| UNIPROT | O60832 |
Anti-DKC1 Antibody (R1E89) (RHB02001)
Реактивность подтвержденная:
человек, мышь, крыса
Источник (хозяин):
кролик
Валидировано для:
IF
IHC
WB
Характеристики
Техническое описание
| Русское название | RHB02001 Моноклональное антитело к DKC1 (R1E89) <AntibodySystem,Китай> |
| Каталожный номер | RHB02001 |
| Название антигена | Dyskerin (DKC) |
| UNIPROT | O60832 |
| Английские синонимы | DKC1, NAP57, NOLA4, Dyskeratosis Congenita 1, H/ACA Ribonucleoprotein Complex Subunit 4, Nopp140-associated protein of 57 kDa, Nucleolar protein family A member 4 |
Реактивность подтвержденная Нужна другая реактивность? |
человек, мышь, крыса |
| Источник (хозяин) | кролик |
| Изотип | IgG |
| Клональность | моноклональное |
| Клон | R1E89 |
| Рекомбинантное | да |
| Готовое к использованию | нет |
| Концентрация | 1 мг/мл |
| Конъюгат | нет |
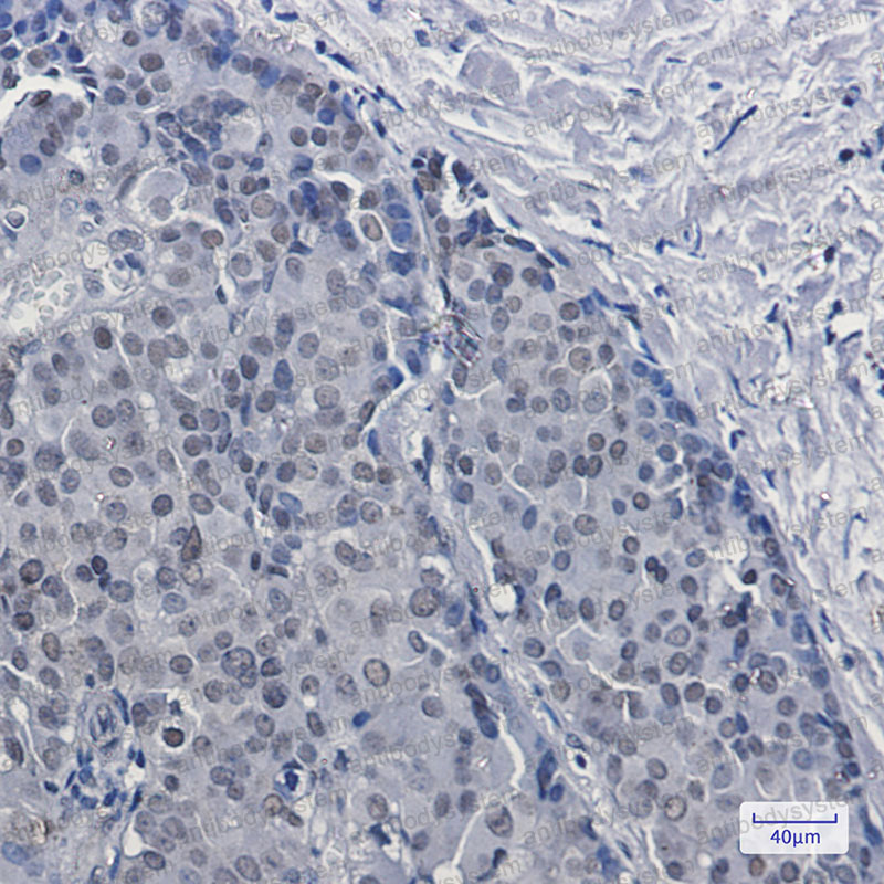
| Валидировано для | IF IHC WB Иммунофлуоресценция; Иммуногистохимия; Вестерн-блоттинг |
| Рекомендуемые разведения | IF: 1:50-1:200, IHC: 1:50-1:100, WB: 1:500-1:1000 |
| Метод очистки | Очистка с белками A/G из супернатанта клеточной культуры |
| Чистота | >95% |
| Состав буфера | 0.01M PBS, pH 7.4, 0.05% БСА, 50% глицерин, 0.05% азид натрия |
| Условия доставки | термобокс с аккумуляторами холода |
| Условия хранения | Хранить при -20 С -12 месяцев |
| Срок хранения | 12 месяцев |
| Производитель | AntibodySystem |
| Ссылка на страницу товара на сайте производителя | https://www.antibodysystem.com/product/30138.html |
|
Артикул
|
Наименование |
Производитель
|
|---|
|
Артикул
|
Наименование |
Производитель
|
|---|
|
Артикул
|
Наименование |
Производитель
|
|---|
|
Артикул
|
Наименование |
Производитель
|
|---|
|
Артикул
|
Наименование |
Производитель
|
|---|
Акции и предложения
Популярные продукты:
ELISA Kit for Malondialdehyde (MDA) (CEA597Ge)
Организм: для всех
Диапазон определения: 24.69-2000 нг/мл
Чувствительность: 8.84 нг/мл
Диапазон определения: 24.69-2000 нг/мл
Чувствительность: 8.84 нг/мл
ELISA Kit for Glutamate Receptor, Ionotropic, AMPA 1 (GRIA1) (SEE801Ra)
Организм: крыса
Диапазон определения: 0.312-20 нг/мл
Чувствительность: 0.061 нг/мл
Диапазон определения: 0.312-20 нг/мл
Чувствительность: 0.061 нг/мл
Chicken Cdc42 effector protein 3(CDC42EP3) ELISA kit (E12C1517)
Организм: курица
Sheep β chimaerin(CHN2) ELISA kit (E14B0885)
Организм: овца
Rat β chimaerin(CHN2) ELISA kit (E02B0885)
Организм: крыса
Human β chimaerin(CHN2) ELISA kit (E01B0885)
Организм: человек

