| UNIPROT | O43598 |
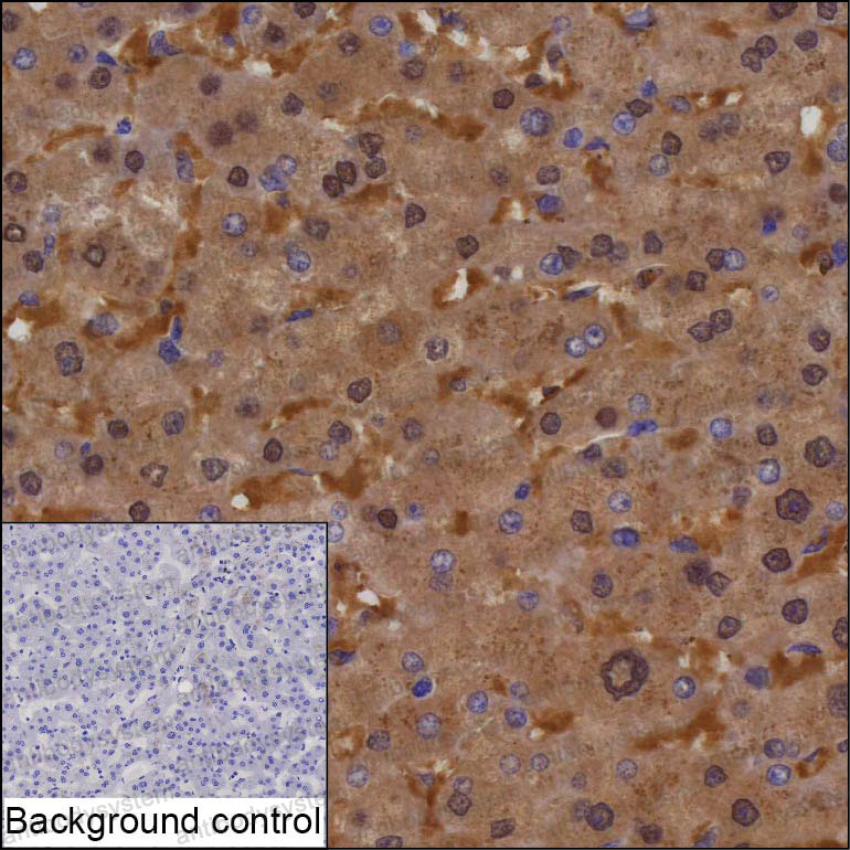
Anti-DNPH1 Antibody (R2U95) (RHA72102)
Реактивность подтвержденная:
человек
Источник (хозяин):
мышь
Валидировано для:
IHC
Характеристики
Техническое описание
| Русское название | RHA72102 Моноклональное антитело к DNPH1 (R2U95) <AntibodySystem,Китай> |
| Каталожный номер | RHA72102 |
| Название антигена | 2"-Deoxynucleoside 5"-Phosphate N-Hydrolase 1 (DNPH1) |
| UNIPROT | O43598 |
| Английские синонимы | RCL, C6orf108, c-Myc-responsive protein RCL |
Реактивность подтвержденная Нужна другая реактивность? |
человек |
| Источник (хозяин) | мышь |
| Изотип | IgG2a |
| Клональность | моноклональное |
| Клон | R2U95 |
| Рекомбинантное | да |
| Готовое к использованию | нет |
| Концентрация | 1 мг/мл |
| Конъюгат | нет |
| Валидировано для | IHC Иммуногистохимия |
| Рекомендуемые разведения | IHC: 1:50-1:250 |
| Метод очистки | Очистка с белками A/G из супернатанта клеточной культуры |
| Чистота | >95% |
| Состав буфера | 0.01M PBS, pH 7.4, 0.05% натрия азид |
| Условия доставки | термобокс с аккумуляторами холода |
| Условия хранения | Хранить при 4°C не более 1-2 недель. Хранить при -20°C - 12 месяцев |
| Срок хранения | 12 месяцев |
| Производитель | AntibodySystem |
| Ссылка на страницу товара на сайте производителя | https://www.antibodysystem.com/product/34183.html |
|
Артикул
|
Наименование |
Производитель
|
|---|
|
Артикул
|
Наименование |
Производитель
|
|---|
Акции и предложения
Популярные продукты:
Anti-DNPH1 Antibody (R2U95) (RHA72102)
Источник (хозяин): мышь
Реактивность подтвержденная: человек
Валидировано для: IHC
Реактивность подтвержденная: человек
Валидировано для: IHC
ELISA Kit for Activin B (ACVB) (CEA170Ra)
Организм: крыса
Диапазон определения: 12.35-1000 пг/мл
Чувствительность: 5.29 пг/мл
Диапазон определения: 12.35-1000 пг/мл
Чувствительность: 5.29 пг/мл
Monkey Cytohesin 3(CYTH3) ELISA kit (E09C2266)
Организм: обезьяна
Anti-CSNK1D Polyclonal Antibody (PHE60701)
Источник (хозяин): кролик
Реактивность подтвержденная: человек, мышь, крыса
Валидировано для: ELISA, IHC, WB
Реактивность подтвержденная: человек, мышь, крыса
Валидировано для: ELISA, IHC, WB
Anti-CHRNE Antibody (R3R05) (RHG03101)
Источник (хозяин): мышь
Реактивность подтвержденная: человек, крыса
Валидировано для: ELISA, FCM, WB
Реактивность подтвержденная: человек, крыса
Валидировано для: ELISA, FCM, WB
(KO Validated) FLOT1 Polyclonal Antibody (E-AB-61836)
Источник (хозяин): кролик
Реактивность подтвержденная: человек, мышь, крыса
Валидировано для: IF, WB
Реактивность подтвержденная: человек, мышь, крыса
Валидировано для: IF, WB

