| UNIPROT | P07339 |
Anti-CTSD/Cathepsin D Antibody (R3A20) (RHC25303)
Реактивность подтвержденная:
человек
Источник (хозяин):
мышь
Валидировано для:
ELISA
IHC
Характеристики
Техническое описание
| Русское название | RHC25303 Моноклональное антитело к CTSD/катепсину D (R3A20) <AntibodySystem,Китай> |
| Каталожный номер | RHC25303 |
| Название антигена | Cathepsin D (CTSD) |
| UNIPROT | P07339 |
| Английские синонимы | CPSD, CLN10, Lysosomal Aspartyl Protease, Ceroid-Lipofuscinosis,Neuronal 10 |
Реактивность подтвержденная Нужна другая реактивность? |
человек |
| Источник (хозяин) | мышь |
| Изотип | IgG1 |
| Клональность | моноклональное |
| Клон | R3A20 |
| Рекомбинантное | да |
| Готовое к использованию | нет |
| Концентрация | 1 мг/мл |
| Конъюгат | нет |
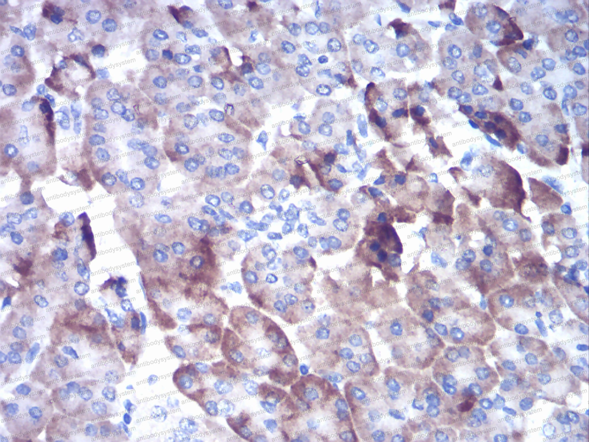
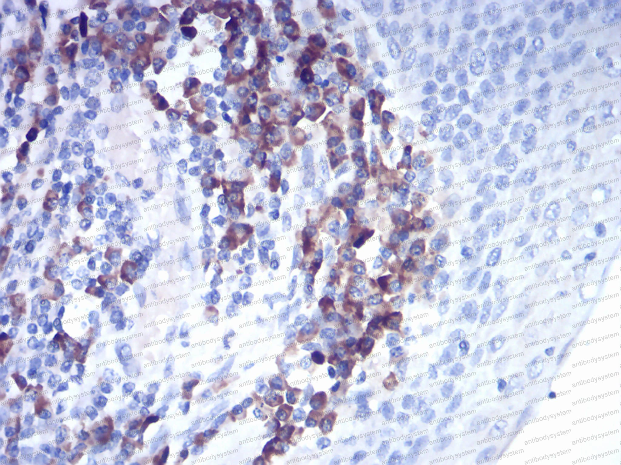
| Валидировано для | ELISA IHC Иммуноферментный анализ; Иммуногистохимия |
| Рекомендуемые разведения | ELISA: 1:10000, IHC: 1:200-1:1000 |
| Метод очистки | Очистка с белками A/G из супернатанта клеточной культуры |
| Чистота | >95% |
| Состав буфера | 0.01M PBS, pH 7.4, 0.05% натрия азид |
| Условия доставки | термобокс с аккумуляторами холода |
| Условия хранения | Хранить при 4°C не более 1-2 недель. Хранить при -20°C - 12 месяцев |
| Срок хранения | 12 месяцев |
| Производитель | AntibodySystem |
| Ссылка на страницу товара на сайте производителя | https://www.antibodysystem.com/product/34702.html |
|
Артикул
|
Наименование |
Производитель
|
|---|
|
Артикул
|
Наименование |
Производитель
|
|---|
|
Артикул
|
Наименование |
Производитель
|
|---|
|
Артикул
|
Наименование |
Производитель
|
|---|
|
Артикул
|
Наименование |
Производитель
|
|---|
|
Артикул
|
Наименование |
Производитель
|
|---|
Акции и предложения
Популярные продукты:
Anti-MARV/EBOV Glycoprotein/GP1 Antibody (MR-72) (VVV24301)
Источник (хозяин): человек
Реактивность подтвержденная: вирусы
Валидировано для: ELISA, NEUT
Реактивность подтвержденная: вирусы
Валидировано для: ELISA, NEUT
ELISA Kit DIY Materials for Cathepsin B (CTSB) (KSC964Ra01)
Организм: крыса
Диапазон определения: 0.156-10 нг/мл
Чувствительность: 0.055 нг/мл
Диапазон определения: 0.156-10 нг/мл
Чувствительность: 0.055 нг/мл
ELISA Kit DIY Materials for Angiotensin I Converting Enzyme 2 (ACE2) (KSB886Hu01)
Организм: человек
Диапазон определения: 15.6-1000 пг/мл
Чувствительность: 5.5 пг/мл
Диапазон определения: 15.6-1000 пг/мл
Чувствительность: 5.5 пг/мл
Guinea Pig Patatin Like Phospholipase Domain Containing Protein 3 ELISA kit (E05P0939)
Организм: морская свинка
Goat Glycine N methyltransferase(GNMT) ELISA kit (E06G0435)
Организм: коза

