| UNIPROT | Q9BVM2 |
Anti-DPCD Antibody (R4C85) (RHP05102)
Реактивность подтвержденная:
человек
Источник (хозяин):
мышь
Валидировано для:
IHC
Характеристики
Техническое описание
| Русское название | RHP05102 Моноклональное антитело к DPCD (R4C85) <AntibodySystem,Китай> |
| Каталожный номер | RHP05102 |
| Название антигена | Deleted In Primary Ciliary Dyskinesia Homolog (DPCD) |
| UNIPROT | Q9BVM2 |
Реактивность подтвержденная Нужна другая реактивность? |
человек |
| Источник (хозяин) | мышь |
| Изотип | IgG1 |
| Клональность | моноклональное |
| Клон | R4C85 |
| Рекомбинантное | да |
| Готовое к использованию | нет |
| Концентрация | 1 мг/мл |
| Конъюгат | нет |
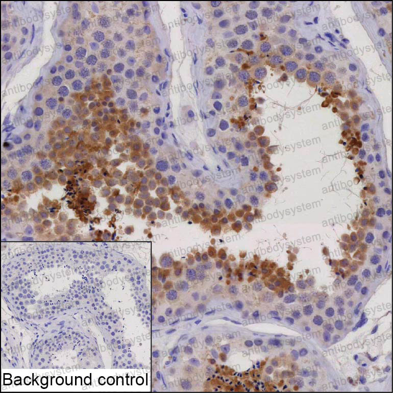
| Валидировано для | IHC Иммуногистохимия |
| Рекомендуемые разведения | IHC: 1:50-1:250 |
| Метод очистки | Очистка с белками A/G из супернатанта клеточной культуры |
| Чистота | >95% |
| Состав буфера | 0.01M PBS, pH 7.4, 0.05% натрия азид |
| Условия хранения | Хранить при 4°C не более 1-2 недель. Хранить при -20°C - 12 месяцев |
| Срок хранения | 12 месяцев |
| Производитель | AntibodySystem |
| Ссылка на страницу товара на сайте производителя | https://www.antibodysystem.com/product/37340.html |
|
Артикул
|
Наименование |
Производитель
|
|---|
|
Артикул
|
Наименование |
Производитель
|
|---|
Акции и предложения
Популярные продукты:
Anti-Human CKMB Antibody (R4D88) (RHC21102)
Источник (хозяин): мышь
Реактивность подтвержденная: человек
Валидировано для: CLIA, ELISA
Реактивность подтвержденная: человек
Валидировано для: CLIA, ELISA
Anti-Catechol-O-Methyltransferase (COMT) Polyclonal Antibody (FAJ365Hu01)
Источник (хозяин): кролик
Реактивность подтвержденная: человек
Валидировано для: FCM
Реактивность подтвержденная: человек
Валидировано для: FCM
Anti-Aspartate Beta Hydroxylase (ASPH) Monoclonal Antibody (FAG151Hu08)
Источник (хозяин): мышь
Реактивность подтвержденная: человек
Валидировано для: FCM
Реактивность подтвержденная: человек
Валидировано для: FCM
Anti-Aspartate Beta Hydroxylase (ASPH) Monoclonal Antibody (FAG151Hu04)
Источник (хозяин): мышь
Реактивность подтвержденная: человек
Валидировано для: FCM
Реактивность подтвержденная: человек
Валидировано для: FCM
Multiplex Assay Kit for Creatine Kinase MB Isoenzyme (CKMB) (LMA479Hu)
Организм: человек
Диапазон определения: 0.1-100 нг/мл
Чувствительность: 0.033 нг/мл
Диапазон определения: 0.1-100 нг/мл
Чувствительность: 0.033 нг/мл
ELISA Kit DIY Materials for Catechol-O-Methyltransferase (COMT) (KSJ365Ra01)
Организм: крыса
Диапазон определения: 1.56-100 нг/мл
Чувствительность: 0.59 нг/мл
Диапазон определения: 1.56-100 нг/мл
Чувствительность: 0.59 нг/мл

