| UNIPROT | P52789 |
Anti-HK2 Antibody (R3M94) (RHE94902)
Реактивность подтвержденная:
человек, мышь, крыса, кролик
Источник (хозяин):
мышь
Валидировано для:
FCM
IHC
WB
Характеристики
Техническое описание
| Русское название | RHE94902 Моноклональное антитело к HK2 (R3M94) <AntibodySystem,Китай> |
| Каталожный номер | RHE94902 |
| Название антигена | Hexokinase 2 (HK2) |
| UNIPROT | P52789 |
| Английские синонимы | HK II, Muscle form hexokinase |
Реактивность подтвержденная Нужна другая реактивность? |
человек, мышь, крыса, кролик |
| Источник (хозяин) | мышь |
| Изотип | IgG1 |
| Клональность | моноклональное |
| Клон | R3M94 |
| Рекомбинантное | да |
| Готовое к использованию | нет |
| Концентрация | 1 мг/мл |
| Конъюгат | нет |
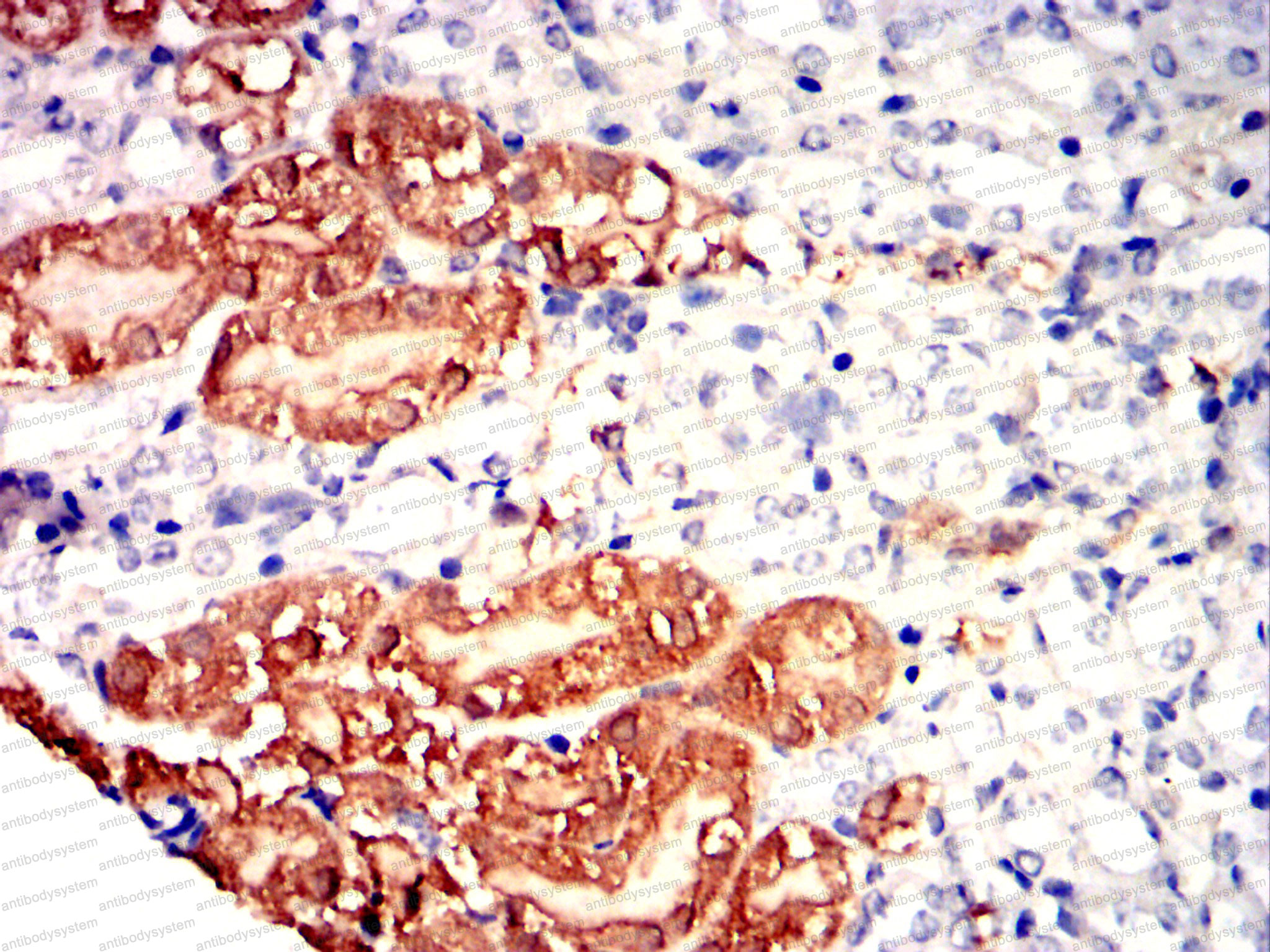
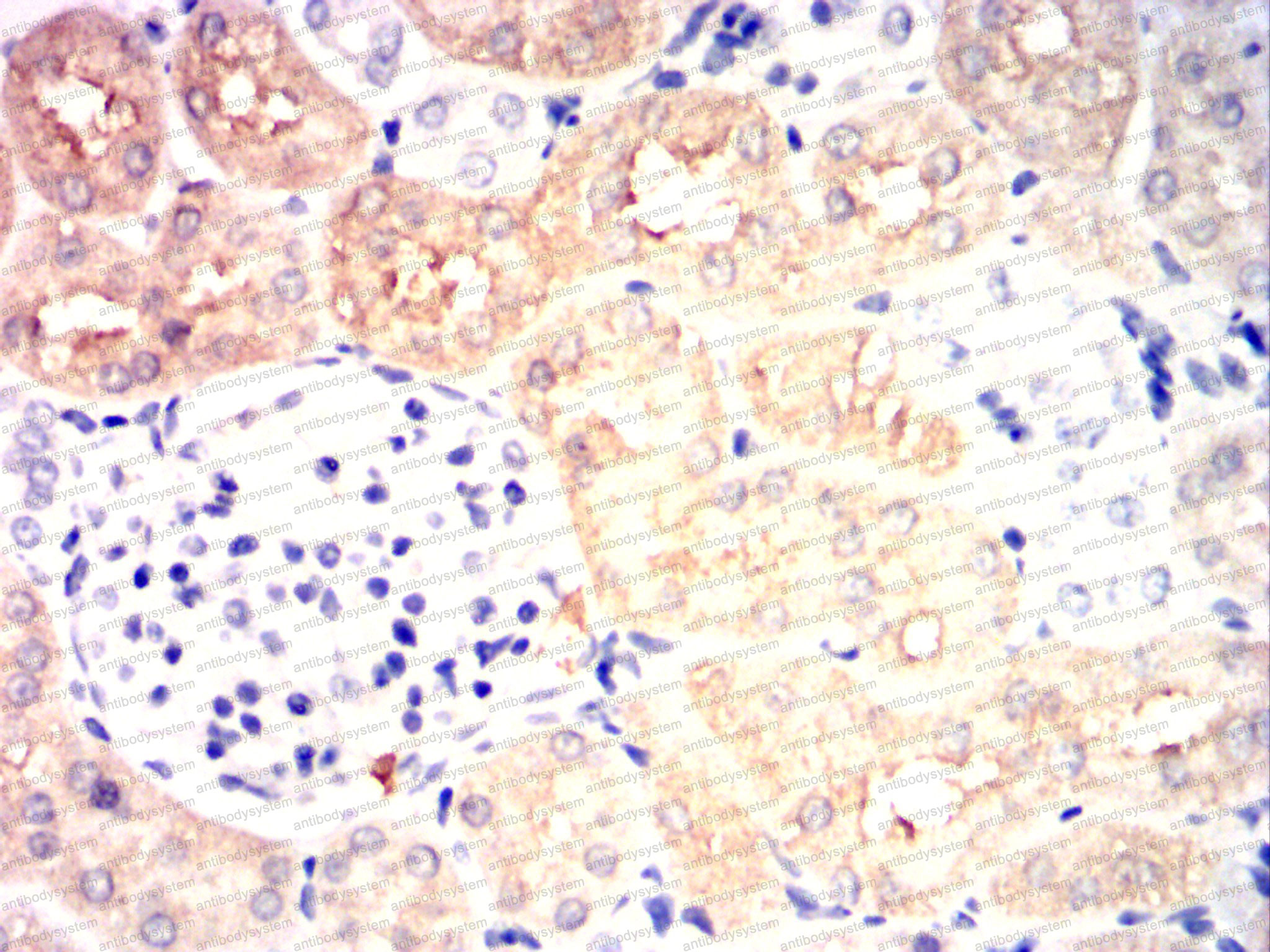
