| UNIPROT | O00571 |
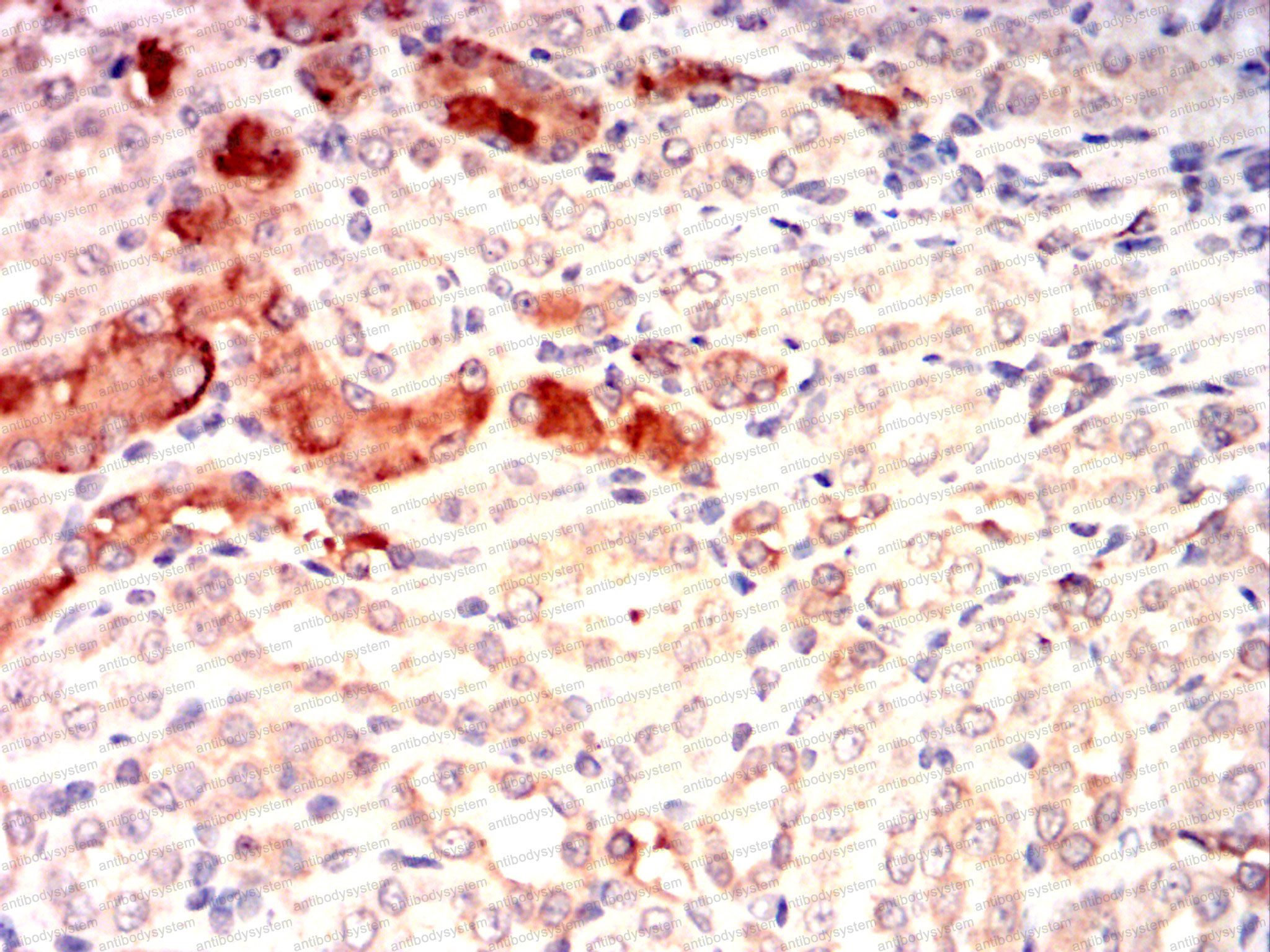
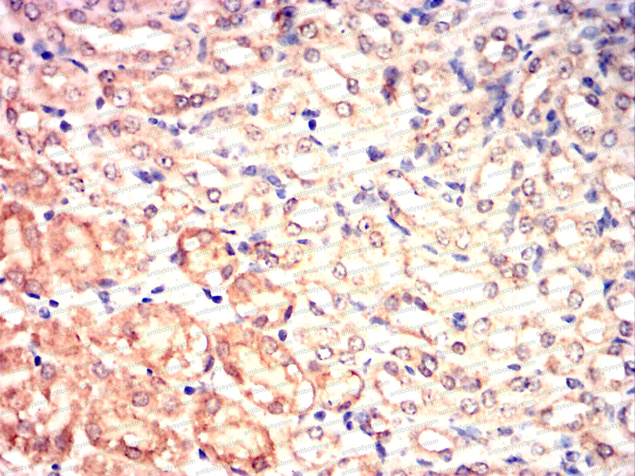
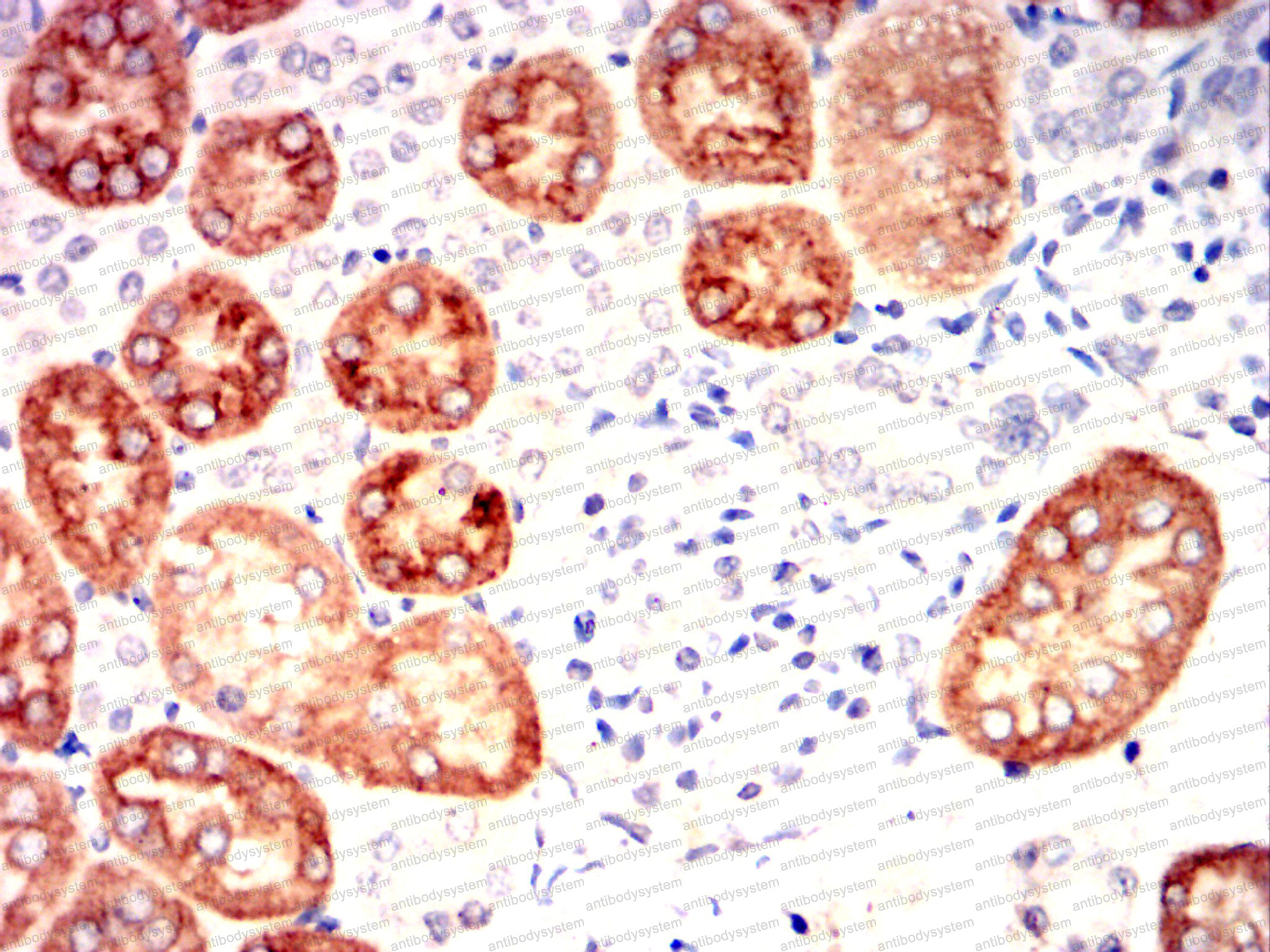
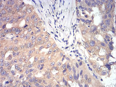
Anti-DDX3X Antibody (R2T56) (RHA16101)
Реактивность подтвержденная:
человек, мышь, крыса, кролик, обезьяна
Источник (хозяин):
мышь
Валидировано для:
ELISA
FCM
IF
IHC
WB
Характеристики
Техническое описание
| Русское название | RHA16101 Моноклональное антитело к DDX3X (R2T56) <AntibodySystem,Китай> |
| Каталожный номер | RHA16101 |
| Название антигена | DEAD Box Polypeptide 3, X-Linked (DDX3X) |
| UNIPROT | O00571 |
| Английские синонимы | DBX, DDX14, DDX3, HLP2, Asp-Glu-Ala-Asp Box Polypeptide 3, ATP-dependent RNA helicase DDX3X, Helicase-like protein 2 |
Реактивность подтвержденная Нужна другая реактивность? |
