| UNIPROT | Q14247 |
Anti-CTTN Antibody (R3T17) (RHG76802)
Реактивность подтвержденная:
человек, мышь
Источник (хозяин):
мышь
Валидировано для:
ELISA
IHC
WB
Характеристики
Техническое описание
| Русское название | RHG76802 Моноклональное антитело к CTTN (R3T17) <AntibodySystem,Китай> |
| Каталожный номер | RHG76802 |
| Название антигена | Cortactin (CTTN) |
| UNIPROT | Q14247 |
| Английские синонимы | EMS1, Cortical Actin binding Protein, Src substrate cortactin, Amplaxin, Oncogene EMS1 |
Реактивность подтвержденная Нужна другая реактивность? |
человек, мышь |
| Источник (хозяин) | мышь |
| Изотип | IgG1 |
| Клональность | моноклональное |
| Клон | R3T17 |
| Рекомбинантное | да |
| Готовое к использованию | нет |
| Концентрация | 1 мг/мл |
| Конъюгат | нет |
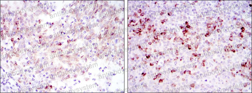
| Валидировано для | ELISA IHC WB Иммуноферментный анализ; Иммуногистохимия; Вестерн-блоттинг |
| Рекомендуемые разведения | ELISA: 1:10000, IHC: 1:200-1:1000, WB: 1:500-1:2000 |
| Метод очистки | Очистка с белками A/G из супернатанта клеточной культуры |
| Чистота | >95% |
| Состав буфера | 0.01M PBS, pH 7.4, 0.05% натрия азид |
| Условия хранения | Хранить при 4°C не более 1-2 недель. Хранить при -20°C - 12 месяцев |
| Срок хранения | 12 месяцев |
| Производитель | AntibodySystem |
| Ссылка на страницу товара на сайте производителя | https://www.antibodysystem.com/product/36381.html |
|
Артикул
|
Наименование |
Производитель
|
|---|
|
Артикул
|
Наименование |
Производитель
|
|---|
|
Артикул
|
Наименование |
Производитель
|
|---|
|
Артикул
|
Наименование |
Производитель
|
|---|
Акции и предложения
Популярные продукты:
Rabbit Antigen peptide transporter 2(TAP2) ELISA kit (E04A2005)
Организм: кролик
Sheep CytokeRatin Fragment Antigen 21.1 ELISA kit (E14C0010)
Организм: овца
Monkey Aldolase ELISA kit (E09A0212)
Организм: обезьяна
Guinea Pig Dihydrotestosterone ELISA kit (E05D0001)
Организм: морская свинка
Anti-TOMM70 Polyclonal Antibody (PHB45101)
Источник (хозяин): кролик
Реактивность подтвержденная: человек, мышь, крыса
Валидировано для: ELISA, IHC, WB
Реактивность подтвержденная: человек, мышь, крыса
Валидировано для: ELISA, IHC, WB
Anti-CTTN Antibody (R3T17) (RHG76802)
Источник (хозяин): мышь
Реактивность подтвержденная: человек, мышь
Валидировано для: ELISA, IHC, WB
Реактивность подтвержденная: человек, мышь
Валидировано для: ELISA, IHC, WB

