| UNIPROT | P25106 |
Anti-CXCR7/ACKR3 Antibody (R3G71) (RHD66203)
Реактивность подтвержденная:
человек
Источник (хозяин):
мышь
Валидировано для:
ELISA
FCM
IF
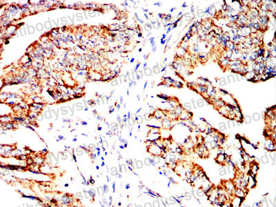
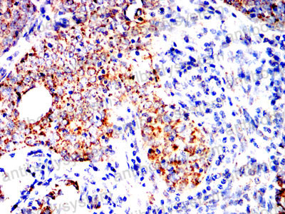
IHC
Характеристики
Техническое описание
| Русское название | RHD66203 Моноклональное антитело к CXCR7/ACKR3 (R3G71) <AntibodySystem,Китай> |
| Каталожный номер | RHD66203 |
| Название антигена | Chemokine C-X-C-Motif Receptor 7 (CXCR7) |
| UNIPROT | P25106 |
| Английские синонимы | ACKR3, RDC1, CMKOR1, GPR159, Chemokine Orphan Receptor 1, Atypical chemokine receptor 3, G-protein coupled receptor 159, G-protein coupled receptor RDC1 homolog |
Реактивность подтвержденная Нужна другая реактивность? |
человек |
| Источник (хозяин) | мышь |
| Изотип | IgG1 |
| Клональность | моноклональное |
| Клон | R3G71 |
| Рекомбинантное | да |
| Готовое к использованию | нет |
| Концентрация | 1 мг/мл |
| Конъюгат | нет |
| Валидировано для | ELISA FCM IF IHC Иммуноферментный анализ; Проточная цитометрия; Иммунофлуоресценция; Иммуногистохимия |
| Рекомендуемые разведения | ELISA: 1:10000, FCM: 1:200-1:400, IF: 1:50-1:200, IHC: 1:200-1:1000 |
| Метод очистки | Очистка с белками A/G из супернатанта клеточной культуры |
| Чистота | >95% |
| Состав буфера | 0.01M PBS, pH 7.4, 0.05% натрия азид |
| Условия хранения | Хранить при 4°C не более 1-2 недель. Хранить при -20°C - 12 месяцев |
| Срок хранения | 12 месяцев |
| Производитель | AntibodySystem |
| Ссылка на страницу товара на сайте производителя | https://www.antibodysystem.com/product/35347.html |
|
Артикул
|
Наименование |
Производитель
|
|---|
|
Артикул
|
Наименование |
Производитель
|
|---|
|
Артикул
|
Наименование |
Производитель
|
|---|
Акции и предложения
Популярные продукты:
Rabbit Vasohibin 1 ELISA kit (E04V0412)
Организм: кролик
Monkey Pre Albumin ELISA kit (E09P0054)
Организм: обезьяна
Mouse Pre Albumin ELISA kit (E03P0054)
Организм: мышь
Human Soluble tumor necrosis factor-related apoptosis inducing ligand ELISA kit (E01S0295)
Организм: человек
Диапазон определения: 100-2500 пг/мл
Чувствительность: 1 пг/мл
Диапазон определения: 100-2500 пг/мл
Чувствительность: 1 пг/мл
Recombinant Human FLRT1 Protein (His Tag) (PKSH031134)
Источник (хозяин): HEK293
Организм: человек
Фрагмент: Met 1-Pro 524
Теги: C-His
Биоактивность: да
Организм: человек
Фрагмент: Met 1-Pro 524
Теги: C-His
Биоактивность: да

