| UNIPROT | P04406 |
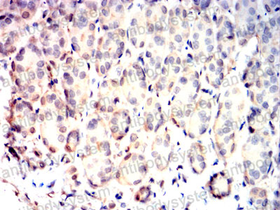
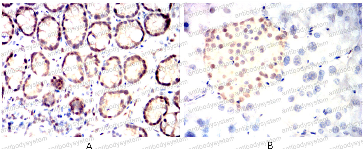
Anti-GAPDH Antibody (R2Y76) (RHC09001)
Реактивность подтвержденная:
человек, мышь, крыса, кролик, обезьяна
Источник (хозяин):
мышь
Валидировано для:
FCM
IF
IHC
WB
Характеристики
Техническое описание
| Русское название | RHC09001 Моноклональное антитело к GAPDH (R2Y76) <AntibodySystem,Китай> |
| Каталожный номер | RHC09001 |
| Название антигена | Glyceraldehyde-3-Phosphate Dehydrogenase (GAPDH) |
| UNIPROT | P04406 |
| Английские синонимы | G3PD, GAPD, Peptidyl-cysteine S-nitrosylase GAPDH |
Реактивность подтвержденная Нужна другая реактивность? |
человек, мышь, крыса, кролик, обезьяна |
| Источник (хозяин) | мышь |
| Изотип | IgG1 |
| Клональность | моноклональное |
| Клон | R2Y76 |
| Рекомбинантное | да |
| Готовое к использованию | нет |
| Концентрация | 1 мг/мл |
| Конъюгат | нет |
| Валидировано для | FCM IF IHC WB Проточная цитометрия; Иммунофлуоресценция; Иммуногистохимия; Вестерн-блоттинг |
| Рекомендуемые разведения | FCM: 1:200-1:400, IF: 1:200-1:1000, IHC: 1:200-1:1000, WB: 1:5000-1:20000 |
| Метод очистки | Очистка с белками A/G из супернатанта клеточной культуры |
| Чистота | >95% |
| Состав буфера | 0.01M PBS, pH 7.4, 0.05% натрия азид |
| Условия доставки | термобокс с аккумуляторами холода |
| Условия хранения | Хранить при 4°C не более 1-2 недель. Хранить при -20°C - 12 месяцев |
| Срок хранения | 12 месяцев |
| Производитель | AntibodySystem |
| Ссылка на страницу товара на сайте производителя | https://www.antibodysystem.com/product/34560.html |
|
Артикул
|
Наименование |
Производитель
|
|---|
|
Артикул
|
Наименование |
Производитель
|
|---|
|
Артикул
|
Наименование |
Производитель
|
|---|
|
Артикул
|
Наименование |
Производитель
|
|---|
|
Артикул
|
Наименование |
Производитель
|
|---|
|
Артикул
|
Наименование |
Производитель
|
|---|
|
Артикул
|
Наименование |
Производитель
|
|---|
|
Артикул
|
Наименование |
Производитель
|
|---|
|
Артикул
|
Наименование |
Производитель
|
|---|
|
Артикул
|
Наименование |
Производитель
|
|---|
|
Артикул
|
Наименование |
Производитель
|
|---|
Акции и предложения
Популярные продукты:
Anti-GAPDH Antibody (R2Y76) (RHC09001)
Источник (хозяин): мышь
Реактивность подтвержденная: человек, мышь, крыса, кролик, обезьяна
Валидировано для: FCM, IF, IHC, WB
Реактивность подтвержденная: человек, мышь, крыса, кролик, обезьяна
Валидировано для: FCM, IF, IHC, WB
IER5L Antibody (DF16008)
Источник (хозяин): кролик
Реактивность подтвержденная: человек, мышь, крыса
Валидировано для: IHC, IF, ICC
Реактивность подтвержденная: человек, мышь, крыса
Валидировано для: IHC, IF, ICC
XRRA1 Antibody (DF15537)
Источник (хозяин): кролик
Реактивность подтвержденная: человек, мышь
Валидировано для: IHC, WB
Реактивность подтвержденная: человек, мышь
Валидировано для: IHC, WB
PTPN3 Antibody (DF15463)
Источник (хозяин): кролик
Реактивность подтвержденная: человек
Валидировано для: IHC, IF, ICC
Реактивность подтвержденная: человек
Валидировано для: IHC, IF, ICC
POF1B Antibody (DF15259)
Источник (хозяин): кролик
Реактивность подтвержденная: человек, мышь, крыса
Валидировано для: WB
Реактивность подтвержденная: человек, мышь, крыса
Валидировано для: WB
MAPK1IP1L Antibody (DF14916)
Источник (хозяин): кролик
Реактивность подтвержденная: человек, мышь, крыса
Валидировано для: IHC, WB, IF, ICC
Реактивность подтвержденная: человек, мышь, крыса
Валидировано для: IHC, WB, IF, ICC

