| UNIPROT | Q14832 |
Anti-GRM3 Antibody (R3T39) (RHG91001)
Реактивность подтвержденная:
человек
Источник (хозяин):
мышь
Валидировано для:
ELISA
FCM
IHC
Характеристики
Техническое описание
| Русское название | RHG91001 Моноклональное антитело к GRM3 (R3T39) <AntibodySystem,Китай> |
| Каталожный номер | RHG91001 |
| Название антигена | Glutamate Receptor, Metabotropic 3 (GRM3) |
| UNIPROT | Q14832 |
| Английские синонимы | GLUR3, GPRC1C, MGLUR3, MGlu3 |
Реактивность подтвержденная Нужна другая реактивность? |
человек |
| Источник (хозяин) | мышь |
| Изотип | IgG1 |
| Клональность | моноклональное |
| Клон | R3T39 |
| Рекомбинантное | да |
| Готовое к использованию | нет |
| Концентрация | 1 мг/мл |
| Конъюгат | нет |
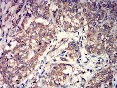
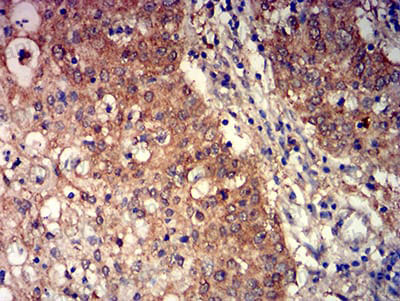
| Валидировано для | ELISA FCM IHC Иммуноферментный анализ; Проточная цитометрия; Иммуногистохимия |
| Рекомендуемые разведения | ELISA: 1:10000, FCM: 1:200-1:400, IHC: 1:200-1:1000 |
| Метод очистки | Очистка с белками A/G из супернатанта клеточной культуры |
| Чистота | >95% |
| Состав буфера | 0.01M PBS, pH 7.4, 0.05% натрия азид |
| Условия хранения | Хранить при 4°C не более 1-2 недель. Хранить при -20°C - 12 месяцев |
| Срок хранения | 12 месяцев |
| Производитель | AntibodySystem |
| Ссылка на страницу товара на сайте производителя | https://www.antibodysystem.com/product/36403.html |
|
Артикул
|
Наименование |
Производитель
|
|---|
|
Артикул
|
Наименование |
Производитель
|
|---|
Акции и предложения
Популярные продукты:
Mouse Utrophin ELISA kit (E03U0030)
Организм: мышь
Sheep GATA Binding Protein 1 ELISA kit (E14G0084)
Организм: овца
Mouse GATA Binding Protein 1 ELISA kit (E03G0084)
Организм: мышь
Anti-SFTSV Gn/Glycoprotein N Antibody (SAb2308) (RVV33501)
Источник (хозяин): человек
Реактивность подтвержденная: вирусы
Валидировано для: ELISA, IF, SPR, WB
Реактивность подтвержденная: вирусы
Валидировано для: ELISA, IF, SPR, WB
ELISA Kit DIY Materials for Complement Component 4d (C4d) (KSS103Ra01)
Организм: крыса
Диапазон определения: 0.625-40 нг/мл
Чувствительность: 0.232 нг/мл
Диапазон определения: 0.625-40 нг/мл
Чувствительность: 0.232 нг/мл
Monoclonal Antibody to Cluster Of Differentiation 5 (CD5) (MAB798Hu24)
Источник (хозяин): мышь
Реактивность подтвержденная: человек
Валидировано для: ICC, IF
Реактивность подтвержденная: человек
Валидировано для: ICC, IF

