| UNIPROT | P09382 |
Anti-Gal1/LGALS1 Antibody (R3B59) (RHC40105)
Реактивность подтвержденная:
человек
Источник (хозяин):
мышь
Валидировано для:
ELISA
FCM
IHC
Характеристики
Техническое описание
| Русское название | RHC40105 Моноклональное антитело к Gal1/LGALS1 (R3B59) <AntibodySystem,Китай> |
| Каталожный номер | RHC40105 |
| Название антигена | Galectin 1 (GAL1) |
| UNIPROT | P09382 |
| Английские синонимы | LGALS1, GBP, HLBP14, Galaptin, Lectin,Galactoside-Binding Soluble 1, 14 kDa laminin-binding protein, Lactose-binding lectin 1, Putative MAPK-activating protein PM12, S-Lac lectin |
Реактивность подтвержденная Нужна другая реактивность? |
человек |
| Источник (хозяин) | мышь |
| Изотип | IgG1 |
| Клональность | моноклональное |
| Клон | R3B59 |
| Рекомбинантное | да |
| Готовое к использованию | нет |
| Концентрация | 1 мг/мл |
| Конъюгат | нет |
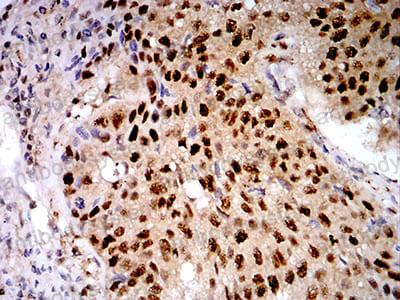
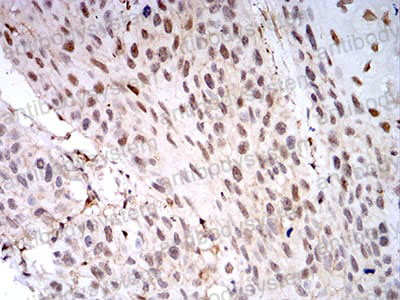
| Валидировано для | ELISA FCM IHC Иммуноферментный анализ; Проточная цитометрия; Иммуногистохимия |
| Рекомендуемые разведения | ELISA: 1:10000, FCM: 1:200-1:400, IHC: 1:200-1:1000 |
| Метод очистки | Очистка с белками A/G из супернатанта клеточной культуры |
| Чистота | >95% |
| Состав буфера | 0.01M PBS, pH 7.4, 0.05% натрия азид |
| Условия доставки | термобокс с аккумуляторами холода |
| Условия хранения | Хранить при 4°C не более 1-2 недель. Хранить при -20°C - 12 месяцев |
| Срок хранения | 12 месяцев |
| Производитель | AntibodySystem |
| Ссылка на страницу товара на сайте производителя | https://www.antibodysystem.com/product/34840.html |
|
Артикул
|
Наименование |
Производитель
|
|---|
|
Артикул
|
Наименование |
Производитель
|
|---|
|
Артикул
|
Наименование |
Производитель
|
|---|
|
Артикул
|
Наименование |
Производитель
|
|---|
|
Артикул
|
Наименование |
Производитель
|
|---|
|
Артикул
|
Наименование |
Производитель
|
|---|
|
Артикул
|
Наименование |
Производитель
|
|---|
|
Артикул
|
Наименование |
Производитель
|
|---|
|
Артикул
|
Наименование |
Производитель
|
|---|
|
Артикул
|
Наименование |
Производитель
|
|---|
|
Артикул
|
Наименование |
Производитель
|
|---|
|
Артикул
|
Наименование |
Производитель
|
|---|
Акции и предложения
Популярные продукты:
Rat Carbohyde sulfotransferase 12(CHST12) ELISA kit (E02C1706)
Организм: крыса
Chicken Adenosyl homocysteinase(AHCY) ELISA kit (E12A1332)
Организм: курица
Goat Adenosyl homocysteinase(AHCY) ELISA kit (E06A1332)
Организм: коза
Porcine Syndecan 1/CD138 ELISA kit (E07S0301)
Организм: свинья
Диапазон определения: 0.5-10 нг/мл
Чувствительность: 0.1 нг/мл
Диапазон определения: 0.5-10 нг/мл
Чувствительность: 0.1 нг/мл

