| UNIPROT | P55884 |
Anti-EIF3B Antibody (R1Z42) (RHF14403)
Реактивность подтвержденная:
человек
Источник (хозяин):
кролик
Валидировано для:
IHC
WB
Характеристики
Техническое описание
| Русское название | RHF14403 Моноклональное антитело к EIF3B (R1Z42) <AntibodySystem,Китай> |
| Каталожный номер | RHF14403 |
| Название антигена | Eukaryotic Translation Initiation Factor 3B (EIF3B) |
| UNIPROT | P55884 |
| Английские синонимы | EIF3-ETA, EIF3-P110, EIF3-P116, PRT1, eIF3b, EIF3S9, Eukaryotic translation initiation factor 3 subunit 9 |
Реактивность подтвержденная Нужна другая реактивность? |
человек |
| Источник (хозяин) | кролик |
| Изотип | IgG |
| Клональность | моноклональное |
| Клон | R1Z42 |
| Рекомбинантное | да |
| Готовое к использованию | нет |
| Концентрация | 1 мг/мл |
| Конъюгат | нет |
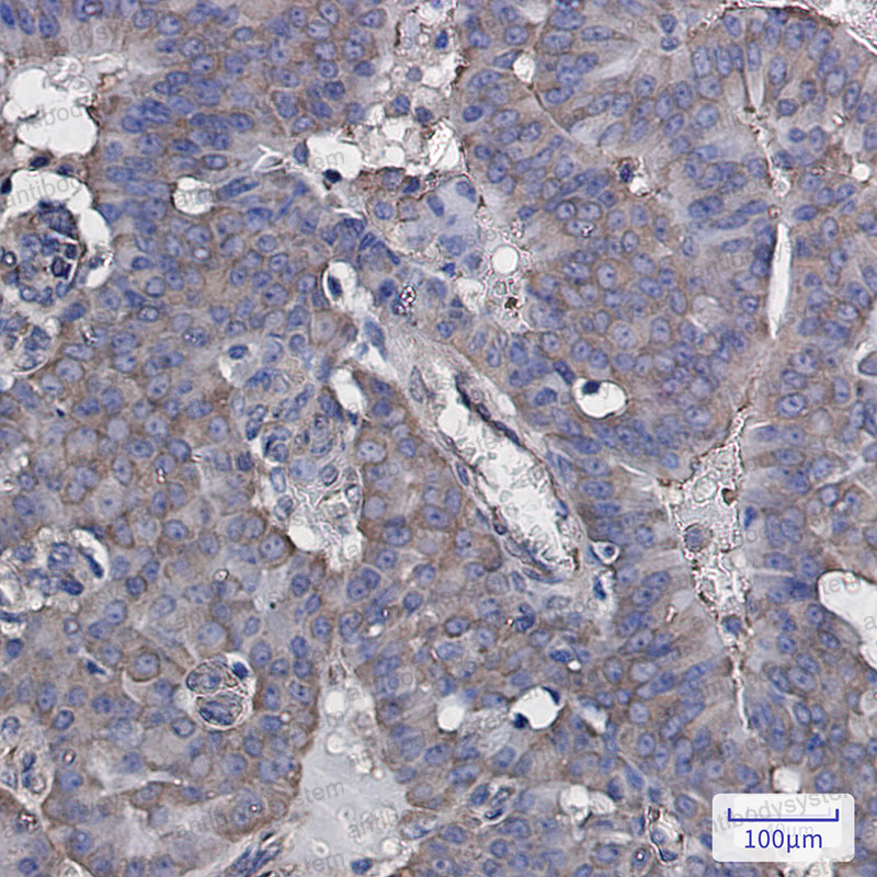
| Валидировано для | IHC WB Иммуногистохимия; Вестерн-блоттинг |
| Рекомендуемые разведения | IHC: 1:50-1:100, WB: 1:500-1:1000 |
| Метод очистки | Очистка с белками A/G из супернатанта клеточной культуры |
| Чистота | >95% |
| Состав буфера | 0.01M PBS, pH 7.4, 0.05% БСА, 50% глицерин, 0.05% азид натрия |
| Условия доставки | термобокс с аккумуляторами холода |
| Условия хранения | Хранить при -20 С -12 месяцев |
| Срок хранения | 12 месяцев |
| Производитель | AntibodySystem |
| Ссылка на страницу товара на сайте производителя | https://www.antibodysystem.com/product/31972.html |
|
Артикул
|
Наименование |
Производитель
|
|---|
|
Артикул
|
Наименование |
Производитель
|
|---|
|
Артикул
|
Наименование |
Производитель
|
|---|
Акции и предложения
Популярные продукты:
Human 15 hydroxyprostaglandin dehydrogenase [NAD+](HPGD) ELISA kit (E01H0149)
Организм: человек
Диапазон определения: 1-25 нг/мл
Чувствительность: 0.1 нг/мл
Диапазон определения: 1-25 нг/мл
Чувствительность: 0.1 нг/мл
Porcine Alkaline ceramidase 2(ACER2) ELISA kit (E07A1189)
Организм: свинья
Sheep Thyroglobulin Antibody ELISA kit (E14T0767)
Организм: овца
Chicken Complement Component 3a Receptor 1 ELISA kit (E12C0363)
Организм: курица
Recombinant Human IL3RA/CD123 Protein (Fc & Avi Tag) (PKSH033800)
Источник (хозяин): HEK293
Организм: человек
Фрагмент: Thr19-Arg305
Теги: C-Fc-Avi
Биоактивность: нет
Организм: человек
Фрагмент: Thr19-Arg305
Теги: C-Fc-Avi
Биоактивность: нет
Anti-MTX/Methotrexate Antibody (SAA0564) (RGK33001)
Источник (хозяин): мышь
Реактивность подтвержденная: для всех
Валидировано для: ELISA
Реактивность подтвержденная: для всех
Валидировано для: ELISA

