| UNIPROT | P06730 |
Anti-EIF4E Antibody (R2Z83) (RHC20904)
Реактивность подтвержденная:
человек
Источник (хозяин):
мышь
Валидировано для:
ELISA
FCM
IF
IHC
WB
Характеристики
Техническое описание
| Русское название | RHC20904 Моноклональное антитело к EIF4E (R2Z83) <AntibodySystem,Китай> |
| Каталожный номер | RHC20904 |
| Название антигена | Eukaryotic Translation Initiation Factor 4E1 (EIF4E1) |
| UNIPROT | P06730 |
| Английские синонимы | CBP, EIF4F, EIF4E, EIF4EL1, eIF-4F 25 kDa subunit, mRNA cap-binding protein |
Реактивность подтвержденная Нужна другая реактивность? |
человек |
| Источник (хозяин) | мышь |
| Изотип | IgG1 |
| Клональность | моноклональное |
| Клон | R2Z83 |
| Рекомбинантное | да |
| Готовое к использованию | нет |
| Концентрация | 1 мг/мл |
| Конъюгат | нет |
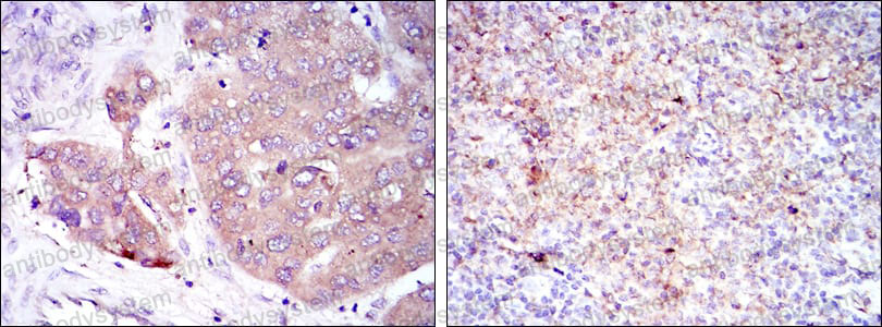
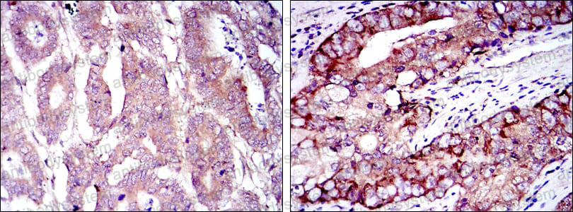
| Валидировано для | ELISA FCM IF IHC WB Иммуноферментный анализ; Проточная цитометрия; Иммунофлуоресценция; Иммуногистохимия; Вестерн-блоттинг |
| Рекомендуемые разведения | ELISA: 1:10000, FCM: 1:200-1:400, IF: 1:200-1:1000, IHC: 1:200-1:1000, WB: 1:500-1:2000 |
| Метод очистки | Очистка с белками A/G из супернатанта клеточной культуры |
| Чистота | >95% |
| Состав буфера | 0.01M PBS, pH 7.4, 0.05% натрия азид |
| Условия доставки | термобокс с аккумуляторами холода |
| Условия хранения | Хранить при 4°C не более 1-2 недель. Хранить при -20°C - 12 месяцев |
| Срок хранения | 12 месяцев |
| Производитель | AntibodySystem |
| Ссылка на страницу товара на сайте производителя | https://www.antibodysystem.com/product/34666.html |
|
Артикул
|
Наименование |
Производитель
|
|---|
|
Артикул
|
Наименование |
Производитель
|
|---|
|
Артикул
|
Наименование |
Производитель
|
|---|
Акции и предложения
Популярные продукты:
ELAC2 Mouse Monoclonal Antibody (BF9505)
Источник (хозяин): мышь
Реактивность подтвержденная: человек
Валидировано для: WB
Реактивность подтвержденная: человек
Валидировано для: WB
DDX21 Mouse Monoclonal Antibody (BF9488)
Источник (хозяин): мышь
Реактивность подтвержденная: человек
Валидировано для: WB
Реактивность подтвержденная: человек
Валидировано для: WB
Exo70 Mouse Monoclonal Antibody (BF9547)
Источник (хозяин): мышь
Реактивность подтвержденная: человек
Валидировано для: WB
Реактивность подтвержденная: человек
Валидировано для: WB
Anti-Hendra virus/HeV Glycoprotein hIgG ELISA Kit (KAV08001)
Организм: человек
Anti-MPXV M1R Mouse IgG ELISA Kit (KAV13305)
Организм: мышь
Диапазон определения: 0.63 - 20 нг/мл
Чувствительность: 0.28 нг/мл
Диапазон определения: 0.63 - 20 нг/мл
Чувствительность: 0.28 нг/мл
Multiplex Assay Kit for Synaptotagmin VII (SYT7) (LMH077Hu)
Организм: человек
Диапазон определения: 0.02-20 нг/мл
Чувствительность: 0.007 нг/мл
Диапазон определения: 0.02-20 нг/мл
Чувствительность: 0.007 нг/мл