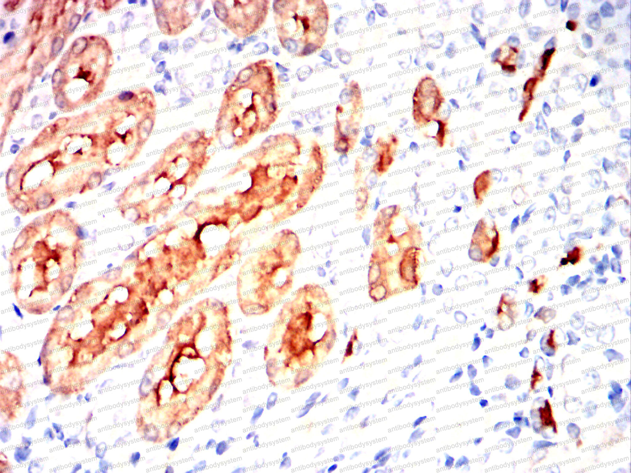
| Валидировано для | FCM IHC WB Проточная цитометрия; Иммуногистохимия; Вестерн-блоттинг |
| Рекомендуемые разведения | FCM: 1:200-1:400, IHC: 1:100-1:500, WB: 1:500-1:2000 |
| Метод очистки | Очистка с белками A/G из супернатанта клеточной культуры |
| Чистота | >95% |
| Состав буфера | 0.01M PBS, pH 7.4, 0.05% натрия азид |
| Условия хранения | Хранить при 4°C не более 1-2 недель. Хранить при -20°C - 12 месяцев |
| Срок хранения | 12 месяцев |
| Производитель | AntibodySystem |
| Ссылка на страницу товара на сайте производителя | https://www.antibodysystem.com/product/35865.html |
|
Артикул
|
Наименование |
Производитель
|
|---|
|
Артикул
|
Наименование |
Производитель
|
|---|
|
Артикул
|
Наименование |
Производитель
|
|---|
|
Артикул
|
Наименование |
Производитель
|
|---|
Акции и предложения
Популярные продукты:
Anti-Human IL31RA Antibody (Fs0322) (FHJ26620)
Источник (хозяин): мышь
Реактивность подтвержденная: человек
Валидировано для: ELISA, FCM, NEUT
Реактивность подтвержденная: человек
Валидировано для: ELISA, FCM, NEUT
Anti-Laminin Gamma 2 (LAMC2) Polyclonal Antibody (FAC083Hu01)
Источник (хозяин): кролик
Реактивность подтвержденная: человек
Валидировано для: FCM
Реактивность подтвержденная: человек
Валидировано для: FCM
Polyclonal Antibody to Ghrelin/Obestatin Preprohormone (GHRL) (PAD252Hu02)
Источник (хозяин): кролик
Реактивность подтвержденная: человек
Валидировано для: IHC
Реактивность подтвержденная: человек
Валидировано для: IHC
Bovine Myocardin ELISA kit (E11M0532)
Организм: корова
Guinea Pig Rho GDP Dissociation Inhibitor Alpha ELISA kit (E05R0341)
Организм: морская свинка

