| UNIPROT | P00505 |
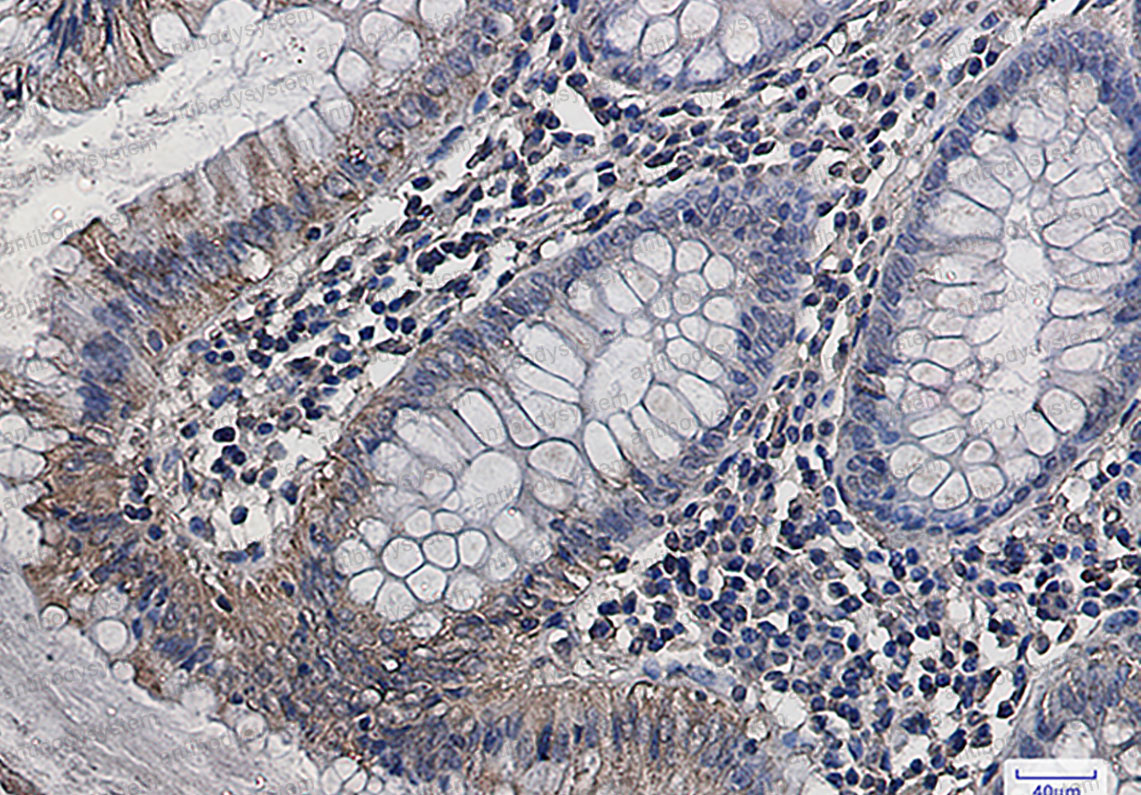
Anti-GOT2 Antibody (R1H27) (RHB86701)
Реактивность подтвержденная:
человек, мышь, крыса
Источник (хозяин):
кролик
Валидировано для:
IHC
IP
WB
Характеристики
Техническое описание
| Русское название | RHB86701 Моноклональное антитело к GOT2 (R1H27) <AntibodySystem,Китай> |
| Каталожный номер | RHB86701 |
| Название антигена | Aspartate Aminotransferase 2 (AST2) |
| UNIPROT | P00505 |
| Английские синонимы | GOT2, MitAAT, KATIV, KAT4, FABP-1, Plasma membrane-associated fatty acid-binding protein, Glutamic-Oxaloacetic Transaminase 2,Mitochondrial, Kynurenine Aminotransferase IV |
Реактивность подтвержденная Нужна другая реактивность? |
человек, мышь, крыса |
| Источник (хозяин) | кролик |
| Изотип | IgG |
| Клональность | моноклональное |
| Клон | R1H27 |
| Рекомбинантное | да |
| Готовое к использованию | нет |
| Концентрация | 1 мг/мл |
| Конъюгат | нет |
| Валидировано для | IHC IP WB Иммуногистохимия; Иммунопреципитация; Вестерн-блоттинг |
| Рекомендуемые разведения | IHC: 1:50-1:100, IP: 1:20, WB: 1:500-1:1000 |
| Метод очистки | Очистка с белками A/G из супернатанта клеточной культуры |
| Чистота | >95% |
| Состав буфера | 0.01M PBS, pH 7.4, 0.05% БСА, 50% глицерин, 0.05% азид натрия |
| Условия доставки | термобокс с аккумуляторами холода |
| Условия хранения | Хранить при -20 С -12 месяцев |
| Срок хранения | 12 месяцев |
| Производитель | AntibodySystem |
| Ссылка на страницу товара на сайте производителя | https://www.antibodysystem.com/product/30373.html |
|
Артикул
|
Наименование |
Производитель
|
|---|
|
Артикул
|
Наименование |
Производитель
|
|---|
|
Артикул
|
Наименование |
Производитель
|
|---|
|
Артикул
|
Наименование |
Производитель
|
|---|
Акции и предложения
Популярные продукты:
Rabbit Thromboxanes B2 ELISA kit (E04T0025)
Организм: кролик
Mouse IgA Isotype Control Antibody (S107), PerCP (FMD76414)
Источник (хозяин): мышь
Валидировано для: CTRL, FCM
Валидировано для: CTRL, FCM
Recombinant Human SIRT7 Protein, N-His (YHJ65801)
Источник (хозяин): E.coli
Организм: человек
Фрагмент: Met1-Thr400
Теги: N-His
Биоактивность: нет
Организм: человек
Фрагмент: Met1-Thr400
Теги: N-His
Биоактивность: нет
Anti-MSI1 Antibody (R2U85) (RHA65301)
Источник (хозяин): мышь
Реактивность подтвержденная: человек
Валидировано для: ELISA, FCM, WB
Реактивность подтвержденная: человек
Валидировано для: ELISA, FCM, WB
Anti-RGL2 Antibody (R2U50) (RHA45102)
Источник (хозяин): мышь
Реактивность подтвержденная: человек
Валидировано для: IP
Реактивность подтвержденная: человек
Валидировано для: IP
Anti-CD8A Antibody (R1H84) (RHB96001)
Источник (хозяин): кролик
Реактивность подтвержденная: человек, хомяк
Валидировано для: IHC, WB
Реактивность подтвержденная: человек, хомяк
Валидировано для: IHC, WB

