| UNIPROT | Q9UBC3 |
Anti-DNMT3B Antibody (R3X24) (RHJ72202)
Реактивность подтвержденная:
человек
Источник (хозяин):
мышь
Валидировано для:
ELISA
FCM
IHC
Характеристики
Техническое описание
| Русское название | RHJ72202 Моноклональное антитело к DNMT3B (R3X24) <AntibodySystem,Китай> |
| Каталожный номер | RHJ72202 |
| Название антигена | DNA Methyltransferase 3B (DNMT3B) |
| UNIPROT | Q9UBC3 |
| Английские синонимы | ICF, M.HsaIIIB, DNA methyltransferase HsaIIIB |
Реактивность подтвержденная Нужна другая реактивность? |
человек |
| Источник (хозяин) | мышь |
| Изотип | IgG1 |
| Клональность | моноклональное |
| Клон | R3X24 |
| Рекомбинантное | да |
| Готовое к использованию | нет |
| Концентрация | 1 мг/мл |
| Конъюгат | нет |
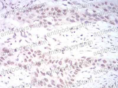
| Валидировано для | ELISA FCM IHC Иммуноферментный анализ; Проточная цитометрия; Иммуногистохимия |
| Рекомендуемые разведения | ELISA: 1:10000, FCM: 1:200-1:400, IHC: 1:200-1:1000 |
| Метод очистки | Очистка с белками A/G из супернатанта клеточной культуры |
| Чистота | >95% |
| Состав буфера | 0.01M PBS, pH 7.4, 0.05% натрия азид |
| Условия хранения | Хранить при 4°C не более 1-2 недель. Хранить при -20°C - 12 месяцев |
| Срок хранения | 12 месяцев |
| Производитель | AntibodySystem |
| Ссылка на страницу товара на сайте производителя | https://www.antibodysystem.com/product/36784.html |
|
Артикул
|
Наименование |
Производитель
|
|---|
|
Артикул
|
Наименование |
Производитель
|
|---|
|
Артикул
|
Наименование |
Производитель
|
|---|
|
Артикул
|
Наименование |
Производитель
|
|---|
Акции и предложения
Популярные продукты:
Bovine Cadherin 20(CDH20) ELISA kit (E11C1541)
Организм: корова
Monkey Karyopherin Alpha 2 ELISA kit (E09K0096)
Организм: обезьяна
Monkey Angiotensin 2 Receptor 1 Autoantibodies ELISA kit (E09A0207)
Организм: обезьяна
Guinea Pig ATP Binding Cassette Transporter A1 ELISA kit (E05A0631)
Организм: морская свинка

