| UNIPROT | P33778 |
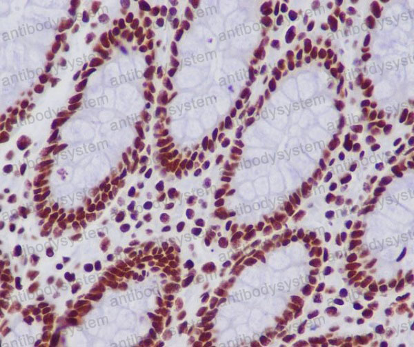
Anti-Histone H2B (acetyl K20) Antibody (R1U69) (RHE03702)
Реактивность подтвержденная:
человек, мышь, крыса
Источник (хозяин):
кролик
Валидировано для:
CHIP
FCM
IF
IHC
WB
Характеристики
Техническое описание
| Русское название | RHE03702 Моноклональное антитело к гистону H2B (ацетил-K20) (R1U69) <AntibodySystem,Китай> |
| Каталожный номер | RHE03702 |
| Название антигена | Histone Cluster 1, H2bb (HIST1H2BB) |
| UNIPROT | P33778 |
| Английские синонимы | H2BFF, H2B/f, H2B Histone Family Member F |
Реактивность подтвержденная Нужна другая реактивность? |
человек, мышь, крыса |
| Источник (хозяин) | кролик |
| Изотип | IgG |
| Клональность | моноклональное |
| Клон | R1U69 |
| Рекомбинантное | да |
| Готовое к использованию | нет |
| Концентрация | 1 мг/мл |
| Конъюгат | нет |
| Валидировано для | CHIP FCM IF IHC WB Иммунопреципитация хроматина; Проточная цитометрия; Иммунофлуоресценция; Иммуногистохимия; Вестерн-блоттинг |
| Рекомендуемые разведения | FCM: 1:20-1:100, IF: 1:50-1:200, IHC: 1:100-1:200, ChIP: 1:20-1:50, WB: 1:1000-1:5000 |
| Метод очистки | Очистка с белками A/G из супернатанта клеточной культуры |
| Чистота | >95% |
| Состав буфера | 0.01M PBS, pH 7.4, 0.05% БСА, 50% глицерин, 0.05% азид натрия |
| Условия доставки | термобокс с аккумуляторами холода |
| Условия хранения | Хранить при -20 С -12 месяцев |
| Срок хранения | 12 месяцев |
| Производитель | AntibodySystem |
| Ссылка на страницу товара на сайте производителя | https://www.antibodysystem.com/product/31504.html |
|
Артикул
|
Наименование |
Производитель
|
|---|
|
Артикул
|
Наименование |
Производитель
|
|---|
Акции и предложения
Популярные продукты:
Anti-MARV GP/Envelope glycoprotein Antibody (SAb2270) (RVV24304)
Источник (хозяин): человек
Реактивность подтвержденная: вирусы
Валидировано для: ELISA
Реактивность подтвержденная: вирусы
Валидировано для: ELISA
Chicken Claudin 3(CLDN3) ELISA kit (E12C0987)
Организм: курица
Диапазон определения: 1-25 нг/мл
Чувствительность: 0.1 нг/мл
Диапазон определения: 1-25 нг/мл
Чувствительность: 0.1 нг/мл
Monkey Claudin 3(CLDN3) ELISA kit (E09C0987)
Организм: обезьяна
Chicken Ribonuclease Inhibitor ELISA kit (E12R0052)
Организм: курица

