| UNIPROT | O75496 |
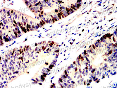
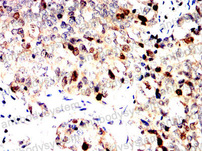
Anti-GMNN Antibody (R2V76) (RHB22803)
Реактивность подтвержденная:
человек, крыса
Источник (хозяин):
мышь
Валидировано для:
ELISA
FCM
IHC
Характеристики
Техническое описание
| Русское название | RHB22803 Моноклональное антитело к GMNN (R2V76) <AntibodySystem,Китай> |
| Каталожный номер | RHB22803 |
| Название антигена | Geminin (GMNN) |
| UNIPROT | O75496 |
| Английские синонимы | Gem, Geminin,DNA Replication Inhibitor |
Реактивность подтвержденная Нужна другая реактивность? |
человек, крыса |
| Источник (хозяин) | мышь |
| Изотип | IgG1 |
| Клональность | моноклональное |
| Клон | R2V76 |
| Рекомбинантное | да |
| Готовое к использованию | нет |
| Концентрация | 1 мг/мл |
| Конъюгат | нет |
| Валидировано для | ELISA FCM IHC Иммуноферментный анализ; Проточная цитометрия; Иммуногистохимия |
| Рекомендуемые разведения | ELISA: 1:10000, FCM: 1:200-1:400, IHC: 1:200-1:1000 |
| Метод очистки | Очистка с белками A/G из супернатанта клеточной культуры |
| Чистота | >95% |
| Состав буфера | 0.01M PBS, pH 7.4, 0.05% натрия азид |
| Условия доставки | термобокс с аккумуляторами холода |
| Условия хранения | Хранить при 4°C не более 1-2 недель. Хранить при -20°C - 12 месяцев |
| Срок хранения | 12 месяцев |
| Производитель | AntibodySystem |
| Ссылка на страницу товара на сайте производителя | https://www.antibodysystem.com/product/34263.html |
|
Артикул
|
Наименование |
Производитель
|
|---|
|
Артикул
|
Наименование |
Производитель
|
|---|
|
Артикул
|
Наименование |
Производитель
|
|---|
|
Артикул
|
Наименование |
Производитель
|
|---|
Акции и предложения
Популярные продукты:
Anti-Human IA-2/PTPRN Monoclonal Antibody (1A469) (MHH38901)
Источник (хозяин): мышь
Реактивность подтвержденная: человек
Валидировано для: ELISA, IF, IHC, WB
Реактивность подтвержденная: человек
Валидировано для: ELISA, IF, IHC, WB
ELISA Kit DIY Materials for Cyclosporin A (CsA) (KSK644Ge11)
Организм: для всех
Диапазон определения: 780-50000 пг/мл
Чувствительность: 367 пг/мл
Диапазон определения: 780-50000 пг/мл
Чувствительность: 367 пг/мл
ELISA Kit DIY Materials for Chemokine (C-X-C Motif) Ligand 2 (CXCL2) (KSB603Hu01)
Организм: человек
Диапазон определения: 15.6-1000 пг/мл
Чувствительность: 5.6 пг/мл
Диапазон определения: 15.6-1000 пг/мл
Чувствительность: 5.6 пг/мл
Bovine Caprin 1(CAPRIN1) ELISA kit (E11C1368)
Организм: корова
Sheep LIM/homeobox protein Lhx1(LHX1) ELISA kit (E14L0100)
Организм: овца
Rat Condensin 2 complex subunit D3(NCAPD3) ELISA kit (E02C2354)
Организм: крыса

