| UNIPROT | P04439 |
Anti-HLA-A Antibody (R1A87) (RHM00101)
Реактивность подтвержденная:
человек
Источник (хозяин):
кролик
Валидировано для:
FCM
IF
IHC
IP
WB
Характеристики
Техническое описание
| Русское название | RHM00101 Моноклональное антитело к HLA-A (R1A87) <AntibodySystem,Китай> |
| Каталожный номер | RHM00101 |
| Название антигена | Major Histocompatibility Complex Class I A (MHCA) |
| UNIPROT | P04439 |
| Английские синонимы | HLA-A, HLAA, MHC-A, Leukocyte Antigen A, HLA class I histocompatibility antigen, A-31 alpha chain |
Реактивность подтвержденная Нужна другая реактивность? |
человек |
| Источник (хозяин) | кролик |
| Изотип | IgG |
| Клональность | моноклональное |
| Клон | R1A87 |
| Рекомбинантное | да |
| Готовое к использованию | нет |
| Концентрация | 1 мг/мл |
| Конъюгат | нет |
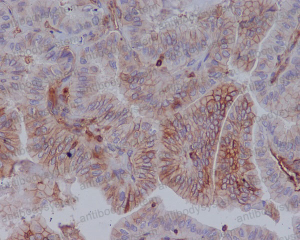
| Валидировано для | FCM IF IHC IP WB Проточная цитометрия; Иммунофлуоресценция; Иммуногистохимия; Иммунопреципитация; Вестерн-блоттинг |
| Рекомендуемые разведения | FCM: 1:20-1:100, IF: 1:50-1:200, IHC: 1:100-1:200, IP: 1:20-1:50, WB: 1:1000-1:2000 |
| Метод очистки | Очистка с белками A/G из супернатанта клеточной культуры |
| Чистота | >95% |
| Состав буфера | 0.01M PBS, pH 7.4, 0.05% БСА, 50% глицерин, 0.05% азид натрия |
| Условия доставки | термобокс с аккумуляторами холода |
| Условия хранения | Хранить при -20 С -12 месяцев |
| Срок хранения | 12 месяцев |
| Производитель | AntibodySystem |
| Ссылка на страницу товара на сайте производителя | https://www.antibodysystem.com/product/29693.html |
|
Артикул
|
Наименование |
Производитель
|
|---|
|
Артикул
|
Наименование |
Производитель
|
|---|
|
Артикул
|
Наименование |
Производитель
|
|---|
Акции и предложения
Популярные продукты:
ELISA Kit DIY Materials for Interleukin 13 (IL13) (KSA060Po01)
Организм: свинья
Диапазон определения: 15.6-1000 пг/мл
Чувствительность: 6.3 пг/мл
Диапазон определения: 15.6-1000 пг/мл
Чувствительность: 6.3 пг/мл
Goat Succinic Acid ELISA Kit (E06S0475)
Организм: коза
Guinea Pig Proteoglycan 4 ELISA kit (E05P0163)
Организм: морская свинка
Mouse Cathepsin O(CTSO) ELISA kit (E03C2169)
Организм: мышь
Sheep Apelin receptor(APLNR) ELISA kit (E14A1593)
Организм: овца

