| UNIPROT | P49841 |
Anti-GSK3B Antibody (R3M08) (RHE72104)
Реактивность подтвержденная:
человек, мышь
Источник (хозяин):
мышь
Валидировано для:
ELISA
FCM
IHC
Характеристики
Техническое описание
| Русское название | RHE72104 Моноклональное антитело к GSK3B (R3M08) <AntibodySystem,Китай> |
| Каталожный номер | RHE72104 |
| Название антигена | Glycogen Synthase Kinase 3 Beta (GSK3b) |
| UNIPROT | P49841 |
| Английские синонимы | Serine/threonine-protein kinase GSK3B |
Реактивность подтвержденная Нужна другая реактивность? |
человек, мышь |
| Источник (хозяин) | мышь |
| Изотип | IgG1 |
| Клональность | моноклональное |
| Клон | R3M08 |
| Рекомбинантное | да |
| Готовое к использованию | нет |
| Концентрация | 1 мг/мл |
| Конъюгат | нет |
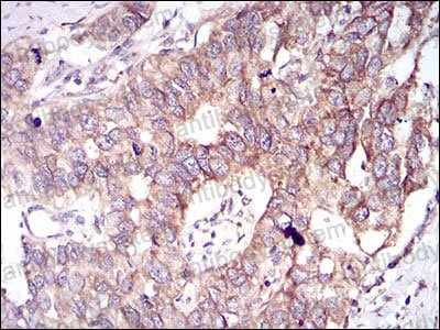
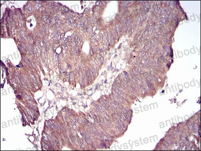
| Валидировано для | ELISA FCM IHC Иммуноферментный анализ; Проточная цитометрия; Иммуногистохимия |
| Рекомендуемые разведения | ELISA: 1:10000, FCM: 1:200-1:400, IHC: 1:200-1:1000 |
| Метод очистки | Очистка с белками A/G из супернатанта клеточной культуры |
| Чистота | >95% |
| Состав буфера | 0.01M PBS, pH 7.4, 0.05% натрия азид |
| Условия хранения | Хранить при 4°C не более 1-2 недель. Хранить при -20°C - 12 месяцев |
| Срок хранения | 12 месяцев |
| Производитель | AntibodySystem |
| Ссылка на страницу товара на сайте производителя | https://www.antibodysystem.com/product/35779.html |
|
Артикул
|
Наименование |
Производитель
|
|---|
|
Артикул
|
Наименование |
Производитель
|
|---|
|
Артикул
|
Наименование |
Производитель
|
|---|
|
Артикул
|
Наименование |
Производитель
|
|---|
|
Артикул
|
Наименование |
Производитель
|
|---|
|
Артикул
|
Наименование |
Производитель
|
|---|
Акции и предложения
Популярные продукты:
Goat Amyloid like protein 2(APLP2) ELISA kit (E06A1595)
Организм: коза
Guinea Pig Collagen Alpha 3(VI) chain (COL6A3) ELISA kit (E05C1920)
Организм: морская свинка
Guinea Pig Collagen Alpha 4(IV) chain (COL4A4) ELISA kit (E05C1913)
Организм: морская свинка
Canine C C chemokine receptor type 10(CCR10) ELISA kit (E08C1453)
Организм: собака

