| UNIPROT | P99999 |
Anti-CYCS Antibody (R3Q09) (RHF80803)
Реактивность подтвержденная:
человек, мышь
Источник (хозяин):
мышь
Валидировано для:
ELISA
FCM
IHC
WB
Характеристики
Техническое описание
| Русское название | RHF80803 Моноклональное антитело к CYCS (R3Q09) <AntibodySystem,Китай> |
| Каталожный номер | RHF80803 |
| Название антигена | Cytochrome C, Somatic (CYCS) |
| UNIPROT | P99999 |
| Английские синонимы | Cyt-C, HCS, CYC, CytC |
Реактивность подтвержденная Нужна другая реактивность? |
человек, мышь |
| Источник (хозяин) | мышь |
| Изотип | IgG1 |
| Клональность | моноклональное |
| Клон | R3Q09 |
| Рекомбинантное | да |
| Готовое к использованию | нет |
| Концентрация | 1 мг/мл |
| Конъюгат | нет |
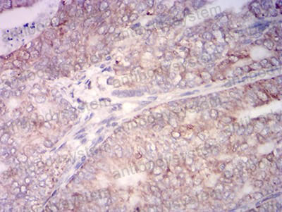
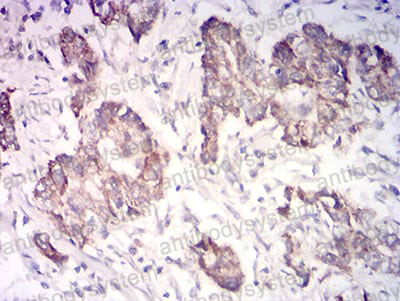
| Валидировано для | ELISA FCM IHC WB Иммуноферментный анализ; Проточная цитометрия; Иммуногистохимия; Вестерн-блоттинг |
| Рекомендуемые разведения | ELISA: 1:10000, FCM: 1:200-1:400, IHC: 1:200-1:1000, WB: 1:500-1:2000 |
| Метод очистки | Очистка с белками A/G из супернатанта клеточной культуры |
| Чистота | >95% |
| Состав буфера | 0.01M PBS, pH 7.4, 0.05% натрия азид |
| Условия хранения | Хранить при 4°C не более 1-2 недель. Хранить при -20°C - 12 месяцев |
| Срок хранения | 12 месяцев |
| Производитель | AntibodySystem |
| Ссылка на страницу товара на сайте производителя | https://www.antibodysystem.com/product/36077.html |
|
Артикул
|
Наименование |
Производитель
|
|---|
|
Артикул
|
Наименование |
Производитель
|
|---|
|
Артикул
|
Наименование |
Производитель
|
|---|
|
Артикул
|
Наименование |
Производитель
|
|---|
|
Артикул
|
Наименование |
Производитель
|
|---|
|
Артикул
|
Наименование |
Производитель
|
|---|
|
Артикул
|
Наименование |
Производитель
|
|---|
|
Артикул
|
Наименование |
Производитель
|
|---|
|
Артикул
|
Наименование |
Производитель
|
|---|
Акции и предложения
Популярные продукты:
Multiplex Assay Kit for Mixed Lineage Kinase Domain Like Protein (MLKL) (LMR645Hu)
Организм: человек
Диапазон определения: 0.02-20 нг/мл
Чувствительность: 0.007 нг/мл
Диапазон определения: 0.02-20 нг/мл
Чувствительность: 0.007 нг/мл
ELISA Kit DIY Materials for Interleukin 23 Subunit Alpha (IL23a) (KSA384Ra01)
Организм: крыса
Диапазон определения: 15.6-1000 пг/мл
Чувствительность: 5.6 пг/мл
Диапазон определения: 15.6-1000 пг/мл
Чувствительность: 5.6 пг/мл
Monoclonal Antibody to Vascular Cell Adhesion Molecule 1 (VCAM1) (MAA547Rb23)
Источник (хозяин): мышь
Реактивность подтвержденная: кролик
Валидировано для: WB
Реактивность подтвержденная: кролик
Валидировано для: WB
Porcine Alstrom syndrome protein 1(ALMS1) ELISA kit (E07A1397)
Организм: свинья
Porcine Cyclin A ELISA kit (E07C0075)
Организм: свинья
Mouse cystathionine β synthase(CBS) ELISA kit (E03C1414)
Организм: мышь

