| UNIPROT | P04798 |
Anti-CYP1A1 Antibody (R2Y89) (RHC10601)
Реактивность подтвержденная:
человек
Источник (хозяин):
мышь
Валидировано для:
ELISA
IHC
Характеристики
Техническое описание
| Русское название | RHC10601 Моноклональное антитело к CYP1A1 (R2Y89) <AntibodySystem,Китай> |
| Каталожный номер | RHC10601 |
| Название антигена | Cytochrome P450 1A1 (CYP1A1) |
| UNIPROT | P04798 |
| Английские синонимы | CYP1, AHH, AHRR, CP11, P1-450, P450-C, P450DX, Cytochrome P450,Subfamily I(Aromatic Compound-Inducible),Polypeptide 1 |
Реактивность подтвержденная Нужна другая реактивность? |
человек |
| Источник (хозяин) | мышь |
| Изотип | IgG1 |
| Клональность | моноклональное |
| Клон | R2Y89 |
| Рекомбинантное | да |
| Готовое к использованию | нет |
| Концентрация | 1 мг/мл |
| Конъюгат | нет |
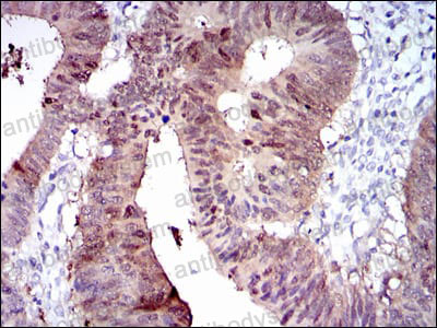
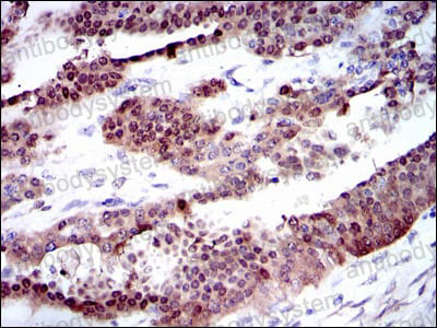
| Валидировано для | ELISA IHC Иммуноферментный анализ; Иммуногистохимия |
| Рекомендуемые разведения | ELISA: 1:10000, IHC: 1:200-1:1000 |
| Метод очистки | Очистка с белками A/G из супернатанта клеточной культуры |
| Чистота | >95% |
| Состав буфера | 0.01M PBS, pH 7.4, 0.05% натрия азид |
| Условия доставки | термобокс с аккумуляторами холода |
| Условия хранения | Хранить при 4°C не более 1-2 недель. Хранить при -20°C - 12 месяцев |
| Срок хранения | 12 месяцев |
| Производитель | AntibodySystem |
| Ссылка на страницу товара на сайте производителя | https://www.antibodysystem.com/product/34573.html |
|
Артикул
|
Наименование |
Производитель
|
|---|
|
Артикул
|
Наименование |
Производитель
|
|---|
|
Артикул
|
Наименование |
Производитель
|
|---|
|
Артикул
|
Наименование |
Производитель
|
|---|
|
Артикул
|
Наименование |
Производитель
|
|---|
Акции и предложения
Популярные продукты:
Anti-KOD DNA polymerase Biparatopic Antibody, Tandem scFv (3G8 & βG1) (RXX04306)
Реактивность подтвержденная: бактерии
Валидировано для: ELISA, NEUT, WB
Валидировано для: ELISA, NEUT, WB
Mouse Lymphocyte Antigen 96 ELISA kit (E03L0307)
Организм: мышь
Sheep Cytoplasmic protein NCK2(NCK2) ELISA kit (E14C2360)
Организм: овца
Rabbit Cytoplasmic protein NCK2(NCK2) ELISA kit (E04C2360)
Организм: кролик
Mouse Cytoplasmic protein NCK2(NCK2) ELISA kit (E03C2360)
Организм: мышь
Rabbit Cytochrome P450 1A1(CYP1A1) ELISA kit (E04C2225)
Организм: кролик