человек, мышь, крыса, кролик, обезьяна |
| Источник (хозяин) | мышь |
| Изотип | IgG2a |
| Клональность | моноклональное |
| Клон | R2T56 |
| Рекомбинантное | да |
| Готовое к использованию | нет |
| Концентрация | 1 мг/мл |
| Конъюгат | нет |
| Валидировано для | ELISA FCM IF IHC WB Иммуноферментный анализ; Проточная цитометрия; Иммунофлуоресценция; Иммуногистохимия; Вестерн-блоттинг |
| Рекомендуемые разведения | ELISA: 1:10000, FCM: 1:200-1:400, IF: 1:50-1:500, IHC: 1:100-1:500, WB: 1:500-1:2000 |
| Метод очистки | Очистка с белками A/G из супернатанта клеточной культуры |
| Чистота | >95% |
| Состав буфера | 0.01M PBS, pH 7.4, 0.05% натрия азид |
| Условия доставки | термобокс с аккумуляторами холода |
| Условия хранения | Хранить при 4°C не более 1-2 недель. Хранить при -20°C - 12 месяцев |
| Срок хранения | 12 месяцев |
| Производитель | AntibodySystem |
| Ссылка на страницу товара на сайте производителя | https://www.antibodysystem.com/product/34045.html |
|
Артикул
|
Наименование |
Производитель
|
|---|
|
Артикул
|
Наименование |
Производитель
|
|---|
|
Артикул
|
Наименование |
Производитель
|
|---|
Акции и предложения
Популярные продукты:
ELISA Kit DIY Materials for Interleukin 13 (IL13) (KSA060Po01)
Организм: свинья
Диапазон определения: 15.6-1000 пг/мл
Чувствительность: 6.3 пг/мл
Диапазон определения: 15.6-1000 пг/мл
Чувствительность: 6.3 пг/мл
Goat Succinic Acid ELISA Kit (E06S0475)
Организм: коза
Porcine Copine 1(CPNE1) ELISA kit (E07C2010)
Организм: свинья
Guinea Pig Proteoglycan 4 ELISA kit (E05P0163)
Организм: морская свинка
Mouse Cathepsin O(CTSO) ELISA kit (E03C2169)
Организм: мышь

