| UNIPROT | Q96KQ7 |
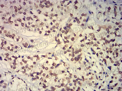
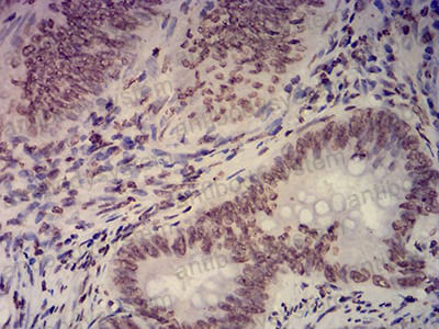
Anti-EHMT2 Antibody (R3Z16) (RHK57201)
Реактивность подтвержденная:
человек
Источник (хозяин):
мышь
Валидировано для:
ELISA
FCM
IF
IHC
Характеристики
Техническое описание
| Русское название | RHK57201 Моноклональное антитело к EHMT2 (R3Z16) <AntibodySystem,Китай> |
| Каталожный номер | RHK57201 |
| Название антигена | Euchromatic Histone Lysine-N-Methyltransferase 2 (EHMT2) |
| UNIPROT | Q96KQ7 |
| Английские синонимы | BAT8, G9A, NG36, KMT1C, C6orf30, HLA-B Associated Transcript 8, Lysine N-methyltransferase 1C, Histone H3-K9 methyltransferase 3, Histone-lysine N-methyltransferase EHMT2 |
Реактивность подтвержденная Нужна другая реактивность? |
человек |
| Источник (хозяин) | мышь |
| Изотип | IgG1 |
| Клональность | моноклональное |
| Клон | R3Z16 |
| Рекомбинантное | да |
| Готовое к использованию | нет |
| Концентрация | 1 мг/мл |
| Конъюгат | нет |
| Валидировано для | ELISA FCM IF IHC Иммуноферментный анализ; Проточная цитометрия; Иммунофлуоресценция; Иммуногистохимия |
| Рекомендуемые разведения | ELISA: 1:10000, FCM: 1:200-1:400, IF: 1:200-1:1000, IHC: 1:200-1:1000 |
| Метод очистки | Очистка с белками A/G из супернатанта клеточной культуры |
| Чистота | >95% |
| Состав буфера | 0.01M PBS, pH 7.4, 0.05% натрия азид |
| Условия хранения | Хранить при 4°C не более 1-2 недель. Хранить при -20°C - 12 месяцев |
| Срок хранения | 12 месяцев |
| Производитель | AntibodySystem |
| Ссылка на страницу товара на сайте производителя | https://www.antibodysystem.com/product/36974.html |
|
Артикул
|
Наименование |
Производитель
|
|---|
|
Артикул
|
Наименование |
Производитель
|
|---|
Акции и предложения
Популярные продукты:
Anti-Human SLC30A8 hIgG Antibody (SAA1702) (RHJ18802)
Источник (хозяин): человек
Реактивность подтвержденная: человек
Валидировано для: ELISA
Реактивность подтвержденная: человек
Валидировано для: ELISA
Rabbit Lymphocyte Antigen 96 ELISA kit (E04L0307)
Организм: кролик
Rat Selenoprotein W(SEPW1) ELISA kit (E02S0359)
Организм: крыса
Sheep Succinate Dehydrogenase ELISA kit (E14S0095)
Организм: овца
Canine Succinate Dehydrogenase ELISA kit (E08S0095)
Организм: собака
KRIBIOLISA Ixekizumab (TALTZ) ELISA (KBI1404)
Организм: человек
Диапазон определения: 0 - 640 нг/мл
Чувствительность: 5 нг/мл
Диапазон определения: 0 - 640 нг/мл
Чувствительность: 5 нг/мл

