| UNIPROT | P12081 |
Anti-HARS1 Antibody (R3C83) (RHC91904)
Реактивность подтвержденная:
человек
Источник (хозяин):
мышь
Валидировано для:
IHC
Характеристики
Техническое описание
| Русское название | RHC91904 Моноклональное антитело к HARS1 (R3C83) <AntibodySystem,Китай> |
| Каталожный номер | RHC91904 |
| Название антигена | Histidyl tRNA Synthetase (HARS) |
| UNIPROT | P12081 |
| Английские синонимы | HRS, Jo1, Jo-1, HisRS, Histidine tRNA Ligase 1,Cytoplasmic |
Реактивность подтвержденная Нужна другая реактивность? |
человек |
| Источник (хозяин) | мышь |
| Изотип | IgG1 |
| Клональность | моноклональное |
| Клон | R3C83 |
| Рекомбинантное | да |
| Готовое к использованию | нет |
| Концентрация | 1 мг/мл |
| Конъюгат | нет |
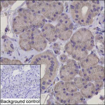
| Валидировано для | IHC Иммуногистохимия |
| Рекомендуемые разведения | IHC: 1:100-1:200 |
| Метод очистки | Очистка с белками A/G из супернатанта клеточной культуры |
| Чистота | >95% |
| Состав буфера | 0.01M PBS, pH 7.4, 0.05% натрия азид |
| Условия доставки | термобокс с аккумуляторами холода |
| Условия хранения | Хранить при 4°C не более 1-2 недель. Хранить при -20°C - 12 месяцев |
| Срок хранения | 12 месяцев |
| Производитель | AntibodySystem |
| Ссылка на страницу товара на сайте производителя | https://www.antibodysystem.com/product/34963.html |
|
Артикул
|
Наименование |
Производитель
|
|---|
|
Артикул
|
Наименование |
Производитель
|
|---|
|
Артикул
|
Наименование |
Производитель
|
|---|
Акции и предложения
Популярные продукты:
Sheep Glucosidase Alpha, Neutral C ELISA kit (E14G0582)
Организм: овца
Goat Glucosidase Alpha, Neutral C ELISA kit (E06G0582)
Организм: коза
Rat Glucosidase Alpha, Neutral C ELISA kit (E02G0582)
Организм: крыса
Rat Gap Junction Protein β 1 ELISA kit (E02G0181)
Организм: крыса
Bovine Carnosine ELISA kit (E11C0361)
Организм: корова
Goat Ornithine Decarboxylase ELISA kit (E06O0013)
Организм: коза

