| UNIPROT | Q16665 |
Anti-HIF1A Antibody (R3U50) (RHH34303)
Реактивность подтвержденная:
человек, мышь, обезьяна
Источник (хозяин):
мышь
Валидировано для:
ELISA
IF
IHC
WB
Характеристики
Техническое описание
| Русское название | RHH34303 Моноклональное антитело к HIF1A (R3U50) <AntibodySystem,Китай> |
| Каталожный номер | RHH34303 |
| Название антигена | Hypoxia Inducible Factor 1 Alpha (HIF1a) |
| UNIPROT | Q16665 |
| Английские синонимы | HIF1-A, MOP1, PASD8, Basic Helix-Loop-Helix Transcription Factor, ARNT-interacting protein, Basic-helix-loop-helix-PAS protein MOP1, Class E basic helix-loop-helix protein 78, HIF-1A |
| Русские синонимы | Фактор транскрипции HIF |
Реактивность подтвержденная Нужна другая реактивность? |
человек, мышь, обезьяна |
| Источник (хозяин) | мышь |
| Изотип | IgG1 |
| Клональность | моноклональное |
| Клон | R3U50 |
| Рекомбинантное | да |
| Готовое к использованию | нет |
| Концентрация | 1 мг/мл |
| Конъюгат | нет |
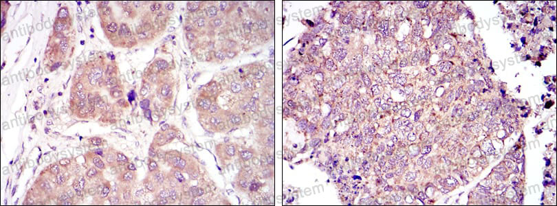
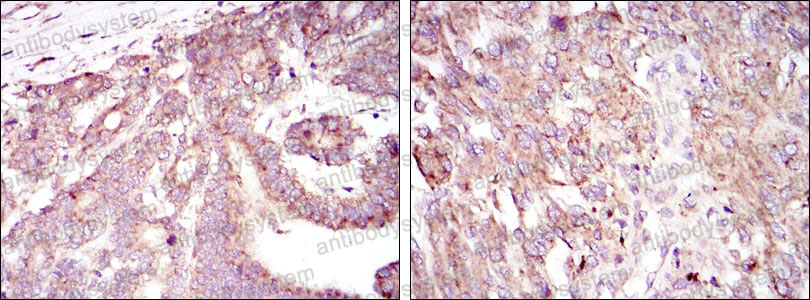
| Валидировано для | ELISA IF IHC WB Иммуноферментный анализ; Иммунофлуоресценция; Иммуногистохимия; Вестерн-блоттинг |
| Рекомендуемые разведения | ELISA: 1:10000, IF: 1:200-1:1000, IHC: 1:200-1:1000, WB: 1:500-1:2000 |
| Метод очистки | Очистка с белками A/G из супернатанта клеточной культуры |
| Чистота | >95% |
| Состав буфера | 0.01M PBS, pH 7.4, 0.05% натрия азид |
| Условия хранения | Хранить при 4°C не более 1-2 недель. Хранить при -20°C - 12 месяцев |
| Срок хранения | 12 месяцев |
| Производитель | AntibodySystem |
| Ссылка на страницу товара на сайте производителя | https://www.antibodysystem.com/product/36513.html |
|
Артикул
|
Наименование |
Производитель
|
|---|
|
Артикул
|
Наименование |
Производитель
|
|---|
|
Артикул
|
Наименование |
Производитель
|
|---|
|
Артикул
|
Наименование |
Производитель
|
|---|
|
Артикул
|
Наименование |
Производитель
|
|---|
|
Артикул
|
Наименование |
Производитель
|
|---|
|
Артикул
|
Наименование |
Производитель
|
|---|
|
Артикул
|
Наименование |
Производитель
|
|---|
|
Артикул
|
Наименование |
Производитель
|
|---|
|
Артикул
|
Наименование |
Производитель
|
|---|
Акции и предложения
Популярные продукты:
Chicken 1,4 Alpha glucan branching enzyme(GBE1) ELISA kit (E12A0951)
Организм: курица
Guinea Pig Methionine ELISA kit (E05M1107)
Организм: морская свинка

