| UNIPROT | P38919 |
Anti-EIF4A3 Antibody (R1V57) (RHE23301)
Реактивность подтвержденная:
человек, крыса, хомяк
Источник (хозяин):
кролик
Валидировано для:
IF
IHC
IP
WB
Характеристики
Техническое описание
| Русское название | RHE23301 Моноклональное антитело к EIF4A3 (R1V57) <AntibodySystem,Китай> |
| Каталожный номер | RHE23301 |
| Название антигена | Eukaryotic Translation Initiation Factor 4A3 (EIF4A3) |
| UNIPROT | P38919 |
| Английские синонимы | DDX48, NUK-34, eIF4AIII, hNMP265, ATP-dependent RNA helicase DDX48, Eukaryotic translation initiation factor 4A isoform 3, Nuclear matrix protein 265 |
Реактивность подтвержденная Нужна другая реактивность? |
человек, крыса, хомяк |
| Источник (хозяин) | кролик |
| Изотип | IgG |
| Клональность | моноклональное |
| Клон | R1V57 |
| Рекомбинантное | да |
| Готовое к использованию | нет |
| Концентрация | 1 мг/мл |
| Конъюгат | нет |
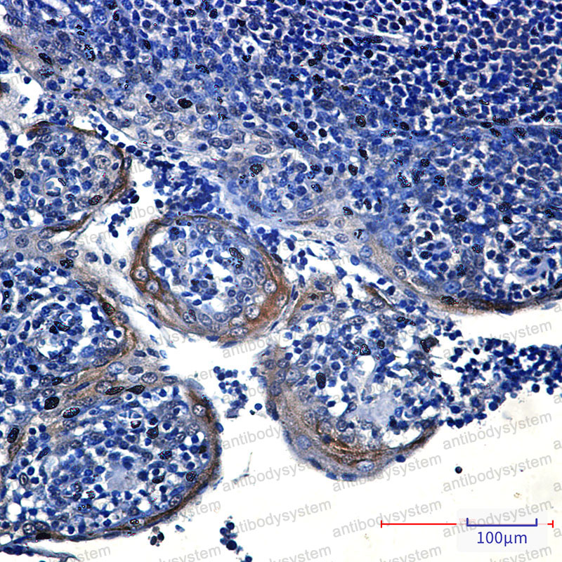
| Валидировано для | IF IHC IP WB Иммунофлуоресценция; Иммуногистохимия; Иммунопреципитация; Вестерн-блоттинг |
| Рекомендуемые разведения | IF: 1:50-1:200, IHC: 1:50-1:100, IP: 1:20, WB: 1:500-1:1000 |
| Метод очистки | Очистка с белками A/G из супернатанта клеточной культуры |
| Чистота | >95% |
| Состав буфера | 0.01M PBS, pH 7.4, 0.05% БСА, 50% глицерин, 0.05% азид натрия |
| Условия доставки | термобокс с аккумуляторами холода |
| Условия хранения | Хранить при -20 С -12 месяцев |
| Срок хранения | 12 месяцев |
| Производитель | AntibodySystem |
| Ссылка на страницу товара на сайте производителя | https://www.antibodysystem.com/product/31591.html |
|
Артикул
|
Наименование |
Производитель
|
|---|
|
Артикул
|
Наименование |
Производитель
|
|---|
Акции и предложения
Популярные продукты:
Rat Alpha parvin(PARVA) ELISA kit (E02A1940)
Организм: крыса
Rabbit Tropomyosin β chain(TPM2) ELISA kit (E04T0729)
Организм: кролик
Mouse Tropomyosin β chain(TPM2) ELISA kit (E03T0729)
Организм: мышь
Canine Cyclin A1(CCNA1) ELISA kit (E08C1444)
Организм: собака
Human Atrial natriuretic peptide receptor 3(NPR3) ELISA kit (E01A1936)
Организм: человек
Диапазон определения: 0.5-10 нг/мл
Чувствительность: 0.1 нг/мл
Диапазон определения: 0.5-10 нг/мл
Чувствительность: 0.1 нг/мл
Monkey Fc Fragment Of IgA Receptor ELISA kit (E09F0065)
Организм: обезьяна

