| UNIPROT | Q16099 |
Anti-GRIK4 Antibody (R3U21) (RHH24201)
Реактивность подтвержденная:
человек
Источник (хозяин):
мышь
Валидировано для:
ELISA
FCM
IF
IHC
Характеристики
Техническое описание
| Русское название | RHH24201 Моноклональное антитело к GRIK4 (R3U21) <AntibodySystem,Китай> |
| Каталожный номер | RHH24201 |
| Название антигена | Glutamate Receptor, Ionotropic, Kainate 4 (GRIK4) |
| UNIPROT | Q16099 |
| Английские синонимы | GRIK, KA1, EAA1, GluK4, Excitatory amino acid receptor 1, Glutamate receptor KA-1 |
Реактивность подтвержденная Нужна другая реактивность? |
человек |
| Источник (хозяин) | мышь |
| Изотип | IgG2b |
| Клональность | моноклональное |
| Клон | R3U21 |
| Рекомбинантное | да |
| Готовое к использованию | нет |
| Концентрация | 1 мг/мл |
| Конъюгат | нет |
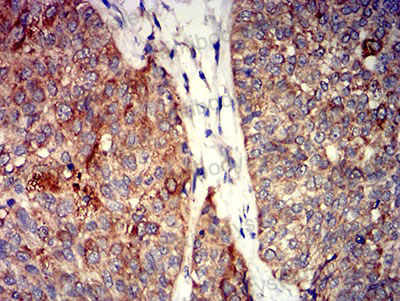
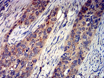
| Валидировано для | ELISA FCM IF IHC Иммуноферментный анализ; Проточная цитометрия; Иммунофлуоресценция; Иммуногистохимия |
| Рекомендуемые разведения | ELISA: 1:10000, FCM: 1:200-1:400, IF: 1:200-1:1000, IHC: 1:200-1:1000 |
| Метод очистки | Очистка с белками A/G из супернатанта клеточной культуры |
| Чистота | >95% |
| Состав буфера | 0.01M PBS, pH 7.4, 0.05% натрия азид |
| Условия хранения | Хранить при 4°C не более 1-2 недель. Хранить при -20°C - 12 месяцев |
| Срок хранения | 12 месяцев |
| Производитель | AntibodySystem |
| Ссылка на страницу товара на сайте производителя | https://www.antibodysystem.com/product/36484.html |
|
Артикул
|
Наименование |
Производитель
|
|---|
|
Артикул
|
Наименование |
Производитель
|
|---|
Акции и предложения
Популярные продукты:
Rabbit Angiopoietin Like Protein 3 ELISA kit (E04A0506)
Организм: кролик
Porcine Dystrophin ELISA kit (E07D0029)
Организм: свинья
Bovine Glucokinase ELISA kit (E11G0103)
Организм: корова
Porcine Folic acid ELISA kit (E07F0200)
Организм: свинья
Human Immunoglobulin G ELISA kit (E01I0058)
Организм: человек
Диапазон определения: 50-1000 мкг/мл
Чувствительность: 1 мкг/мл
Диапазон определения: 50-1000 мкг/мл
Чувствительность: 1 мкг/мл
Bovine Galectin 12 ELISA kit (E11G0042)
Организм: корова

