| UNIPROT | P03372 |
Anti-ESR1/ER-alpha Antibody (R2Y40) (RHC03209)
Реактивность подтвержденная:
человек, мышь, крыса, кролик
Источник (хозяин):
мышь
Валидировано для:
ELISA
FCM
IF
IHC
WB
Характеристики
Техническое описание
| Русское название | RHC03209 Моноклональное антитело к ESR1/ER-alpha (R2Y40) <AntibodySystem,Китай> |
| Каталожный номер | RHC03209 |
| Название антигена | Estrogen Receptor Alpha (ERa) |
| UNIPROT | P03372 |
| Английские синонимы | ER-A1, ER, ESR, ESR1, ESRA, NR3A1, NR3-A1, Estrogen Receptor 1, Nuclear Receptor Subfamily 3,Group A,Member 1 |
Реактивность подтвержденная Нужна другая реактивность? |
человек, мышь, крыса, кролик |
| Источник (хозяин) | мышь |
| Изотип | IgG1 |
| Клональность | моноклональное |
| Клон | R2Y40 |
| Рекомбинантное | да |
| Готовое к использованию | нет |
| Концентрация | 1 мг/мл |
| Конъюгат | нет |
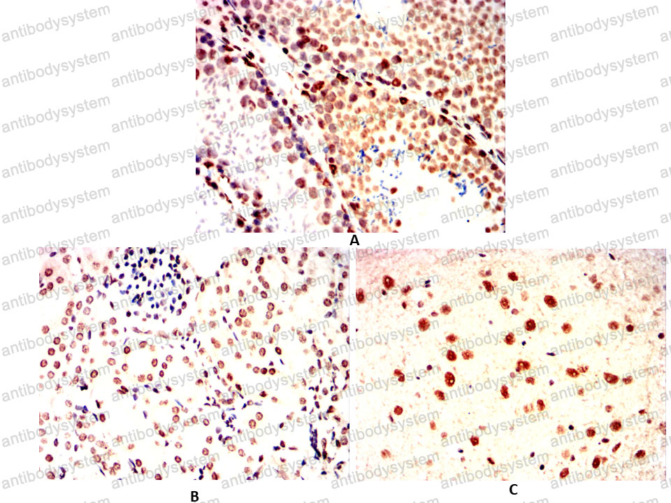
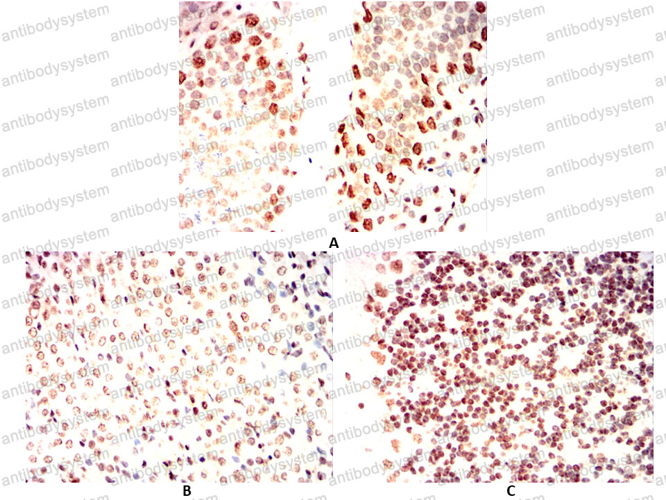
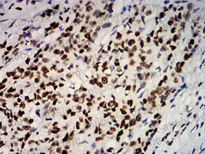
| Валидировано для | ELISA FCM IF IHC WB Иммуноферментный анализ; Проточная цитометрия; Иммунофлуоресценция; Иммуногистохимия; Вестерн-блоттинг |
| Рекомендуемые разведения | ELISA: 1:10000, FCM: 1:200-1:400, IF: 1:50-1:500, IHC: 1:100-1:500, WB: 1:500-1:2000 |
| Метод очистки | Очистка с белками A/G из супернатанта клеточной культуры |
| Чистота | >95% |
| Состав буфера | 0.01M PBS, pH 7.4, 0.05% натрия азид |
| Условия доставки | термобокс с аккумуляторами холода |
| Условия хранения | Хранить при 4°C не более 1-2 недель. Хранить при -20°C - 12 месяцев |
| Срок хранения | 12 месяцев |
| Производитель | AntibodySystem |
| Ссылка на страницу товара на сайте производителя | https://www.antibodysystem.com/product/34524.html |
|
Артикул
|
Наименование |
Производитель
|
|---|
|
Артикул
|
Наименование |
Производитель
|
|---|
|
Артикул
|
Наименование |
Производитель
|
|---|
|
Артикул
|
Наименование |
Производитель
|
|---|
|
Артикул
|
Наименование |
Производитель
|
|---|
Акции и предложения
Популярные продукты:
Sheep Creatine kinase B type(CKB) ELISA kit (E14C1743)
Организм: овца
Bovine Aquaporin 4 ELISA kit (E11A0467)
Организм: корова
Recombinant EBOV (subtype Zaire, strain H.sapiens-wt/GIN/2014/Kissidougou-C15) GP1 / Glycoprotein Protein (His Tag) (PKSV030156)
Источник (хозяин): HEK293
Организм: вирусы
Фрагмент: Met1-Arg501
Теги: C-His
Биоактивность: нет
Организм: вирусы
Фрагмент: Met1-Arg501
Теги: C-His
Биоактивность: нет
Anti-Human ESR1/ER-alpha Antibody (RB133) (RHC03202)
Источник (хозяин): мышь
Реактивность подтвержденная: человек
Валидировано для: ELISA
Реактивность подтвержденная: человек
Валидировано для: ELISA
Recombinant Human DIAPH1 Protein, N-His (YHA95701)
Источник (хозяин): E.coli
Организм: человек
Фрагмент: Asp389-Pro583
Теги: N-His
Биоактивность: нет
Организм: человек
Фрагмент: Asp389-Pro583
Теги: N-His
Биоактивность: нет
Anti-ESR1/ER-alpha Antibody (R2Y40) (RHC03209)
Источник (хозяин): мышь
Реактивность подтвержденная: человек, мышь, крыса, кролик
Валидировано для: ELISA, FCM, IF, IHC, WB
Реактивность подтвержденная: человек, мышь, крыса, кролик
Валидировано для: ELISA, FCM, IF, IHC, WB

