Ваш браузер устарел и не обеспечивает полноценную и безопасную работу с сайтом. Пожалуйста обновите браузер чтобы улучшить взаимодействие с сайтом.
Мы обновили сайт, попробуйте новые функции в личном кабинете!

+7 (495) 798-02-48

Anti-DIABLO Antibody (R2M81) (RHK68401)

Реактивность подтвержденная: человек, мышь, крыса
Источник (хозяин): кролик
Валидировано для:
IF
IHC
IP
WB
Валидация AntibodySystem RHK68401
Валидация AntibodySystem RHK68401
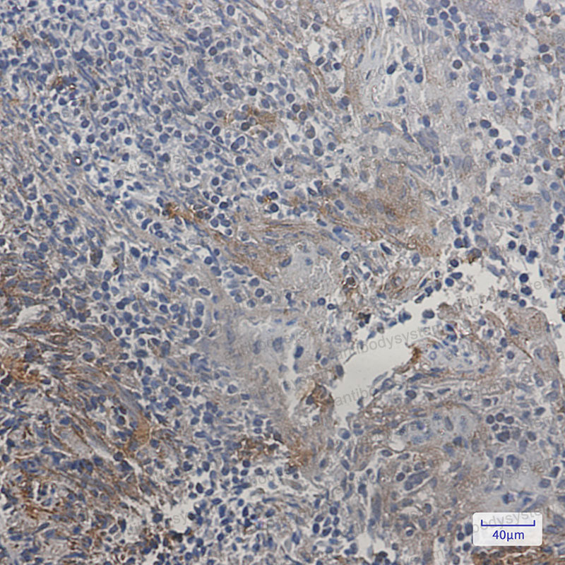
Immunohistochemistry analysis of paraffin-embedded Human tonsil using Smac/Diablo antibody.High-pressure and temperature Sodium Citrate pH 6.0 was used for antigen retrieval.
Валидация IF - AntibodySystem RHK68401
Валидация IF - AntibodySystem RHK68401
Immunocytochemistry analysis of Smac/Diablo(green) in Hela using Smac/Diablo antibody,and DAPI(blue)
Валидация AntibodySystem RHK68401 (3717)
Валидация AntibodySystem RHK68401 (3717)
Immunohistochemistry analysis of paraffin-embedded Human tonsil using Smac/Diablo antibody.High-pressure and temperature Sodium Citrate pH 6.0 was used for antigen retrieval.
Валидация IF - AntibodySystem RHK68401 (1549)
Валидация IF - AntibodySystem RHK68401 (1549)
Immunocytochemistry analysis of Smac/Diablo(green) in Hela using Smac/Diablo antibody,and DAPI(blue)
Валидация AntibodySystem RHK68401
Валидация IF - AntibodySystem RHK68401
Валидация AntibodySystem RHK68401 (3717)
Валидация IF - AntibodySystem RHK68401 (1549)
Ближайшая поставка
29.05.26
Характеристики
Техническое описание
Русское название RHK68401 Моноклональное антитело к DIABLO (R2M81) <AntibodySystem,Китай>
Каталожный номер RHK68401
Название антигена Diablo Homolog (DIABLO)
UNIPROT Q9NR28
Английские синонимы SMAC, DIABLO-S, Direct IAP-binding protein with low pI, Second mitochondria-derived activator of caspase
Реактивность подтвержденная
Нужна другая реактивность?
человек, мышь, крыса
Источник (хозяин) кролик
Изотип IgG
Клональность моноклональное
Клон R2M81
Рекомбинантное да
Готовое к использованию нет
Концентрация 1 мг/мл
Конъюгат нет
Валидировано для
IF
IHC
IP
WB
Иммунофлуоресценция; Иммуногистохимия; Иммунопреципитация; Вестерн-блоттинг
Рекомендуемые разведения IF: 1:50-1:200, IHC: 1:50-1:100, IP: 1:20, WB: 1:500-1:1000
Метод очистки Очистка с белками A/G из супернатанта клеточной культуры
Чистота >95%
Состав буфера 0.01M PBS, pH 7.4, 0.05% БСА, 50% глицерин, 0.05% азид натрия
Условия доставки термобокс с аккумуляторами холода
Условия хранения Хранить при -20 С -12 месяцев
Срок хранения 12 месяцев
Производитель AntibodySystem
Ссылка на страницу товара на сайте производителя https://www.antibodysystem.com/product/33199.html

Назначение

моноклональное антитело от производителя AntibodySystem к Diablo Homolog (DIABLO) источник — кролик предназначено для детекции целевого антигена в биологических образцах. Продукт характеризуется подтвержденной реактивностью к человек, мышь, крыса.

Преимущества

  • Высокая специфичность и аффинность
  • Концентрация: 1 мг/мл
  • Оптимизированный состав буфера: 0.01M PBS, pH 7.4, 0.05% БСА, 50% глицерин, 0.05% азид натрия
  • Стабильность: 12 месяцев

Применение в исследованиях

Антитело валидировано для методов: IF, IHC, IP, WB. Подходит для научных исследований в области иммунологии, клеточной биологии и молекулярной диагностики.

Условия хранения

Срок годности: 12 месяцев. Хранить при -20 С -12 месяцев. Рекомендуется соблюдать температурный режим при транспортировке и хранении.
UNIPROT Q9NR28
Артикул
Наименование
Производитель
Артикул
Наименование
Производитель
Артикул
Наименование
Производитель
Артикул
Наименование
Производитель

С нами успешно сотрудничают:

Московский государственный университет им. Ломоносова
Московский государственный университет им. Ломоносова
Московский государственный университет им. Ломоносова
МФТИ
МФТИ
МФТИ
Центр вирусологии и биотехнологии „Вектор“
Центр вирусологии и биотехнологии „Вектор“
Центр вирусологии и биотехнологии „Вектор“
Институт физиологии имени Павлова
Институт физиологии имени Павлова
Институт физиологии имени Павлова
Сеченовский университет
Сеченовский университет
Сеченовский университет
Исследовательский центр им. Алмазова
Исследовательский центр им. Алмазова
Исследовательский центр им. Алмазова
BIOCAD
BIOCAD
BIOCAD
Университет Сириус
Университет Сириус
Университет Сириус
Р-Фарм
Р-Фарм
Р-Фарм
Сколтех
Сколтех
Сколтех
Курчатовский институт
Курчатовский институт
Курчатовский институт
ИБХ РАН
ИБХ РАН
ИБХ РАН
НИЦ эпидемиологии и микробиологии им. Н.Ф.Гамалеи
НИЦ эпидемиологии и микробиологии им. Н.Ф.Гамалеи
НИЦ эпидемиологии и микробиологии им. Н.Ф.Гамалеи
Томский НИМЦ
Томский НИМЦ
Томский НИМЦ
ФИЦ ВИЖ имени Л.К. Эрнста
ФИЦ ВИЖ имени Л.К. Эрнста
ФИЦ ВИЖ имени Л.К. Эрнста
Фонд "Наука - Детям"
Фонд "Наука - Детям"
Фонд "Наука - Детям"
Институт цитологии и генетики СО РАН
Институт цитологии и генетики СО РАН
Институт цитологии и генетики СО РАН
Генериум
Генериум
Генериум

Новости

0
0
0