| UNIPROT | O00429 |
Anti-DRP1/DNM1L Antibody (R2T47) (RHA11501)
Реактивность подтвержденная:
человек
Источник (хозяин):
мышь
Валидировано для:
ELISA
IHC
WB
Характеристики
Техническое описание
| Русское название | RHA11501 Моноклональное антитело к DRP1/DNM1L (R2T47) <AntibodySystem,Китай> |
| Каталожный номер | RHA11501 |
| Название антигена | Dynamin 1 Like Protein (DNM1L) |
| UNIPROT | O00429 |
| Английские синонимы | DRP1, DLP1, DVLP, DYMPLE, HDYNIV, VPS1, Dynamin-related protein 1, Dnm1p/Vps1p-like protein, Dynamin family member proline-rich carboxyl-terminal domain less |
Реактивность подтвержденная Нужна другая реактивность? |
человек |
| Источник (хозяин) | мышь |
| Изотип | IgG1 |
| Клональность | моноклональное |
| Клон | R2T47 |
| Рекомбинантное | да |
| Готовое к использованию | нет |
| Концентрация | 1 мг/мл |
| Конъюгат | нет |
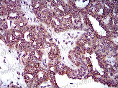
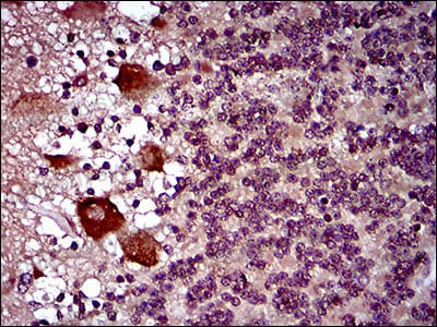
| Валидировано для | ELISA IHC WB Иммуноферментный анализ; Иммуногистохимия; Вестерн-блоттинг |
| Рекомендуемые разведения | ELISA: 1:10000, IHC: 1:200-1:1000, WB: 1:500-1:2000 |
| Метод очистки | Очистка с белками A/G из супернатанта клеточной культуры |
| Чистота | >95% |
| Состав буфера | 0.01M PBS, pH 7.4, 0.05% натрия азид |
| Условия доставки | термобокс с аккумуляторами холода |
| Условия хранения | Хранить при 4°C не более 1-2 недель. Хранить при -20°C - 12 месяцев |
| Срок хранения | 12 месяцев |
| Производитель | AntibodySystem |
| Ссылка на страницу товара на сайте производителя | https://www.antibodysystem.com/product/34036.html |
|
Артикул
|
Наименование |
Производитель
|
|---|
Акции и предложения
Популярные продукты:
Anti-Mouse TNC Antibody (SAb2380) (RMD64001)
Источник (хозяин): мышь
Реактивность подтвержденная: мышь
Валидировано для: ELISA, IHC, SPR
Реактивность подтвержденная: мышь
Валидировано для: ELISA, IHC, SPR
Anti-Human CD63/LAMP3 Antibody (Fs0321), APC (FHC37632)
Источник (хозяин): мышь
Реактивность подтвержденная: человек
Валидировано для: ELISA, FCM, WB
Реактивность подтвержденная: человек
Валидировано для: ELISA, FCM, WB
Guinea Pig Progesterone receptor membrane component 2 ELISA kit (E05P1255)
Организм: морская свинка
Canine Coatomer subunit β(COPB1) ELISA kit (E08C1932)
Организм: собака

