пг/мл
Porcine Visual system homeobox 1(VSX1) ELISA kit (E07V0077)
Организм: свинья

