| UNIPROT | O94760 |
Anti-DDAH1 Antibody (R2W06) (RHB42403)
Реактивность подтвержденная:
человек, мышь, крыса
Источник (хозяин):
мышь
Валидировано для:
IHC
WB
Характеристики
Техническое описание
| Русское название | RHB42403 Моноклональное антитело к DDAH1 (R2W06) <AntibodySystem,Китай> |
| Каталожный номер | RHB42403 |
| Название антигена | Dimethylarginine Dimethylaminohydrolase 1 (DDAH1) |
| UNIPROT | O94760 |
| Английские синонимы | DDAH, Dimethylargininase-1, N(G),N(G)-dimethylarginine dimethylaminohydrolase 1 |
Реактивность подтвержденная Нужна другая реактивность? |
человек, мышь, крыса |
| Источник (хозяин) | мышь |
| Изотип | IgG1 |
| Клональность | моноклональное |
| Клон | R2W06 |
| Рекомбинантное | да |
| Готовое к использованию | нет |
| Концентрация | 1 мг/мл |
| Конъюгат | нет |
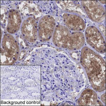
| Валидировано для | IHC WB Иммуногистохимия; Вестерн-блоттинг |
| Рекомендуемые разведения | IHC: 1:2000, WB: 1:500-1:1000 |
| Метод очистки | Очистка с белками A/G из супернатанта клеточной культуры |
| Чистота | >95% |
| Состав буфера | 0.01M PBS, pH 7.4, 0.05% натрия азид |
| Условия доставки | термобокс с аккумуляторами холода |
| Условия хранения | Хранить при 4°C не более 1-2 недель. Хранить при -20°C - 12 месяцев |
| Срок хранения | 12 месяцев |
| Производитель | AntibodySystem |
| Ссылка на страницу товара на сайте производителя | https://www.antibodysystem.com/product/34292.html |
|
Артикул
|
Наименование |
Производитель
|
|---|
|
Артикул
|
Наименование |
Производитель
|
|---|
Акции и предложения
Популярные продукты:
Canine Valine ELISA kit (E08V0100)
Организм: собака
Chicken CTP synthase 1(CTPS) ELISA kit (E12C2156)
Организм: курица
Canine CTP synthase 1(CTPS) ELISA kit (E08C2156)
Организм: собака

