| UNIPROT | P09211 |
Anti-GSTP1 Antibody (R3B56) (RHC39303)
Реактивность подтвержденная:
человек
Источник (хозяин):
мышь
Валидировано для:
ELISA
FCM
IF
IHC
WB
Характеристики
Техническое описание
| Русское название | RHC39303 Моноклональное антитело к GSTP1 (R3B56) <AntibodySystem,Китай> |
| Каталожный номер | RHC39303 |
| Название антигена | Glutathione S Transferase Pi (GSTp) |
| UNIPROT | P09211 |
| Английские синонимы | GSTP1, GST-P1, DFN7, FAEES3, GST3 |
Реактивность подтвержденная Нужна другая реактивность? |
человек |
| Источник (хозяин) | мышь |
| Изотип | IgG1 |
| Клональность | моноклональное |
| Клон | R3B56 |
| Рекомбинантное | да |
| Готовое к использованию | нет |
| Концентрация | 1 мг/мл |
| Конъюгат | нет |
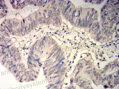
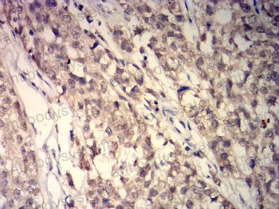
| Валидировано для | ELISA FCM IF IHC WB Иммуноферментный анализ; Проточная цитометрия; Иммунофлуоресценция; Иммуногистохимия; Вестерн-блоттинг |
| Рекомендуемые разведения | ELISA: 1:10000, FCM: 1:200-1:400, IF: 1:200-1:1000, IHC: 1:200-1:1000, WB: 1:500-1:2000 |
| Метод очистки | Очистка с белками A/G из супернатанта клеточной культуры |
| Чистота | >95% |
| Состав буфера | 0.01M PBS, pH 7.4, 0.05% натрия азид |
| Условия доставки | термобокс с аккумуляторами холода |
| Условия хранения | Хранить при 4°C не более 1-2 недель. Хранить при -20°C - 12 месяцев |
| Срок хранения | 12 месяцев |
| Производитель | AntibodySystem |
| Ссылка на страницу товара на сайте производителя | https://www.antibodysystem.com/product/34837.html |
|
Артикул
|
Наименование |
Производитель
|
|---|
|
Артикул
|
Наименование |
Производитель
|
|---|
|
Артикул
|
Наименование |
Производитель
|
|---|
|
Артикул
|
Наименование |
Производитель
|
|---|
|
Артикул
|
Наименование |
Производитель
|
|---|
|
Артикул
|
Наименование |
Производитель
|
|---|
|
Артикул
|
Наименование |
Производитель
|
|---|
Акции и предложения
Популярные продукты:
ELISA Kit DIY Materials for Intercellular Adhesion Molecule 1 (ICAM1) (KSA548Rb01)
Организм: кролик
Диапазон определения: 6.25-400 пг/мл
Чувствительность: 2.99 пг/мл
Диапазон определения: 6.25-400 пг/мл
Чувствительность: 2.99 пг/мл
Sheep Protein BTG3(BTG3) ELISA kit (E14P0800)
Организм: овца
Bovine Lecithin Cholesterol Acyltransferase ELISA kit (E11L0303)
Организм: корова
Canine Lecithin Cholesterol Acyltransferase ELISA kit (E08L0303)
Организм: собака
Porcine Lecithin Cholesterol Acyltransferase ELISA kit (E07L0303)
Организм: свинья

