| UNIPROT | O15197 |
Anti-EPHB6 Antibody (R2U47) (RHA44603)
Реактивность подтвержденная:
человек
Источник (хозяин):
мышь
Валидировано для:
IHC
WB
Характеристики
Техническое описание
| Русское название | RHA44603 Моноклональное антитело к EPHB6 (R2U47) <AntibodySystem,Китай> |
| Каталожный номер | RHA44603 |
| Название антигена | Ephrin Type B Receptor 6 (EPHB6) |
| UNIPROT | O15197 |
| Английские синонимы | HEP, Tyrosine-protein kinase-defective receptor EPH-6 |
Реактивность подтвержденная Нужна другая реактивность? |
человек |
| Источник (хозяин) | мышь |
| Изотип | IgG1 |
| Клональность | моноклональное |
| Клон | R2U47 |
| Рекомбинантное | да |
| Готовое к использованию | нет |
| Концентрация | 1 мг/мл |
| Конъюгат | нет |
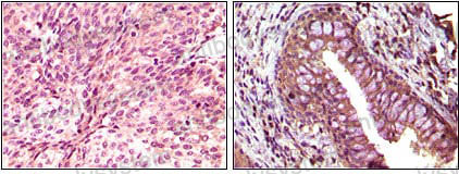
| Валидировано для | IHC WB Иммуногистохимия; Вестерн-блоттинг |
| Рекомендуемые разведения | IHC: 1:200-1:1000, WB: 1:500-1:2000 |
| Метод очистки | Очистка с белками A/G из супернатанта клеточной культуры |
| Чистота | >95% |
| Состав буфера | 0.01M PBS, pH 7.4, 0.05% натрия азид |
| Условия доставки | термобокс с аккумуляторами холода |
| Условия хранения | Хранить при 4°C не более 1-2 недель. Хранить при -20°C - 12 месяцев |
| Срок хранения | 12 месяцев |
| Производитель | AntibodySystem |
| Ссылка на страницу товара на сайте производителя | https://www.antibodysystem.com/product/34135.html |
|
Артикул
|
Наименование |
Производитель
|
|---|
|
Артикул
|
Наименование |
Производитель
|
|---|
Акции и предложения
Популярные продукты:
Guinea Pig Apolipoprotein C3 ELISA kit (E05A0516)
Организм: морская свинка
Rat Apolipoprotein C3 ELISA kit (E02A0516)
Организм: крыса
Human Apolipoprotein C3 ELISA kit (E01A0516)
Организм: человек
Диапазон определения: 250-5000 нг/мл
Чувствительность: 1 нг/мл
Диапазон определения: 250-5000 нг/мл
Чувствительность: 1 нг/мл
Anti-GMPR2 Antibody (R4D61) (RHP11701)
Источник (хозяин): мышь
Реактивность подтвержденная: человек
Валидировано для: IP, WB
Реактивность подтвержденная: человек
Валидировано для: IP, WB
Anti-FOXJ3 Antibody (R4C40) (RHP01701)
Источник (хозяин): мышь
Реактивность подтвержденная: человек
Валидировано для: IHC
Реактивность подтвержденная: человек
Валидировано для: IHC
Anti-CFHR5 Antibody (R4B40) (RHN95201)
Источник (хозяин): мышь
Реактивность подтвержденная: человек
Валидировано для: ELISA, FCM, IF, IHC
Реактивность подтвержденная: человек
Валидировано для: ELISA, FCM, IF, IHC

