| UNIPROT | P54760 |
Anti-EPHB4 Antibody (R3N27) (RHF05103)
Реактивность подтвержденная:
человек
Источник (хозяин):
мышь
Валидировано для:
IHC
Характеристики
Техническое описание
| Русское название | RHF05103 Моноклональное антитело к EPHB4 (R3N27) <AntibodySystem,Китай> |
| Каталожный номер | RHF05103 |
| Название антигена | Ephrin Type B Receptor 4 (EPHB4) |
| UNIPROT | P54760 |
| Английские синонимы | HTK, MYK1, TYRO11, Hepatoma transmembrane kinase, Tyrosine-protein kinase TYRO11 |
Реактивность подтвержденная Нужна другая реактивность? |
человек |
| Источник (хозяин) | мышь |
| Изотип | IgG2a |
| Клональность | моноклональное |
| Клон | R3N27 |
| Рекомбинантное | да |
| Готовое к использованию | нет |
| Концентрация | 1 мг/мл |
| Конъюгат | нет |
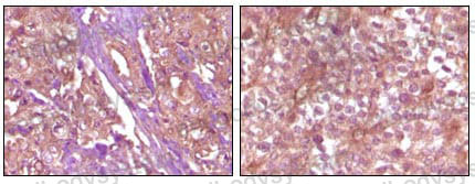
| Валидировано для | IHC Иммуногистохимия |
| Рекомендуемые разведения | IHC: 1:200-1:1000 |
| Метод очистки | Очистка с белками A/G из супернатанта клеточной культуры |
| Чистота | >95% |
| Состав буфера | 0.01M PBS, pH 7.4, 0.05% натрия азид |
| Условия хранения | Хранить при 4°C не более 1-2 недель. Хранить при -20°C - 12 месяцев |
| Срок хранения | 12 месяцев |
| Производитель | AntibodySystem |
| Ссылка на страницу товара на сайте производителя | https://www.antibodysystem.com/product/35897.html |
|
Артикул
|
Наименование |
Производитель
|
|---|
|
Артикул
|
Наименование |
Производитель
|
|---|
|
Артикул
|
Наименование |
Производитель
|
|---|
Акции и предложения
Популярные продукты:
ELISA Kit DIY Materials for Transmembrane Protein 173 (TMEM173) (KSN011Mu01)
Организм: мышь
Диапазон определения: 0.156-10 нг/мл
Чувствительность: 0.054 нг/мл
Диапазон определения: 0.156-10 нг/мл
Чувствительность: 0.054 нг/мл
ELISA Kit DIY Materials for Family With Sequence Similarity 3, Member C (FAM3C) (KSL506Hu01)
Организм: человек
Диапазон определения: 0.156-10 нг/мл
Чувствительность: 0.058 нг/мл
Диапазон определения: 0.156-10 нг/мл
Чувствительность: 0.058 нг/мл
Guinea Pig Calcium activated potassium channel subunit Alpha 1(KCNMA1) ELISA kit (E05C2314)
Организм: морская свинка
Monkey Leukotriene A4 Hydrolase (LTA4H) ELISA kit (E09L0040)
Организм: обезьяна
Goat Tumor Protein P63 ELISA kit (E06T0290)
Организм: коза

