| UNIPROT | O75146 |
Anti-HIP1R Antibody (R2V56) (RHB10401)
Реактивность подтвержденная:
человек
Источник (хозяин):
мышь
Валидировано для:
IHC
IP
WB
Характеристики
Техническое описание
| Русское название | RHB10401 Моноклональное антитело к HIP1R (R2V56) <AntibodySystem,Китай> |
| Каталожный номер | RHB10401 |
| Название антигена | Huntingtin Interacting Protein 12 (HIP12) |
| UNIPROT | O75146 |
| Английские синонимы | HIP1R, HIP3, ILWEQ, Huntingtin Interacting Protein 1 Related |
Реактивность подтвержденная Нужна другая реактивность? |
человек |
| Источник (хозяин) | мышь |
| Изотип | IgG1 |
| Клональность | моноклональное |
| Клон | R2V56 |
| Рекомбинантное | да |
| Готовое к использованию | нет |
| Концентрация | 1 мг/мл |
| Конъюгат | нет |
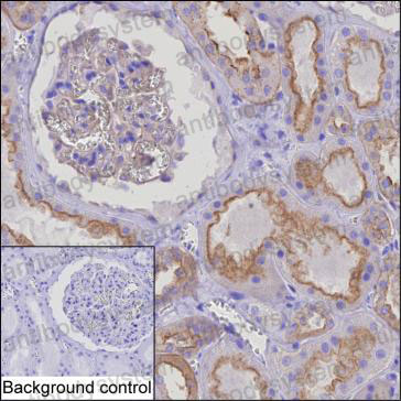
| Валидировано для | IHC IP WB Иммуногистохимия; Иммунопреципитация; Вестерн-блоттинг |
| Рекомендуемые разведения | IHC: 1:100-1:200, IP: 1:100-1:200, WB: 1:500-1:1000 |
| Метод очистки | Очистка с белками A/G из супернатанта клеточной культуры |
| Чистота | >95% |
| Состав буфера | 0.01M PBS, pH 7.4, 0.05% натрия азид |
| Условия доставки | термобокс с аккумуляторами холода |
| Условия хранения | Хранить при 4°C не более 1-2 недель. Хранить при -20°C - 12 месяцев |
| Срок хранения | 12 месяцев |
| Производитель | AntibodySystem |
| Ссылка на страницу товара на сайте производителя | https://www.antibodysystem.com/product/34243.html |
|
Артикул
|
Наименование |
Производитель
|
|---|
|
Артикул
|
Наименование |
Производитель
|
|---|
Акции и предложения
Популярные продукты:
Guinea Pig adrenomedullin 2 (ADM2) ELISA kit (E05A1275)
Организм: морская свинка
Canine Serine peptidase inhibitors K1 ELISA kit (E08S0027)
Организм: собака
Monkey Glutaredoxin 1(GLRX) ELISA kit (E09G0428)
Организм: обезьяна

