| UNIPROT | P09104 |
Anti-ENO2/NSE Antibody (R3B50) (RHC38602)
Реактивность подтвержденная:
человек, мышь
Источник (хозяин):
мышь
Валидировано для:
ELISA
FCM
IHC
WB
Характеристики
Техническое описание
| Русское название | RHC38602 Моноклональное антитело к ENO2/NSE (R3B50) <AntibodySystem,Китай> |
| Каталожный номер | RHC38602 |
| Название антигена | Enolase, Neuron Specific (NSE) |
| UNIPROT | P09104 |
| Английские синонимы | ENO2, Enolase 2, Gamma Enolase, 2-phospho-D-glycerate hydro-lyase, Neural enolase |
| Русские синонимы | Енолаза-2, Гамма-енолаза, 2-фосфо-D-глицерат гидролаза, энолаза 2, фосфопируват-гидратаза, НСЕ, нейронспецифическая энолаза |
Реактивность подтвержденная Нужна другая реактивность? |
человек, мышь |
| Источник (хозяин) | мышь |
| Изотип | IgG1 |
| Клональность | моноклональное |
| Клон | R3B50 |
| Рекомбинантное | да |
| Готовое к использованию | нет |
| Концентрация | 1 мг/мл |
| Конъюгат | нет |
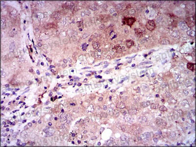
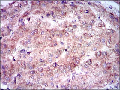
| Валидировано для | ELISA FCM IHC WB Иммуноферментный анализ; Проточная цитометрия; Иммуногистохимия; Вестерн-блоттинг |
| Рекомендуемые разведения | ELISA: 1:10000, FCM: 1:200-1:400, IHC: 1:200-1:1000, WB: 1:500-1:2000 |
| Метод очистки | Очистка с белками A/G из супернатанта клеточной культуры |
| Чистота | >95% |
| Состав буфера | 0.01M PBS, pH 7.4, 0.05% натрия азид |
| Условия доставки | термобокс с аккумуляторами холода |
| Условия хранения | Хранить при 4°C не более 1-2 недель. Хранить при -20°C - 12 месяцев |
| Срок хранения | 12 месяцев |
| Производитель | AntibodySystem |
| Ссылка на страницу товара на сайте производителя | https://www.antibodysystem.com/product/34831.html |
|
Артикул
|
Наименование |
Производитель
|
|---|
|
Артикул
|
Наименование |
Производитель
|
|---|
|
Артикул
|
Наименование |
Производитель
|
|---|
|
Артикул
|
Наименование |
Производитель
|
|---|
|
Артикул
|
Наименование |
Производитель
|
|---|
Акции и предложения
Популярные продукты:
Human Aquaporin-6(AQP6) ELISA kit (E01A1616)
Организм: человек
Guinea Pig Annexin Ⅲ(ANX Ⅲ) ELISA kit (E05A1545)
Организм: морская свинка
Monkey Alpha 2A adrenergic receptor(ADRA2A) ELISA kit (E09A1287)
Организм: обезьяна
Porcine Cyclin I(CCNI) ELISA kit (E07C1161)
Организм: свинья
Porcine Histone deacetylases 1 ELISA kit (E07H1403)
Организм: свинья

