| UNIPROT | Q13547 |
Anti-HDAC1 Antibody (R3S72) (RHG58204)
Реактивность подтвержденная:
человек, мышь, крыса
Источник (хозяин):
мышь
Валидировано для:
IHC
Характеристики
Техническое описание
| Русское название | RHG58204 Моноклональное антитело к HDAC1 (R3S72) <AntibodySystem,Китай> |
| Каталожный номер | RHG58204 |
| Название антигена | Histone Deacetylase 1 (HDAC1) |
| UNIPROT | Q13547 |
| Английские синонимы | HDAC1, GON10, HD1, RPD3, RPD3L1 |
Реактивность подтвержденная Нужна другая реактивность? |
человек, мышь, крыса |
| Источник (хозяин) | мышь |
| Изотип | IgG1 |
| Клональность | моноклональное |
| Клон | R3S72 |
| Рекомбинантное | да |
| Готовое к использованию | нет |
| Концентрация | 1 мг/мл |
| Конъюгат | нет |
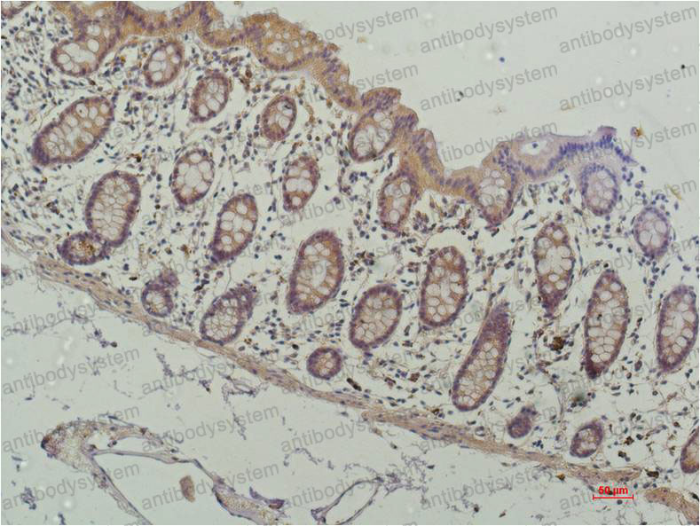
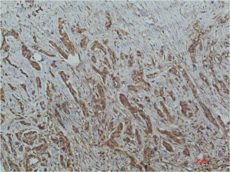
| Валидировано для | IHC Иммуногистохимия |
| Рекомендуемые разведения | IHC: 1:50-1:100 |
| Метод очистки | Очистка с белками A/G из супернатанта клеточной культуры |
| Чистота | >95% |
| Состав буфера | 0.01M PBS, pH 7.4, 0.5% БСА, 0.05% натрия азид,50% глицерин |
| Условия хранения | Хранить при 4°C не более 1-2 недель. Хранить при -20°C - 12 месяцев |
| Срок хранения | 12 месяцев |
| Производитель | AntibodySystem |
| Ссылка на страницу товара на сайте производителя | https://www.antibodysystem.com/product/36337.html |
|
Артикул
|
Наименование |
Производитель
|
|---|
|
Артикул
|
Наименование |
Производитель
|
|---|
|
Артикул
|
Наименование |
Производитель
|
|---|
|
Артикул
|
Наименование |
Производитель
|
|---|
|
Артикул
|
Наименование |
Производитель
|
|---|
Акции и предложения
Популярные продукты:
FITC-Mouse Anti-Human IgG(H+L) (E-AB-1171)
Изотип: IgG
Источник (хозяин): мышь
Реактивность подтвержденная: человек
Валидировано для: FCM
Источник (хозяин): мышь
Реактивность подтвержденная: человек
Валидировано для: FCM
Anti-Human CD261/TNFRSF10A/DR4 Antibody (Fs0356), APC (FHA05922)
Источник (хозяин): мышь
Реактивность подтвержденная: человек
Валидировано для: FCM
Реактивность подтвержденная: человек
Валидировано для: FCM
Clobetasol Propionate/CBP ELISA Kit (KSK61509)
Организм: для всех
Диапазон определения: 1.56 - 100 нг/мл
Чувствительность: 0.5 нг/мл
Диапазон определения: 1.56 - 100 нг/мл
Чувствительность: 0.5 нг/мл
Goat Parkinson Disease Protein 7 ELISA kit (E06P1009)
Организм: коза
Canine Total Bilirubin ELISA kit (E08T0143)
Организм: собака

