| UNIPROT | Q14416 |
Anti-GRM2 Antibody (R2F42) (RHG79402)
Реактивность подтвержденная:
человек, мышь
Источник (хозяин):
кролик
Валидировано для:
IHC
WB
Характеристики
Техническое описание
| Русское название | RHG79402 Моноклональное антитело к GRM2 (R2F42) <AntibodySystem,Китай> |
| Каталожный номер | RHG79402 |
| Название антигена | Glutamate Receptor, Metabotropic 2 (GRM2) |
| UNIPROT | Q14416 |
| Английские синонимы | GPRC1B, mGLUR2, mGlu2 |
Реактивность подтвержденная Нужна другая реактивность? |
человек, мышь |
| Источник (хозяин) | кролик |
| Изотип | IgG |
| Клональность | моноклональное |
| Клон | R2F42 |
| Рекомбинантное | да |
| Готовое к использованию | нет |
| Концентрация | 1 мг/мл |
| Конъюгат | нет |
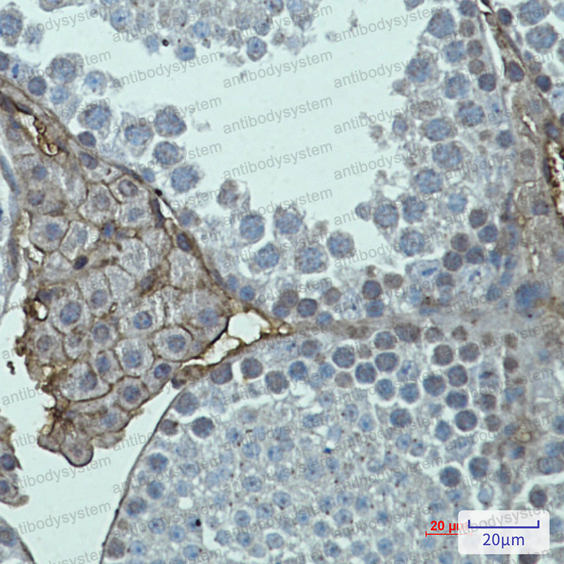
| Валидировано для | IHC WB Иммуногистохимия; Вестерн-блоттинг |
| Рекомендуемые разведения | IHC: 1:50-1:100, WB: 1:500-1:1000 |
| Метод очистки | Очистка с белками A/G из супернатанта клеточной культуры |
| Чистота | >95% |
| Состав буфера | 0.01M PBS, pH 7.4, 0.05% БСА, 50% глицерин, 0.05% азид натрия |
| Условия доставки | термобокс с аккумуляторами холода |
| Условия хранения | Хранить при -20 С -12 месяцев |
| Срок хранения | 12 месяцев |
| Производитель | AntibodySystem |
| Ссылка на страницу товара на сайте производителя | https://www.antibodysystem.com/product/32566.html |
|
Артикул
|
Наименование |
Производитель
|
|---|
|
Артикул
|
Наименование |
Производитель
|
|---|
Акции и предложения
Популярные продукты:
ELISA Kit DIY Materials for Flotillin 2 (FLOT2) (KSC480Hu01)
Организм: человек
Диапазон определения: 0.625-40 нг/мл
Чувствительность: 0.217 нг/мл
Диапазон определения: 0.625-40 нг/мл
Чувствительность: 0.217 нг/мл
Rabbit Cyclin dependent kinase like 3(CDKL3) ELISA kit (E04C1567)
Организм: кролик
Sheep Engulfment And Cell Motility 2 ELISA kit (E14E0049)
Организм: овца
Recombinant Mouse CDH4 Protein, N-His (YMF11701)
Источник (хозяин): E.coli
Организм: мышь
Фрагмент: Ile170-Asp381
Теги: N-His
Биоактивность: нет
Организм: мышь
Фрагмент: Ile170-Asp381
Теги: N-His
Биоактивность: нет
Anti-AKT2 Antibody (R3J20) (RHD96601)
Источник (хозяин): мышь
Реактивность подтвержденная: человек, крыса, обезьяна
Валидировано для: IF, IHC, WB
Реактивность подтвержденная: человек, крыса, обезьяна
Валидировано для: IF, IHC, WB
Anti-AKT1 Antibody (R3J18) (RHD96513)
Источник (хозяин): мышь
Реактивность подтвержденная: человек, мышь, крыса
Валидировано для: IHC
Реактивность подтвержденная: человек, мышь, крыса
Валидировано для: IHC

