| UNIPROT | P17677 |
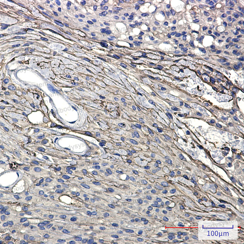
Anti-GAP43 Antibody (R1Q52) (RHD25703)
Реактивность подтвержденная:
человек, мышь, крыса
Источник (хозяин):
кролик
Валидировано для:
IF
IHC
IP
WB
Характеристики
Техническое описание
| Русское название | RHD25703 Моноклональное антитело к GAP43 (R1Q52) <AntibodySystem,Китай> |
| Каталожный номер | RHD25703 |
| Название антигена | Growth Associated Protein 43 (GAP43) |
| UNIPROT | P17677 |
| Английские синонимы | F1, B-50, PP46, Neuron Growth-Associated Protein 43, Neuromodulin, Axonal Membrane Protein GAP-43, Protein F1, Calmodulin-Binding Protein P-57, Neural Phosphoprotein B-50 |
| Русские синонимы | Белок 43, ассоциированный с ростом нейронов |
Реактивность подтвержденная Нужна другая реактивность? |
человек, мышь, крыса |
| Источник (хозяин) | кролик |
| Изотип | IgG |
| Клональность | моноклональное |
| Клон | R1Q52 |
| Рекомбинантное | да |
| Готовое к использованию | нет |
| Концентрация | 1 мг/мл |
| Конъюгат | нет |
| Валидировано для | IF IHC IP WB Иммунофлуоресценция; Иммуногистохимия; Иммунопреципитация; Вестерн-блоттинг |
| Рекомендуемые разведения | IF: 1:50-1:200, IHC: 1:50-1:100, IP: 1:20, WB: 1:500-1:1000 |
| Метод очистки | Очистка с белками A/G из супернатанта клеточной культуры |
| Чистота | >95% |
| Состав буфера | 0.01M PBS, pH 7.4, 0.05% БСА, 50% глицерин, 0.05% азид натрия |
| Условия доставки | термобокс с аккумуляторами холода |
| Условия хранения | Хранить при -20 С -12 месяцев |
| Срок хранения | 12 месяцев |
| Производитель | AntibodySystem |
| Ссылка на страницу товара на сайте производителя | https://www.antibodysystem.com/product/31091.html |
|
Артикул
|
Наименование |
Производитель
|
|---|
|
Артикул
|
Наименование |
Производитель
|
|---|
|
Артикул
|
Наименование |
Производитель
|
|---|
|
Артикул
|
Наименование |
Производитель
|
|---|
|
Артикул
|
Наименование |
Производитель
|
|---|
Акции и предложения
Популярные продукты:
Anti-Ancient Ubiquitous Protein 1 (AUP1) Polyclonal Antibody (FAC307Hu01)
Источник (хозяин): кролик
Реактивность подтвержденная: человек
Валидировано для: FCM
Реактивность подтвержденная: человек
Валидировано для: FCM
ELISA Kit DIY Materials for Growth Hormone Receptor (GHR) (KSB036Hu01)
Организм: человек
Диапазон определения: 1.56-100 нг/мл
Чувствительность: 0.59 нг/мл
Диапазон определения: 1.56-100 нг/мл
Чувствительность: 0.59 нг/мл
Monoclonal Antibody to Cytokeratin 9 (CK9) (MAA549Hu26)
Источник (хозяин): мышь
Реактивность подтвержденная: человек
Валидировано для: WB
Реактивность подтвержденная: человек
Валидировано для: WB
Monoclonal Antibody to Vinculin (VCL) (MAB839Hu23)
Источник (хозяин): мышь
Реактивность подтвержденная: человек
Валидировано для: WB
Реактивность подтвержденная: человек
Валидировано для: WB
Monoclonal Antibody to Motility Related Protein (MRP1) (MAB097Hu27)
Источник (хозяин): мышь
Реактивность подтвержденная: человек
Валидировано для: WB
Реактивность подтвержденная: человек
Валидировано для: WB
Monkey Anti Filaggrin Antibody ELISA kit (E09A0428)
Организм: обезьяна

