| UNIPROT | P11413 |
Anti-G6PD Antibody (R1N37) (RHC88401)
Реактивность подтвержденная:
человек, крыса
Источник (хозяин):
кролик
Валидировано для:
IHC
IP
WB
Характеристики
Техническое описание
| Русское название | RHC88401 Моноклональное антитело к G6PD (R1N37) <AntibodySystem,Китай> |
| Каталожный номер | RHC88401 |
| Название антигена | Glucose 6 Phosphate Dehydrogenase (G6PD) |
| UNIPROT | P11413 |
| Английские синонимы | Glucose-6-phosphate 1-dehydrogenase |
| Русские синонимы | Г6ФД |
Реактивность подтвержденная Нужна другая реактивность? |
человек, крыса |
| Источник (хозяин) | кролик |
| Изотип | IgG |
| Клональность | моноклональное |
| Клон | R1N37 |
| Рекомбинантное | да |
| Готовое к использованию | нет |
| Концентрация | 1 мг/мл |
| Конъюгат | нет |
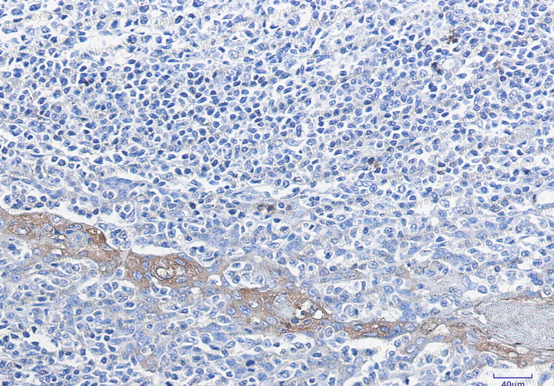
| Валидировано для | IHC IP WB Иммуногистохимия; Иммунопреципитация; Вестерн-блоттинг |
| Рекомендуемые разведения | IHC: 1:50-1:100, IP: 1:20, WB: 1:500-1:1000 |
| Метод очистки | Очистка с белками A/G из супернатанта клеточной культуры |
| Чистота | >95% |
| Состав буфера | 0.01M PBS, pH 7.4, 0.05% БСА, 50% глицерин, 0.05% азид натрия |
| Условия доставки | термобокс с аккумуляторами холода |
| Условия хранения | Хранить при -20 С -12 месяцев |
| Срок хранения | 12 месяцев |
| Производитель | AntibodySystem |
| Ссылка на страницу товара на сайте производителя | https://www.antibodysystem.com/product/30878.html |
|
Артикул
|
Наименование |
Производитель
|
|---|
|
Артикул
|
Наименование |
Производитель
|
|---|
|
Артикул
|
Наименование |
Производитель
|
|---|
|
Артикул
|
Наименование |
Производитель
|
|---|
|
Артикул
|
Наименование |
Производитель
|
|---|
|
Артикул
|
Наименование |
Производитель
|
|---|
Акции и предложения
Популярные продукты:
Anti-Mouse TNC Antibody (SAb2380) (RMD64001)
Источник (хозяин): мышь
Реактивность подтвержденная: мышь
Валидировано для: ELISA, IHC, SPR
Реактивность подтвержденная: мышь
Валидировано для: ELISA, IHC, SPR
Anti-Human CD63/LAMP3 Antibody (Fs0321), APC (FHC37632)
Источник (хозяин): мышь
Реактивность подтвержденная: человек
Валидировано для: ELISA, FCM, WB
Реактивность подтвержденная: человек
Валидировано для: ELISA, FCM, WB
Guinea Pig Progesterone receptor membrane component 2 ELISA kit (E05P1255)
Организм: морская свинка
Canine Coatomer subunit β(COPB1) ELISA kit (E08C1932)
Организм: собака

