| UNIPROT | Q02747 |
Anti-GUCA2A Antibody (R3Q65) (RHF95401)
Реактивность подтвержденная:
человек
Источник (хозяин):
мышь
Валидировано для:
IHC
Характеристики
Техническое описание
| Русское название | RHF95401 Моноклональное антитело к GUCA2A (R3Q65) <AntibodySystem,Китай> |
| Каталожный номер | RHF95401 |
| Название антигена | Guanylate Cyclase Activator 2A (GUCA2A) |
| UNIPROT | Q02747 |
| Английские синонимы | GUCA2, STARA, GCAP-I, Guanylin, Guanylate cyclase-activating protein 1 |
Реактивность подтвержденная Нужна другая реактивность? |
человек |
| Источник (хозяин) | мышь |
| Изотип | IgG1 |
| Клональность | моноклональное |
| Клон | R3Q65 |
| Рекомбинантное | да |
| Готовое к использованию | нет |
| Концентрация | 1 мг/мл |
| Конъюгат | нет |
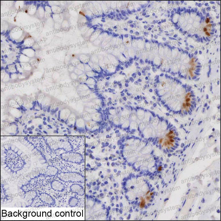
| Валидировано для | IHC Иммуногистохимия |
| Рекомендуемые разведения | IHC: 1:25-1:200 |
| Метод очистки | Очистка с белками A/G из супернатанта клеточной культуры |
| Чистота | >95% |
| Состав буфера | 0.01M PBS, pH 7.4, 0.05% натрия азид |
| Условия хранения | Хранить при 4°C не более 1-2 недель. Хранить при -20°C - 12 месяцев |
| Срок хранения | 12 месяцев |
| Производитель | AntibodySystem |
| Ссылка на страницу товара на сайте производителя | https://www.antibodysystem.com/product/36133.html |
|
Артикул
|
Наименование |
Производитель
|
|---|
|
Артикул
|
Наименование |
Производитель
|
|---|
Акции и предложения
Популярные продукты:
Sheep Testosterone, Free ELISA kit (E14T0561)
Организм: овца
Диапазон определения: 1-25 нг/мл
Чувствительность: 0.1 нг/мл
Диапазон определения: 1-25 нг/мл
Чувствительность: 0.1 нг/мл
Human Testosterone, Free ELISA kit (E01T0561)
Организм: человек
Диапазон определения: 25-500 пг/мл
Чувствительность: 1 пг/мл
Диапазон определения: 25-500 пг/мл
Чувствительность: 1 пг/мл
Mouse SET domain containing 1B ELISA kit (E03S0800)
Организм: мышь
Sheep Guanylin(GUCA2A) ELISA kit (E14G0443)
Организм: овца

