| UNIPROT | P04908 |
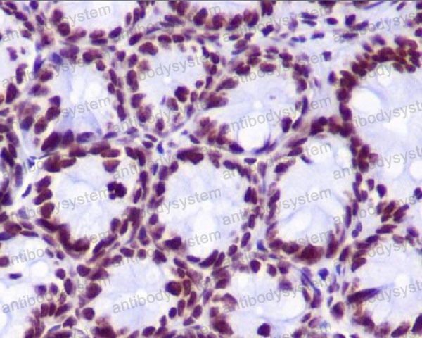
Anti-Histone H2A (hydroxyl Y39) Antibody (R1C02) (RHC11303)
Реактивность подтвержденная:
человек, мышь, крыса
Источник (хозяин):
кролик
Валидировано для:
IHC
WB
Характеристики
Техническое описание
| Русское название | RHC11303 Моноклональное антитело к гистону H2A (гидроксил-Y39) (R1C02) <AntibodySystem,Китай> |
| Каталожный номер | RHC11303 |
| Название антигена | Histone Cluster 1, H2ab (HIST1H2AB) |
| UNIPROT | P04908 |
| Английские синонимы | HIST1H2AE, H2AFM, H2A/m, H2A Histone Family Member M |
Реактивность подтвержденная Нужна другая реактивность? |
человек, мышь, крыса |
| Источник (хозяин) | кролик |
| Изотип | IgG |
| Клональность | моноклональное |
| Клон | R1C02 |
| Рекомбинантное | да |
| Готовое к использованию | нет |
| Концентрация | 1 мг/мл |
| Конъюгат | нет |
| Валидировано для | IHC WB Иммуногистохимия; Вестерн-блоттинг |
| Рекомендуемые разведения | IHC: 1:100-1:200, WB: 1:1000-1:2000 |
| Метод очистки | Очистка с белками A/G из супернатанта клеточной культуры |
| Чистота | >95% |
| Состав буфера | 0.01M PBS, pH 7.4, 0.05% БСА, 50% глицерин, 0.05% азид натрия |
| Условия доставки | термобокс с аккумуляторами холода |
| Условия хранения | Хранить при -20 С -12 месяцев |
| Срок хранения | 12 месяцев |
| Производитель | AntibodySystem |
| Ссылка на страницу товара на сайте производителя | https://www.antibodysystem.com/product/29806.html |
|
Артикул
|
Наименование |
Производитель
|
|---|
|
Артикул
|
Наименование |
Производитель
|
|---|
|
Артикул
|
Наименование |
Производитель
|
|---|
|
Артикул
|
Наименование |
Производитель
|
|---|
Акции и предложения
Популярные продукты:
Anti-TALK1 K+ channel Antibody (N466/53) (RHN16101)
Источник (хозяин): мышь
Реактивность подтвержденная: для всех
Валидировано для: IHC, WB
Реактивность подтвержденная: для всех
Валидировано для: IHC, WB
Anti-Gamma-protocadherin-C5 Antibody (N189A/19) (RHN23901)
Источник (хозяин): мышь
Реактивность подтвержденная: для всех
Валидировано для: IHC, WB
Реактивность подтвержденная: для всех
Валидировано для: IHC, WB
Anti-Histone H2A (hydroxyl Y39) Antibody (R1C02) (RHC11303)
Источник (хозяин): кролик
Реактивность подтвержденная: человек, мышь, крыса
Валидировано для: IHC, WB
Реактивность подтвержденная: человек, мышь, крыса
Валидировано для: IHC, WB
Recombinant Glycine Dehydrogenase (GLDC) (RPG475Ra01)
Источник (хозяин): E.coli
Организм: крыса
Теги: N-концевой His-Tag
Биоактивность: нет
Организм: крыса
Теги: N-концевой His-Tag
Биоактивность: нет
Multiplex Assay Kit for Interleukin 13 Receptor Alpha 2 (IL13Ra2) (LMB643Hu)
Организм: человек
Диапазон определения: 0.01-10 нг/мл
Чувствительность: 0.003 нг/мл
Диапазон определения: 0.01-10 нг/мл
Чувствительность: 0.003 нг/мл

